
男性,22岁,皮疹、关节痛伴气促,考虑诊断为什么?
医脉通编译整理,未经授权不得转载。
病例简介
患者,男,22岁,主因皮疹
、关节疼痛4月,伴气促1个月而来医院就诊。
患者诉5个月前用蓝色和红色墨水在右胸上纹了一只蝴蝶(图1a)。纹身1个月后,突然在面部、双侧肘关节伸肌表面、掌指关节、颈部、胸部和背部右侧出现红斑(图1b和1c),但未出现肌肉无力症状。患者并未重视,病情逐渐加重,开始在体力活动后出现呼吸急促。
体格检查显示典型的Gottron皮疹。实验室检查C反应蛋白(CRP)、红细胞沉降率(ESR)、类风湿因子
(RF)、电解质、葡萄糖
、肝/肾功能和肝炎血清学检查均正常。抗核抗体(ANA)、抗着丝粒抗体
(ACA)、补体(C3,C4和CH50)、免疫球蛋白(IgM AG)、抗中性粒细胞胞浆抗体(ANCA)、抗核小体、抗环瓜氨酸肽(CCP)抗体和糖蛋白I(GPI)均在正常范围内。肌酸激酶水平正常(CK 32 U / L),铁蛋白水平显著升高(1016.9 ng / ml)。胸部的计算机断层扫描(CT)扫描显示ILD(图2a)。

图1 (a)患者胸部的蝴蝶纹。(b,c)颈部和双侧肘部背部的典型皮疹。
图2 患者不同的阶段的CT扫描结果:(a)患者第一次来医院时出现渗出性病变。(b)治疗后,ILD逐渐好转。(c)当患者再次来到我们医院时,CT扫描显示晚期ILD。
根据患者症状、检查及检验结果,考虑诊断为临床无肌病性皮肌炎合并间质性肺病。
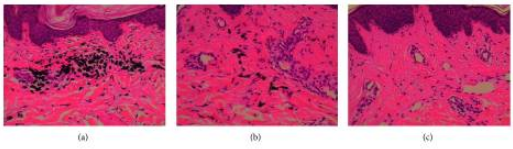
根据患者的病史,推断无肌病皮肌炎是由右胸的纹身引起的。手术切除纹身,HE染色进行皮肤病理学分析,结果显示无表皮增生,浅层真皮可见少量炎性细胞色素沉着和胶原纤维透明化,但蓝红两色纹身的淋巴细胞浸润率无显著差异。

图3 皮肤病理学分析:(a-c)纹身和正常皮肤的蓝色部分和红色部分的皮肤病理学分析显示蓝色和红色部分之间的淋巴细胞浸润没有显著差异。
明确诊断后予以糖皮质激素
和环孢菌素A(CsA)治疗。治疗后,皮疹和间质性肺逐渐改善,患者出院。
患者在出院1周后因呼吸急促再次入院。CT扫描显示晚期ILD(图2c)。复查血常规
、电解质、CRP、ESR、肝功能及血清肌酐
均在正常范围内。T-SPOT和(1,3)- β-D葡聚糖测试也未见异常。铁蛋白水平为888.6ng / ml。
患者接受CsA和甲泼尼龙
治疗,同时使用两性霉素B
、去甲万古霉素
、头孢哌酮-舒巴坦
和SMZ治疗潜在感染,静脉注射环磷酰胺
和丙种球蛋白。治疗后,巨细胞病毒(CMV)和抗体(IgG/IgM)仍均为阳性,因此,用更昔洛韦
代替两性霉素B和头孢哌酮舒巴坦
。治疗10天后,病人出现发烧并伴呼吸困难
。胸部X光显示双肺弥漫性病变。他接受了BiPAP辅助通气。后改用亚胺培南-西司他丁
、替考拉宁
和左氧氟沙星
控制感染。由于患者氧饱和度持续低于80%,故进行了插管辅助呼吸。血液检查
显示白细胞(WBC:20.0×109/L)、ESR(53mm/h)、CRP(52.9mg/l)水平明显升高。血气分型显示低氧压(58.9mmHg)。尽管有明确的诱因,但患者病情进展迅速。最后,死于呼吸衰竭。
讨论
临床无肌病性皮肌炎(C-ADM)是一种病因不明的罕见疾病。其特点是仅有皮肌炎的特异性皮肤病变,无临床或实验室肌病的证据。ILD是无肌病皮肌炎患者死亡的主要原因,在C-ADM患者中更常见快速进展性ILD。Sun等人在一项对41名中国C-ADM患者的回顾性研究中发现,ILD的患病率为60.98%,其中急性/亚急性间质性肺炎(A / SIP)为26.83%,慢性间质性肺炎(CIP)为34.15%。他们还报告急性/亚急性间质性肺炎的死亡率为63.64%,6个月的存活率为54.50%。然而,目前尚未就C-ADM的治疗达成共识。李等人表明吡非尼酮
可能改善C-ADM患者亚急性ILD的预后。
研究人员称,C-ADM与各种肿瘤有关。Nogi等人甚至报道肿瘤衰退可能改善间质性肺炎和皮肤表现。具有快速进展性ILD的无肌病性皮肌炎患者具有特异性自身抗体,最初称为抗黑素瘤分化相关基因5(MDA5)抗体。穆罗等人发现环境因素有助于这种抗体的产生,从而引发先天的抗病毒反应。本案例患者因纹身而患上C-ADM,可能是纹身的墨水含有诱导免疫反应的某种物质。
有关感染、纹身相关皮肤病和纹身过敏反应的病例报告经常在文献中报道。在某些情况下,纹身可能会在某些皮肤病条件下诱发Koebner反应。另外,Jolly 描述了纹身后发生盘状红斑狼疮的病例。Abreu Velez等人发现纹身色素周围的巨噬细胞标记物(HAM56和CD68),表明免疫系统与纹身成分相互作用。由于关于对纹身的免疫应答的文献不常见,因此值得进一步研究对纹身的免疫应答。
医脉通编译整理自:Han B, Guo Q. Clinically Amyopathic Dermatomyositis Caused by a Tattoo[J]. Case reports in rheumatology, 2018, 2018.