CT诊断外伤性胰腺部分断裂合并假性囊肿1例

来源:中国中西医结合影像学杂志 2016.12.12
我要投稿

作者:曹丽君,张秀江,中国中医科学院望京医院放射科

 

女,41岁,外伤后10d,持续腹痛不缓解收入院。查体:腹平软,剑突下及右上腹压痛明显,无反跳痛,剑突下可触及一肿物包块,质韧压痛明显,肝脏肋下未及,脾区叩痛(-),肝区叩痛(+),双肾区叩痛(-),肠鸣音正常。

 

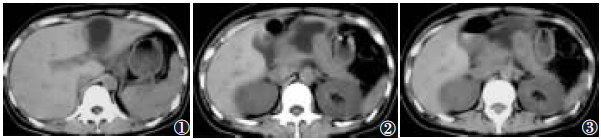
实验室检查:WBC16.81×109/L,RBC4.46×109/L,HGB134g/L。CT检查:胰腺肿大,边界模糊;胰腺体部前缘断裂,呈楔状裂隙,后部尚连接,远断端指向右前方(图1,2);其前方可见包裹状肿块,内含中等量液体,并向上延伸至肝裂(图3);CT诊断为胰腺部分断裂合并胰腺假性囊肿形成。

 


图1肝裂内可见圆形低密度影;图2胰腺体部前缘断裂,可见楔状裂隙,后部尚连接,远断端指向右前方;图3可见胰腺增粗,边界模糊,胰腺前方可见包裹性肿块,内含中等量液体,并向上延伸至肝裂

 

Rivalta实验(-);白细胞计数120×106/L,分类单核72%,多核28%;K+:3.68mmol/L,Na+:135mmol/L,Cl-:104mmol/L;淀粉酶(d-AMY):22373.40mmol/L(↑)。患者经初步保守治疗后于我院行超声引导下经皮穿刺引流,抽吸液外观淡黄色、透明,经病理证实为胰腺假性囊肿。术后患者一般情况良好,随访至今未出现并发症。

 

讨论:

 

胰腺位于腹膜后,背靠脊柱,前有腹壁、胃和横结肠。由于这些脏器和腹膜的保护作用,胰腺不易受到损伤,仅占腹部外伤1%~2%;胰腺处理不及时或不恰当,预后很差,尤其是合并其他脏器损伤,病死率高,其中合并十二指肠破裂者病死率更高。因此,及时准确诊断尤为重要。CT有较高的分辨力,扫描速度快,并能进行图像后处理,MPR可以从任意平面、任意角度显示病变,能清楚显示胰腺轮廓是否完整,周围有无积血、积液,初步评估胰腺损伤的程度,有无合并其他脏器损伤,为胰腺损伤分级及临床术式的选择提供科学依据,是目前诊断胰腺损伤最为安全有效的方法。

 

典型的胰腺损伤CT表现为胰腺肿大,边缘模糊,密度不均匀,胰腺实质内可见低密度影,如伴有出血,可见斑片状高密度影,肾前间隙、网膜囊可有液性渗出,如有胰腺断裂,可见胰腺不连续;CT增强扫描显示更加清晰,可显示胰腺断裂口,动态观察还可见对比剂溢出;在随访时,还能显示胰腺损伤的恢复情况,有无胰腺实质改变,胰周渗液、出血的吸收情况,有无胰腺囊肿、脓肿等并发症,为临床治疗提供帮助。

 

CT不足之处:胰腺损伤的CT表现取决于损伤程度和检查时间,一般在伤后24h才出现肯定的CT阳性表现,如果损伤程度较轻,损伤后立即检查,CT检查可能为正常。由于组织分辨力的影响,CT不能直接显示胰管的损伤,只能通过一些间接征象来推断,对损伤分级产生不利影响。

 

综上所述,CT是胰腺外伤不可或缺的检查手段,在CT检查正常、而临床怀疑胰腺损伤时,应行CT复查或其他检查,以免漏诊。

 

来源:中国中西医结合影像学杂志2015年4月第13卷第2期