
[长城会2017]徐磊教授:胸痛三联扫描(TRO),哪些胸痛患者需要?
胸痛
三联扫描目前已经是一种成熟的血管成像诊断技术。什么是胸痛三联扫描?哪些患者需要做这种检查?在2017长城会的“胸痛中心长城论坛”,首都医科大学附属北京安贞医院徐磊教授做了精彩的报告。
1.什么是胸痛三联扫描?
引起急性胸痛的疾病包括急性冠脉综合征
(ACS
)和非冠脉原因的急性胸痛,例如肺动脉疾病(肺栓塞
、肺炎
)、急性主动脉综合征(主动脉夹层
)、非冠脉疾病(心肌病
、心肌炎
、心包炎)和胃肠道疾病等。有些胸痛的临床症状和实验室检查结果常常不典型,非典型性急性胸痛中只有15%-25%是ACS,这时就需要鉴别诊断。
胸痛三联扫描(TRO)即一次CT扫描同时获得冠状动脉、肺动脉和主动脉的相关信息;64排128层螺旋CT即可完成TRO,一次注药、一次扫描就能清晰显示肺动脉主干段及亚段以上分支、左右冠状动脉主干及主要分支、胸主动脉以及胸部组织结构,同时将扫描所得图像经过强大的工作站后处理进行不同的图像重建和数据分析,可以得到多种三维重建图像,提供多项诊断信息。TRO可迅速准确地鉴别ACS、肺栓塞、主动脉夹层等急性胸痛的诊断,同时还可以帮助鉴别其他原因的胸痛。

图1 TRO对比剂注射时机示意图
2.哪些胸痛患者需要做TRO?
TRO适用于疑似冠脉、主动脉及肺动脉疾病且ACS验前概率低、中水平的不明原因胸痛。
TRO的优点包括:无创、快捷、方便、经济;避免重复检查,降低辐射量和对比剂用量。TRO的敏感性、特异性和阴性预测值(接近99%)非常高,可以准确地排除ACS,使患者安全出院。
TRO的禁忌证包括:既往有严重的对比剂过敏反应史;不能配合扫描和屏气的患者;临床生命体征不稳定,如意识不清、血压
不稳、呼吸急促等;严重的肾功能不全;孕期妇女。
3.TRO检查示例
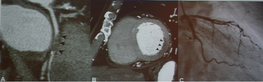
急性冠脉综合征:TRO可清晰地显示斑块、狭窄、闭塞和心肌缺血等病变。


图2-3 急性冠脉综合征
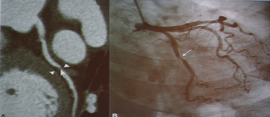
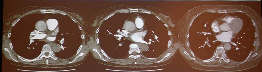
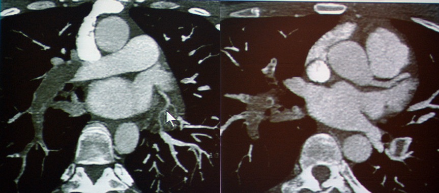
肺栓塞:CT可以准确地诊断肺栓塞。




图4-7 肺栓塞
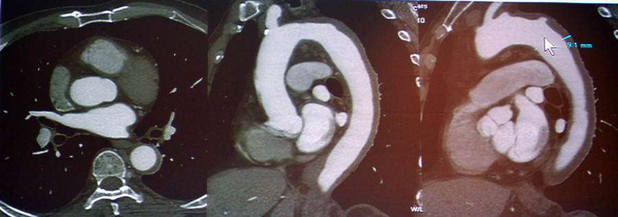
急性主动脉综合征:包括主动脉夹层、壁间血肿、穿透性溃疡。TRO可发现主动脉夹层的真假腔和内膜片。

图8 主动脉夹层Stanford A

图9 主动脉夹层Stanford B


图10-11 壁间血肿

图12 穿透性溃疡
专题报道更新中>>>第二十八届长城国际心脏病学会议(2017)