
输尿管上段平滑肌肉瘤一例报告
患者,女,75岁。2015年8月8日因反复左侧腰部酸胀4个月入院。患者于4个月前无明显诱因出现左侧腰部酸胀、阵发性隐痛,无畏寒、发热
,无肉眼血尿
,无排尿困难,无尿频、尿急、尿痛。门诊B超检查未见明显异常。
查体:双肾区无叩痛,双侧输尿管走行区及膀胱区无压痛、未及明显包块,膀胱不充盈。增强CT检查
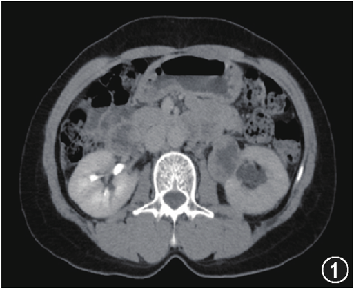
:左侧输尿管上段见一类圆形等低混杂密度肿块,大小约3.6 cm×2.8 cm,边界较清,增强扫描示病灶实性成分不均匀强化(图1),左肾动脉、静脉被包绕,边界不清,左侧输尿管上段及左肾盂扩张积水,左肾强化减弱;肾周脂肪间隙密度未见增高;盆腔内未见肿大淋巴结,少量盆腔积液;印象为左输尿管上段肿块,首先考虑恶性肿瘤伴左肾积水,累及左肾动脉、静脉,少量盆腔积液。术前诊断为左输尿管肿物(恶性肿瘤)。

图1.增强CT检查示左输尿管上段一类圆形等低混杂密度肿块,大小约3.6 cm×2.8 cm,边界较清,病灶实性成分不均匀强化
全麻下行根治性左肾切除术。取左侧第11肋间切口,打开肾周筋膜,分离肾周,见肾周组织水肿
明显,肾包膜血管曲张。在左肾下极分离输尿管,管周有渗出水肿,向上分离至肾盂处可见肿瘤,取小块组织送冷冻病理检查
提示为左输尿管梭形细胞肿瘤,倾向恶性肿瘤。分离肾蒂,分别结扎离断肾动、静脉。分离输尿管至低位,结扎离断。
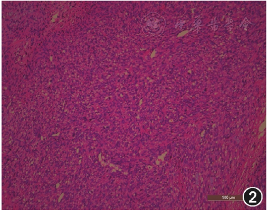
术后病理检查:肿瘤4 cm×3 cm×3 cm大小,累及输尿管壁,并可见脉管瘤栓;镜下观察见肿瘤细胞呈梭形、交错条索状排列,部分呈栅栏状、车辐状排列(图2)。诊断为左输尿管上段平滑肌肉瘤。肿瘤切缘处2枚淋巴结未见转移;左输尿管及左肾血管切缘均阴性。免疫组化染色检查:SMA、Actin、Desmin(+),S-100、Melan-A、EMA、CK、CD117、HMB45(-),Ki-67>50%(+)。术后随访6个月,无复发及远处转移。

图2.病理检查镜下观察见肿瘤细胞呈梭形、交错条索状排列,部分呈栅栏状、车辐状排列(HE ×100)
讨论
平滑肌肉瘤是一种呈完全平滑肌分化的少见间叶性恶性肿瘤。多见于中老年人,女性多于男性,常见部位多位于富含平滑肌组织的器官,如盆腔、消化道和子宫,少数见于四肢软组织,发生于输尿管十分罕见,国内仅见个案报道。输尿管平滑肌肉瘤临床症状无特异性,最常见的症状是无痛性血尿,查体可有腰部压痛,肿瘤巨大时可触及。影像学检查有助于诊断,但确诊依靠病理检查,必要时需结合免疫组化染色检查方可确诊。病理检查大体标本肿瘤呈结节状,界限尚清,切面灰白色或鱼肉状,可见出血坏死、囊性变。镜下观察见肿瘤细胞呈梭形,细胞边界清楚,呈交错条索状排列,部分呈栅栏状、车辐状或血管外皮瘤样排列,少数病例肿瘤细胞呈上皮样,偶见肿瘤细胞分化差,核大深染,多核多形性并存,表现为去分化平滑肌肉瘤。免疫组化染色检查SMA、Desmin、h-Caldesmon、Vimentin均呈强阳性表达,EMA、S100、CD34、NF、CK均阴性。本病需与肉瘤样癌、平滑肌瘤、纤维肉瘤、炎性肌纤维母细胞瘤等相鉴别。输尿管平滑肌肉瘤恶性程度极高,预后差,化疗、放疗及免疫治疗效果均不理想,手术根治性切除是首选的治疗方法。
来源:张小伟, 黄必飞, 许拯国,等. 输尿管上段平滑肌肉瘤一例报告[J]. 中华泌尿外科杂志, 2017, 38(7).