
声门型喉癌1例
作者:佚名
病例介绍
患者,男,40岁,发现喉癌
2月余,化疗2周期。患者2年前感冒后出现声音嘶哑,持续约5~7天,自行缓解,间断性声音嘶哑,持续约1年。后无明显诱因出现持续性声音嘶哑,就诊当地医院发现声带肿物,保守治疗后症状改善不明显,遂支撑喉镜下声带肿物取病理,回报:中分化鳞状细胞癌,后行TPF方案化疗两周期。




讨论
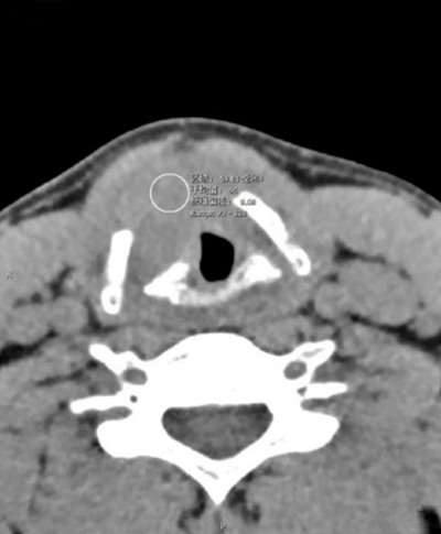
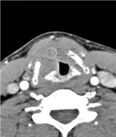
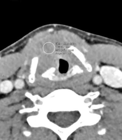
声门层面右侧声带增厚,呈结节状软组织密度影,边界尚可见,前联合及左侧声带前1/2受累,声门左偏,周围脂肪间隙小时,右侧甲状软骨骨质破坏。增强扫描呈轻度延迟强化。
结果
病理结果:(喉肿物)角化型-中分化鳞状细胞癌。
病例小结
喉癌中以鳞状上皮癌最多,其次为腺癌,肉瘤极为少见。男性发病高于女性,约为7:1,多见于老年,50~60岁组。按肿瘤的原发部位可分为声门上区、声门区和声门下区,以声门区最为常见(占60%~70%),声门上区次之,声门下区很少见。
CT表现:
声门型早期表现为局部声带增厚不规则,表面欠光滑,有强化表现。向前可侵及前联合,并蔓延至对侧声带。肿瘤向后蔓延较少,可侵及后联合、杓状软骨,使杓甲间距增宽。当环杓关节受累时,可影响声带活动,表现为杓状软骨增厚、硬化。肿瘤在后期可垂直蔓延至声门上区或声门下区。
声门上型:早期显示局部不规则增厚,较大者可呈肿块突出于喉腔,可向杓状会厌襞及会厌前间隙蔓延,肿瘤内很少有钙化,可有坏死。会厌下部肿瘤可水平向蔓延至双侧室带、喉室,并沿粘膜下侵及喉旁间隙。会厌癌很少直接侵犯甲状舌骨膜以及舌骨,而有一大半经会厌前间隙侵犯上述组织,多伴有同侧或双侧淋巴结转移。原发于室带、喉室和杓会厌皱襞的肿瘤,症状隐匿。其中原发于杓会厌皱襞者可见杓状会厌襞不规则增厚,同侧梨状窝狭窄。
声门下型:临床上极少见,常见为声门区的肿瘤向下蔓延。早期为声门下区喉腔有广基不规则增厚,有强化表现,晚期可致喉腔狭窄、软骨破坏,肿瘤向前经环甲膜或破坏环状软骨侵及颈前皮下,向后经环气管间隙侵及食管。
来源:影像园