
左室游离壁和心包穿透性破裂
作者:梁艳(译)
病例资料
一位73岁男性患者,因突发晕厥
而被送来医院就诊。在救护车上,患者就出无脉电活动并接受了心肺复苏。到了急诊科恢复自主循环之后,查心电图
见Ⅱ、Ⅲ、aVF导联出现ST段抬高及Q波(图1a)。初次经胸超声心动图
显示心脏室壁运动及厚度正常,少量心包积液,及左侧胸腔积液
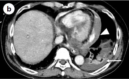
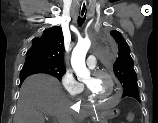
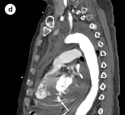
。虽然没有发现梗阻性或心源性休克的征像,但由于存在低血压而需要持续血流动力学支持。对比增强CT显示造影剂从左室渗漏到心包、纵隔和左侧胸腔血性积液中(图1b-d)。反复多次经胸超声心动图检查发现左侧胸腔积液持续增加,而心包积液并无变化。以上检查所见表明患者存在左室游离壁和心包的穿透性破裂。给予经皮静脉-动脉体外膜肺氧合(V-A ECMO)支持亦不能改善其血流动力学参数,由于出血量大,外科医师也没有进行心脏直视手术。患者于几个小时后死亡。




图1
a 心电图显示Ⅱ、Ⅲ、aVF导联出现ST段抬高及Q波。 b 轴位CT扫描图像显示造影剂渗漏到心包、纵隔(三角形箭头)以及左侧胸腔的血性积液中(长箭头)。冠状位(c)和矢状位(d)CT重建显示造影剂从左心室向心包渗漏(长箭头)和右心室壁相对比的低密度影(三角形箭头)。
启示
从这病例中,我们应该认识到,当患者出现血胸而又没有严重的心脏压塞
体征时,左室游离壁及心包的穿透性破裂可能还是会存在的,这可能会导致心脏破裂诊断的延误。
信源:Kyo M, Ohshimo S, Ota K, Shime N. Combinedrupture of left ventricular free wall and pericardium. Intensive Care Med.2017.43(12): 1858-1859.
来源:重症医学(CCM_China)