
成人腮腺富脂肪血管瘤1例
作者:刘洁 程敬亮 张勇等 郑州大学第一附属医院磁共振科 北京空军总医院放射科
病例介绍
患者男,58岁。因左侧耳下肿物3 d余于2016年4月19日就诊。左侧耳后腮腺区轻微肿大,按压可触及红枣大小肿物,中等质硬,无明显疼痛,活动度可。实验室检查各项指标未见明显异常。
MRI:示左侧腮腺不规则分叶状稍短T1混杂长T2信号影,边界尚清,大小2.7 cm×2.1 cm,病灶内可见点状长T1短T2信号(图1,2),T2压脂序列病变呈低信号,其内点状小结节呈稍高信号(图3)。增强扫描:左侧腮腺区病变边缘环形强化,其点状小结节明显强化,病灶邻近组织略受压(图4)。

图1 MRI T1WI示左侧腮腺区稍短T1信号,内可见一点状低信号影;图2 T2WI呈混杂高信号,内可见点状低信号影

图3 压脂T2WI呈低信号,其内可见点状稍高信号结节影;图4 压脂增强T1WI轴位病变边缘呈环形强化,病变内可见点状高信号影
影像诊断:左侧腮腺脂肪瘤。术中及病理所见:肿瘤位于腮腺浅叶,边界较清,肿物质软,大小约5 cm×3 cm×2 cm。灰红灰黄组织一块,切面灰黄质软。
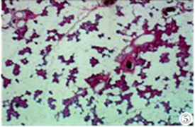
病理诊断:(左腮腺肿物)镜下见涎腺组织,其间脂肪填充,并见增生扩张的血管(图5),符合血管瘤。

图5 病理检查
。镜下见涎腺组织,其间脂肪填充,并见增生扩张的血管(HE)
讨论
腮腺血管瘤属于非上皮细胞来源的腮腺良性肿瘤,以血管内皮细胞异常增生和扩张为特点,仅占腮腺原发肿瘤的0.4%~0.6%。腮腺血管瘤好发于婴幼儿,女性多见,大多数患儿在7岁前可完全自行退化,因此,发生于成人者少见,其发病机制可能与肿瘤消退期的延长有关。
临床常表现为腮腺区无痛性肿块,局部皮肤可出现暗红色或淡蓝色斑丘疹,触诊时肿块柔软并有波动感。腮腺血管瘤可发生于腮腺浅叶、深叶或呈节段性分布,无包膜结构,故病灶形态不规则或呈分叶状。MRI具有良好的软组织分辨率和多序列、多参数成像等特点,其在腮腺区肿瘤的定性诊断方面明显优于CT,是目前诊断腮腺肿瘤最可靠的影像学检查手段。腮腺血管瘤在MRI上通常表现为等、长T1长T2信号,信号均匀或不均匀,形态不规则,多呈分叶状;增强扫描示明显强化,强化程度与血管相似,病灶内可出现不规则的或增粗的“血管流空”影。
本例腮腺血管瘤在T2压脂序列上呈低信号,富含脂肪成分,且发生于成年男性,极易误诊为脂肪瘤,二者之间最大的鉴别点为后者增强扫描无强化,且病灶内部不会出现“血管流空”影。腮腺血管瘤可以含有脂肪成分,有文献报道若瘤体内在T1WI上出现条状高信号,认为是脂肪组织。然而关于以脂肪成分为主的成人腮腺血管瘤鲜有报道。腮腺血管瘤脂肪含量丰富的原因可能与病变消退期延长、内皮细胞减少、大量脂肪组织长入有关。
来源:刘洁,程敬亮,张勇等.成人腮腺富脂肪血管瘤1例[J].中国临床医学影像杂志, 2017,28(4):300-301.