
输尿管透明细胞腺癌伴尿路上皮癌一例报告
作者:张熔熔
患者,男,75岁。2016年1月22日无明显诱因出现无痛性全程肉眼血尿
1周就诊。患者尿液呈淡红色,未见明显凝血块,无腰背部胀痛不适,无恶心呕吐,无发热
。B超检查示左肾轻度积水,左侧输尿管上段扩张。尿常规
:红细胞412个/μl,白细胞29个/μl。查体未及明显阳性体征。
术中先行膀胱检查,F18膀胱镜直视下进镜,见尿道黏膜光滑,前列腺Ⅱ°增生,膀胱黏膜光整,未见明显新生物,双侧输尿管开口清晰,喷尿清。更换为F8.0/9.8输尿管镜,在导丝引导下顺利进入左侧输尿管,见输尿管管腔偏细,进镜约7 cm见输尿管黏膜有一隆起性新生物,1.0 cm×1.0 cm×0.8 cm大小,圆形,表面光滑,广基。取部分组织活检,病理诊断为尿路上皮癌。6 d后全麻下行后腹腔镜
下右肾输尿管全长切除+膀胱袖状切除术,手术顺利。
术后病理检查
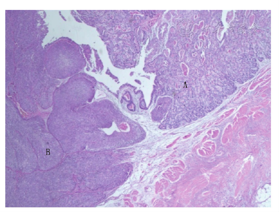
:肾脏大小10.0 cm×7.0 cm×4.5 cm,表面见多个小囊肿,内含澄清液,肾盂黏膜光滑,输尿管下端见一1.0 cm×1.0 cm×0.8 cm肿块,表面呈乳头状,切面灰白色,向腔内生长,广基。镜下观察见肿瘤分腺癌和尿路上皮癌两个不同的区域(图1),腺癌区域见大小不等的小管,部分为乳头状,肿瘤细胞形态为扁平、立方状、柱状,胞质透亮,可见鞋钉样细胞,细胞中度异形,核分裂象易见。
免疫组化染色检查:CEA、CK20、P53(+),CK7、PSA(-)。尿路上皮癌区域尿路上皮层次增多、细胞异形、核分裂象易见,呈乳头状生长,乳头中央为纤维、血管轴心,周围尿路上皮异形增生,部分内陷。免疫组化染色检查:CK7(+),CEA、CK20、P53、PSA(-)。
病理诊断:左侧输尿管下端透明细胞腺癌伴浸润性尿路上皮癌。术后随访5个月,无肿瘤复发和转移。
肿瘤分腺癌(A)和尿路上皮癌(B)两个不同区域
图1输尿管透明细胞腺癌伴尿路上皮癌病理图片(HE ×40)
讨论
透明细胞腺癌罕见,国内有3例报道,2例发生于膀胱,1例发生于尿道,发生于输尿管的国内未见报道。本病好发于女性,发病年龄22~83岁,平均57岁。有学者认为多数透明细胞腺癌可能起源于尿路上皮肿瘤伴特殊腺性分化,多数肿瘤与子宫内膜异位无关。尿路透明细胞腺癌无特异性临床表现,确诊依靠病理检查。镜下观察,透明细胞腺癌通常呈乳头状结构,也可呈腺管状、乳头状、囊状和实性生长的混合结构。本病有两个特征可以与其他肿瘤鉴别:①有典型的鞋钉样细胞;②癌细胞胞质内有丰富的糖原。本病需与中肾样化生或肾源性腺瘤、透明细胞尿路上皮癌、转移性肾透明细胞腺癌、子宫颈透明细胞腺癌和前列腺腺癌累及膀胱等相鉴别。透明细胞腺癌侵袭性不强,多呈外生性生长,可以早期诊断治疗,预后较好,但分期高的肿瘤预后差。
来源:中华泌尿外科杂志,2017,38( 1 ): 68-68.