
眼科首诊的全身转移性小细胞肺癌1例
作者:王娟 姚瑶 冯丹丹 解放军南京总医院门诊眼科 解放军南京总医院龙蟠路门诊
病例报告
患者男性,49岁。因" 右眼视物遮挡伴视力下降20余天"就诊。2017年5月20日至我院眼科门诊就诊。
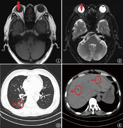
眼科检查:右眼视力0.1,左眼视力1.0,双眼结膜无充血,角膜透明,前房深浅正常,瞳孔圆,对光反射灵敏,晶状体密度稍增高。查右眼眼底后极部视网膜实性隆起,色灰白,视网膜表面可见弯曲爬行的血管,黄斑中心凹反光消失,未见视网膜裂孔,左眼眼底未见明显异常。右眼B型超声检查提示:右眼后极部可见数个不规则低回声隆起区,右眼继发性视网膜合并脉络膜脱离。头颅MRI提示:右眼球壁异常信号,考虑肿瘤合并视网膜脱离(图1,2)。胸腹部CT检查提示:(1)右肺下叶背段肺癌伴右肺门多发淋巴结肿大(图3)。(2)肝内多发转移灶(图4)。血常规检查:C反应蛋白26.6 mg/L;血生化检查:白蛋白 39.8 g/L、氨酸">丙氨酸氨基转移酶234 U/L、天门冬氨酸氨基转移酶44U/L、乳酸脱氢酶344 U/L。

图1,2 MRI示:右眼内肿瘤合并视网膜脱离;图 3 右肺癌伴肺门多发性淋巴结肿大;图 4 肝内多发性转移灶
收住我院肿瘤内科治疗,入院肺功能检查:中度阻塞性肺通气功能障碍;支气管纤支镜提示:右肺癌(累计右下叶背段及基底段)。病理活检示:低分化癌,结合免疫组化标记:考虑小细胞癌。行核医学(ECT骨骼)检查提示:胸5、腰5、右侧股骨中下段异常浓聚灶,考虑骨转移癌可能。明确诊断后,行EP方案化疗。
讨论
与其他组织和器官比较,眼部转移性肿瘤发生率较低。眼内组织淋巴管较少,因此眼内转移转移性肿瘤多通过血行转移。脉络膜血流量占全眼血流90%,脉络膜各级血管相互交通,因此脉络膜是眼部转移性肿瘤易发部位。
脉络膜转移癌多继发于原发部位癌症晚期阶段,因此预后较差,报道显示诊断后的平均生存时间仅为10~13. 1个月。该病主要治疗方法以放疗、化疗等全身治疗为主,脉络膜转移癌局部可采取玻璃体腔注射抗新生血管药物和瞳孔温热疗法,如果脉络膜癌肿较孤立亦可进行眼球摘除手术。
综上所述,中老年患者以视力下降伴视网膜脱离就诊时,应仔细检查。如发现眼部可疑占位性病变应全面检查全身状况,以免造成误诊漏诊,延误疾病治疗。
来源:王娟,姚瑶,冯丹丹. 眼科首诊的全身转移性小细胞肺癌1例[J]. 临床眼科杂志,2018,26(1):88-88.