舌尖尖锐湿疣并发艾滋病 1 例

来源:临床皮肤科杂志 2018.08.07
我要投稿

卿 勇,喻专容,李 薇,四川洲际胃肠肛门病医院肛肠皮肤科, 成都市公共卫生临床医疗中心消毒供应室,四川大学华西医院皮肤科

1 病历资料


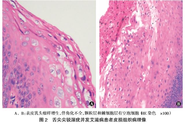
患者男, 25 岁。因发现舌尖赘生物 15 d, 于 2015年 5 月 6 日来四川洲际胃肠肛门病医院就诊。患者 15 d 前发现舌尖赘生物, 约豌豆大,呈白色, 质硬,有明显异 物感,无明显疼痛及瘙痒等不适,逐渐长大。自诉在多 家三甲医院就诊后,诊断为舌尖尖锐湿疣,因部位特殊 均拒绝手术治疗,患者为此病郁郁寡欢,辗转到我院就 诊,要求手术治疗。患者艾滋病病史 4 年余,长期服用 齐多夫定拉米夫定依非韦伦等抗病毒治疗至今,体 重无明显变化。患者为男同性恋,长期有肛交及口交 史。 体格检查:系统检查无异常,全身淋巴结未触及增 大。皮肤科检查:舌尖见豌豆大疣状白色增生物 (图 1A),表面无明显出血及糜烂,舌体及口腔其他部位未 见明显异常。 实验室及辅助检查:血常规尿常规、 凝血功能、生 化、心电图、腹部彩超、胸部 X 线片等无明显异常;抗 人免疫缺陷病毒(HIV)抗体阳性,梅毒螺旋体颗粒凝 集试验阴性;HIV 病毒载量:5.0×104 copies/mL (正常 值<50 copies/mL)、CD4:413 个/mL(441~1100 个/mL); 舌部皮损组织病理:表皮乳头瘤样增生,伴角化过度, 角化不全,棘层肥厚,角质层、颗粒层和棘细胞层有空泡细胞(图 2A、 B);免疫病理:人乳头瘤状病毒(HPV) 呈阳性;HPV-DNA 基因分型为 HPV6 型。 诊断:舌尖尖锐湿疣并发艾滋病。 治疗:局部麻醉下行舌尖尖锐湿疣电凝电切术 (图 1B)。术后口服抗生素 3 d,每日口腔中药保留漱 口(中药为课题协定处方,主要成份:重楼 30 g、黄柏 15 g、苦参 15 g 等,每日 1 剂,水煎 200 mL,分多次保 留漱口,每次 20~30 min)。患者 1 周后创面痂壳脱落, 形成溃疡面(图 1C),出院后继续口腔中药保留漱口 治疗。患者术后 3 个月随访时创面完全愈合(图 1D)。 目前治疗效果满意,舌尖外观及功能无影响,患者仍 继续中药保留漱口及随访中。

2 讨 论


尖锐湿疣(condyloma acuminatum, CA)是由 HPV 感染所致的生殖器、会阴及肛门等部位的表皮瘤样增 生性传染病[1]。人是 HPV 和 HIV 惟一的宿主,HPV 只 能在人体活的组织细胞内复制繁殖,HPV 除引起疣状 增生外, 还具有致癌性。有研究表明感染 HPV 与宫颈癌 的发生有关联[2]。获得性免疫缺陷综合征(acquired im- munodeficiency syndrome, AIDS),是由 HIV 感染引起 的,以严重免疫缺陷为主要特征的性传播疾病,临床 上以淋巴结肿大、厌食、慢性腹泻、体重减轻、发热、乏 力等全身症状起病,逐渐发展至各种机会感染、继发 肿瘤等死亡[1]。 目前认为尖锐湿疣主要通过直接性接触传播,口 腔尖锐湿疣发生可能与口交有关,疣体多发生在扁桃 体窝、颊黏膜、舌根及舌系带等部位,感染舌尖甚少[3]。 疣体为菜花状或乳头状赘生物,表面粗糙,呈灰白色、 淡褐色或近似口腔黏膜颜色。以往研究发现 HPV 有几十种类型,不同类型的 HPV 引发皮损的好发部位和 特征不同,如 HPV16、HPV18、HPV58 与宫颈尖锐湿疣 和子宫癌的发生有关,而 HPV6、HPV11 与口腔尖锐湿 疣的发生有关[4-6], 此患者 HPV6 型,与以往报道相符。


本例患者系 AIDS 患者,免疫功能差,持续抗病毒 治疗,疣体发生在舌尖部位, 部位特殊, 以往报道甚少, 严重影响患者饮食、 语言及生活,特别是对患者心理影 响较大,手术采用局部麻醉,舌尖敏感、疼痛明显、不易 操作,易发生职业暴露等风险。术后按照中医“扶正祛 邪”的原则,使用“ 益气养阴、解毒利湿” 方法。运用中药 起到抑制疣体复发。此患者运用中西医结合治疗得到 满意疗效。目前患者治疗后 3 个月,未见明显疣体生 长,仍继续中药保留漱口,继续随访中。 综上所述,随着性方式的多样化及不良性行为人 数的逐渐增多,HIV 感染者的不断增多,性传播疾病发 病率逐年增加,使尖锐湿疣成为一种严重影响人们日常生活的常见性传播疾病,尽管口腔尖锐湿疣发生率 偏低,但仍不容忽视。对于可疑的患者,应及时做组织 病理学检查及 HPV 基因检测,但根本方法仍是防止 性乱,洁身自爱,杜绝不良性行为。


参考文献略。


来源:卿 勇,喻专容,李 薇等,舌尖尖锐湿疣并发艾滋病 1 例[J],临床皮肤科杂志,2018,47(6):373-374.