
一例十分“诡异”的胸痛
作者:周祥 湖南省益阳市中心医院
本文为作者授权医脉通发布,未经授权请勿转载。
那天我的夜班,晚上十一点多,抢救室来了一位十分“诡异”的胸痛
患者。
患者是一位16岁的男孩,176cm,65kg左右,自诉中午12点喝了半杯白酒后出现胸痛、胸闷不适,有呕吐,呕吐物为胃内容物未见咖啡样物体。查体:心率102次/分,血压 154/103mmHg,其余查体未发现阳性体征,患者躺在床上精神较差。
“胸痛具体是哪一种痛法:灼烧样?刀割样?压迫性?”我询问他。
“压迫性……”男孩闭着眼睛,有气无力地答到。
“假如十分疼痛不能忍受是10分,一点儿都不痛是0分,你觉得你的痛是几分?”
“8分吧!”
“具体在哪个位置?”
“这……”男孩胡乱地摸着胸骨中下段。
……
到底是什么疾病引起的胸痛?
该患者胸痛将近12个小时,而且痛得这么明显,十有八九有器质性问题。我脑子里快速思索着各种可能,同时给出相应的对策。
主动脉夹层
:胸痛伴血压升高,首先要排除主动脉夹层。不过患者左右侧上肢血压偏差不大,而且夹层疼痛一般呈撕裂样或刀割样,可先完善腹部大血管相关检查予以排除,必要时做胸腹主动脉CTA检查。
病毒性心肌炎
:反复询问病史,患者两周前的确有“感冒病史”,结合胸痛、胸闷症状、心率偏快,的确有病毒性心肌炎的可能。可先完善心电图
+肌钙蛋白
检查,必要时完善心脏彩超。
自发性气胸
:患者家属诉男孩平日爱运动,经常打篮球,体型偏瘦,胸痛也要排除自发气胸。不过我对称性听了患儿双侧肺叶的呼吸音,并没有减弱和消失的迹象,自发气胸也不是很像。
急性胰腺炎
:患者有明确的饮酒史,但是急性胰腺炎一般以上腹部持续性疼痛为主,该患者疼痛位置不是很符合,可完善上腹部彩超和血、尿淀粉酶
鉴别。
心肌梗死">急性心肌梗死:胸骨后压迫性疼痛,患者疼痛位置和性质倒是很符合。不过这一般都是中老年、伴有基础疾病的患者常见。虽然在心内科轮科时,心内科主任曾说过他碰到过最年轻的心梗也就是二十出头,但是这种病例十分少见。
逐一攻破,以上诊断都不像
我迅速利用本科室现有资源,急查心电图和血清肌钙蛋白,两者均提示阴性,暂时可以排除病毒性心肌炎和急性心肌梗死。
同时呼叫急诊彩超,查肝胆脾胰、腹部大血管、心包等,彩超医生告诉我同样没发现阳性结果。急性胰腺炎、主动脉夹层、心包相关的疾病基本也可以排除。
随后我们抽血送检验科完善其他相关检查:血常规
、电解质、凝血常规、D-二聚体
、淀粉酶+脂粉酶、心肌酶。
我开始着急了,这到底是什么疾病?只能再次向家属告知病情。
“一般急诊科来了一位病重患者,医生首要任务是排除致死性疾病。以胸痛表现的致死性疾病,我正在逐一排查,但目前没有找到十分符合的诊断。”
“那您还需要做什么检查?我们都极力配合!”患者的妈妈着急地不停抽泣。
“查一个胸部+上腹部CT
吧!”其实当时我内心压力巨大。心里不停地祈祷:这么年轻的患者,千万千万别发生病情变化。
罪魁祸首:纵膈积气!
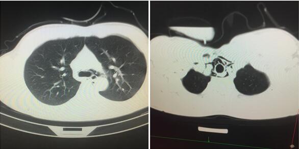
我们给患者急查胸部CT,上中纵膈内可见较多气体影聚集(如图1所示)。双肺未见肺主质病变,两肺门结构正常,气管及主气管大分支通畅。

图1 患者胸部CT影像
邀请胸外科急会诊,患者胸痛因纵膈气肿导致,原因考虑食管自发性破裂可能性大,立即收住胸外科继续治疗。
饮酒后导致的自发性食管破裂
自发性食管破裂是指非外伤性引起的食管壁全层断裂,由荷兰医生Hermann Boerhaave于1074年首次描述。因临床表现无特异性,常常被误诊为心绞痛、急性心肌梗死、主动脉夹层、急性胰腺炎等。
病因主要见于饮酒后和饱餐后剧烈呕吐,因胸腔负压引起食管壁内外压力差导致,由于食管没有浆膜层保护,尤其下段食管壁肌层较为薄弱的平滑肌,下段较容易被撕裂。主要表现为:剧烈呕吐后胸痛、胸闷、呼吸困难
、纵膈气肿、皮下气肿等。呕吐→胸痛→皮下气肿为典型的三联症。
根据病情严重程度,可选择保守治疗和外科手术治疗。回过头我整理病史和症状,结合胸部CT也证实右纵膈积气,患者诊断较为明确。入住胸外科后,予以禁食、插胃管胃肠减压、加强营养等对症支持治疗,回访病人恢复良好。
急诊科医生如何减少误诊漏诊?
按流程办事!这是我入急诊科第一天主任反复叮嘱我的。
在急诊科上班十分“惊喜”和“酸爽”,你永远不知道你下一个将面临什么样的病种。特别是那些痛得“嗷嗷”直叫、胸腹痛查因的患者,你满耳充斥着患者“呻吟声”,内心十分崩溃。这个时候你能做的就是淡定从容按流程办事:总的原则是先排除致死性疾病,稳定生命体征,及时准确分流。
不管是急性胸痛、腹痛查因,还是颅脑外伤、心肌梗死、创伤性休克的患者,他们都有固定处理流程,牢记这些流程,能及时挽救病人性命,医生还能少犯错误。
出色的急诊科医生,拥有良好的心理素质同时,还得拥有一双“侦探”般的慧眼,揭开层层迷雾,直到真相逼出……
参考文献:
[1] Boho W O,Billups W A,Hardy J D.Boethaaves,s syndrome: a review of six case of spontaneous Ruptures of the esophagus secondary to vomiting [J].Ann Surg, 1970,172(6):1034-1038.
[2] 牛磊等,自发性食管破裂一例误诊分析并文献复习[J].临床误诊误治.2014.