
喉部肿物1例
作者:佚名
病例报告
患者,男,64岁,咽部异物3月。患者3月前无明显诱因出现咽部异物感,就诊我院门诊后行抗炎治疗症状缓解2天后症状反复。后反复出现,偶有针刺感,后行纤维喉镜检查后发现会厌根部肿物。患者自发病以来无吞咽及呼吸困难
,无饮水呛咳。
影像图片




讨论
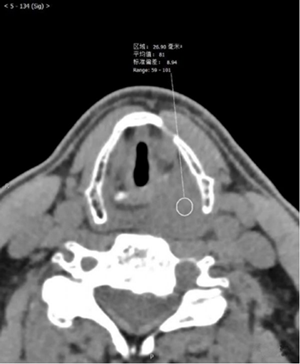
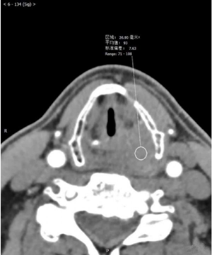
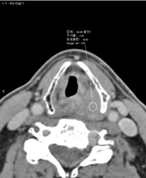
评论: 声门上层面喉左后壁增厚,呈软组织密度肿块影,边界不清,左侧杓状软骨大部分显示不清,左侧甲状软骨边缘毛糙,增强扫描呈渐进性轻度强化。
诊断
(会厌囊肿)符合会厌囊肿
病例小结
会厌囊肿是耳鼻咽喉科的常见疾病,约占喉部囊肿的20%。会厌囊肿多系因粘膜粘液腺管口堵塞所引起的粘液潴留囊肿。会厌囊肿的病变局限,形态规则无分叶,为口底小腺体阻塞后的潴留囊肿,位于上颈部会厌前间隙。MRI 影像为囊性长T1、长T2信号肿块,边界清晰,其内信号均匀,可见咽喉腔受压变窄,CT 影像为囊性薄壁低密度肿块,边界清晰,密度均匀,相应水平口咽腔受压变窄。
来源:影像园