【病例挑战】66岁男性血管支配区反复梗死,竟跟血液病有关?

来源:脑血管病及重症文献导读 2018.02.12
我要投稿

66岁,男性,6个月内多个血管支配区反复梗死


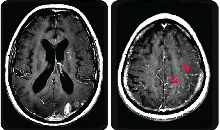
下图A,不同时期DWI影像,提示不同时期梗死灶逐渐增加。下图B为Flair。



下图DSA显示多支动脉远端变窄和不规则。



增强扫描显示软脑膜强化(主要位于左侧额颞),提示蛛网膜下腔内的血管受累。




根据这些图片信息,该患者最有可能的诊断是什么?