
原发性肾鳞状细胞癌一例报告
作者:李清 徐凯
患者,女,66岁。因右腰痛6个月于2016年8月15日入院。患者6个月前无明显诱因出现右腰部隐痛,持续1~2 min,向下腹部放射,伴全程血尿
及尿痛。10 d前于当地医院检查示尿隐血(++),尿白细胞(+),血红蛋白
95 g/L,血肌酐50 μmol/L, CT检查
示右肾上极占位。
入院查体:右侧可触及肿大肾脏,双侧输尿管点无压痛,双肾叩击痛(-)。CT平扫
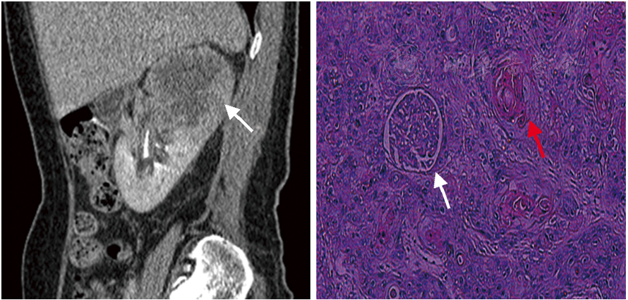
示右肾体积增大,右肾上极示不规则团块状稍低密度影,大小约7 cm×6 cm×5 cm,病灶边界不清,右肾周围脂肪间隙尚清;增强扫描病灶呈边缘轻度延迟强化,强化程度较正常肾实质低,中央部分未见明显强化;肾门区、腹膜后、下腔静脉前方示增大淋巴结影(图1)。
全麻下行右肾切除术,术中见右肾体积增大,与肾周组织无明显粘连。大体标本:见完整肾脏,大小约12 cm×8 cm×6 cm,右肾上极见一肿物,大小约7 cm×6 cm×5 cm,切面灰白,质硬,界不清,累及肾被膜,肾门处见灰白色结节数枚,直径0.6~1.0 cm。病理诊断:右肾鳞状细胞癌(高-中分化),伴大片坏死,侵犯肾被膜及肾髓质,未累及肾周脂肪,输尿管及脉管断端均未见累及,肾门淋巴结3/7枚见转移(图2)。术后3个月行PET-CT检查提示两肺、腹腔及腹膜后多发转移表现。

图1.患者CT检查右肾矢状位重建图像,右肾上极肿块影,呈不均匀强化(白色箭头所示)
图2.肾鳞状细胞癌病理图,镜下示肾小球(白色箭头所示)周围大量肿瘤细胞浸润,并见角化株(红色箭头所示)(HE ×100)
讨论
肾鳞状细胞癌在原发性肾脏肿瘤中十分罕见,占肾脏恶性肿瘤的0.5%~0.8%。多数报道认为长期的肾盂结石和/或慢性肾盂肾炎是导致肾鳞状细胞癌的主要原因。也有研究报道了其他潜在原因,包括化学药物(如砒霜)、维生素A
缺乏、镇痛药的滥用、放疗、移植肾脏的慢性排斥反应等。慢性刺激可使肾盂发生鳞状上皮化生,增加肾鳞状细胞癌的患病风险。
由于缺乏早期特征性表现,肾鳞状细胞癌容易延误诊断。传统的超声成像缺乏特征性的回声表现,超声对比增强检查可提高诊断的准确性。CT检查是对肿瘤进行诊断及分级的主要检查方法,但是肾鳞状细胞癌的CT表现不一,有的表现为肾脏不规则的实性肿块、肾盂积水、钙化或肾盂浸润性病变等。病理是诊断肾鳞状细胞的金标准。由于肾鳞状细胞癌容易发生早期转移,因此预后较差,5年生存率<10%;Holmang等报道诊断肾鳞状细胞癌后的平均生存时间约7个月。因此,对于肾鳞状细胞癌,手术切除后还应行辅助化疗。
大多数报道的肾鳞状细胞癌均伴长期肾结石病史,本例未见明显结石征象,且影像学表现不典型,较难与其他病理类型的肾癌鉴别,确诊需要依靠病理检查
。
来源:中华泌尿外科杂志,2017,38( 4 ): 311-311.