
肾神经鞘瘤一例报告
作者:王华 王伯胤 宋坤
患者,女,62岁,因体检发现右肾占位于2016年5月22日入院。患者3d前于当地医院行B超检查示右肾上极约9 cm实质性占位,考虑恶性肿瘤。患者无发热
,无尿频、尿急、尿痛等症状。既往体健,无高血压及腰背部疼痛等病史。查体:双肾区无叩痛,双侧输尿管走行区无压痛。实验室检查:血、尿常规
未见异常,血清肿瘤标志物正常。CT平扫
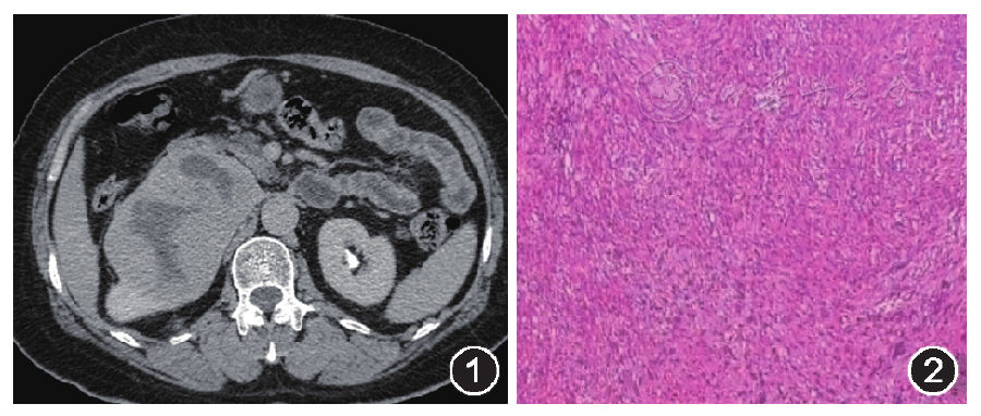
示右肾上极卵圆形囊实性肿块,未见钙化,病灶边界清晰,边缘规整,最大横断面大小约100 mm×75 mm,肿块实性部分CT值约37HU;增强扫描(动脉期)示病灶实性部分轻度强化,延迟扫描病灶实性部分进一步持续强化(图1),三期扫描均低于肾实质强化程度,囊性部分未见强化。右侧肾盂受压,肾盏轻度扩张,右侧肾筋膜未见明显异常,肾血管显影良好,腹主动脉周围及后腹膜未见肿大淋巴结影。CT诊断:右肾占位,恶性可能性大。
图1肾神经鞘瘤CT增强扫描图
图2肿瘤组织低倍镜下病理(HE染色,×40)示瘤细胞呈梭形,局部细胞丰富
入院后行根治性右肾切除术,术中见右肾中上极100 mm×80 mm肿瘤,质韧,包膜完整,切面呈黄色,肾周脂肪未见明显受侵。病理检查
:肿瘤境界清楚,由纤维包膜包绕,镜下见肿瘤细胞呈梭形,呈束分布,少数区域有栅栏状结构(图2),低倍镜下由典型的antoni A区和antoni B区构成。免疫组化染色检测:CD34(-),CD99(+),CKpan(-),DM(-),HMB-45 (-),Ki-67 (+5%),P53(+),NSE(+),S-100(+),SMA(-),Vimentin(+),EMA(-)。病理诊断:肾神经鞘瘤。
讨论
神经鞘瘤是发生于神经鞘膜的一种神经源性肿瘤,主要来源于神经外胚叶的施万细胞,又称施万细胞瘤。神经鞘瘤多发生于神经节和神经干周围,可发生于全身各处的神经组织,多见于头、颈、后纵隔及四肢等部位,发生于肾脏者罕见。肾神经鞘瘤多无特殊临床表现,多于体检时发现。
本病影像学报道少见,本例肿瘤表现为卵圆形囊实性肿块,边界清晰,三期扫描中肿瘤实性部分呈持续性强化,与文献报道的影像学表现类似。本病影像学表现并无特异性,其表现与腹膜后神经鞘瘤相似。本病在鉴别诊断中需与少血供的肾乳头状细胞癌、嫌色细胞癌及乏脂性血管平滑肌脂肪瘤等相鉴别。确诊主要依靠病理检查。
肾神经鞘瘤的治疗以手术治疗为主,良性病例的预后较好,不易复发和转移,本例术后未予辅助治疗,术后3个月复查良好。由于有恶性肾神经鞘瘤的文献报道,故恶性者应扩大手术范围,行包括肿瘤在内的广泛根治性切除术,术后辅以局部放疗,预后可获改善。
来源:中华泌尿外科杂志,2017,38( 2 ): 126-126.