
70岁男性突发昏迷,只看片子你能想到什么诊断?
医脉通编译整理,未经授权请勿转载。
70岁男性,突发昏迷。

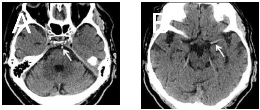
头颅CT平扫
显示基底动脉(A)和左侧大脑中动脉(B;箭头)有高密度血管征。

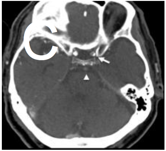
CT血管造影
(C)显示基底动脉(箭头)和左颈内动脉(箭头)同时闭塞。

VR图像显示永存舌下动脉(箭头),可以解释多区域梗死(D)。

机械血栓切除术后基底动脉再通前(E)后(F)的血管造影图像。
诊断
永存舌下动脉伴左侧颈内动脉和基底动脉同时闭塞
背景
➤ 永存舌下动脉(PPHA)是第二常见的颈动脉-椎基底动脉异常吻合,估计患病率为0.02%-0.1%。
➤ 其他胚胎动脉异常包括三叉动脉和寰前节间动脉。
➤ 残留性胚胎颈动脉-椎基底动脉吻合可能与椎动脉发育不全有关,并可引起不常见的脑血管疾病模式,特别是同时发生前后循环缺血。
临床表现
➤ PPHA主要为无症状性,但可能伴有颅神经受压和多血管分布区脑栓塞性卒中。
➤ 由基底动脉闭塞引起的突然昏迷会导致对前循环症状的漏诊。
诊断要点
➤ 前后循环同时梗死。
➤ 由颈内动脉远端(通常在C1-C2水平)引起的异常血管,穿过舌下神经管,汇入同侧的椎动脉。
鉴别诊断
引起多血管分布区卒中的其他原因:
➤ 心源性栓塞(心房颤动
和感染性心内膜炎
)或主动脉弓来源的栓塞
➤ 卵圆孔未闭
➤ 血管炎:中枢神经系统原发性血管炎、系统性红斑狼疮、颞动脉炎以及大动脉炎
➤ 凝血障碍
➤ 缺氧缺血性脑损伤
治疗
➤ 组织纤溶酶原激活物
(tPA)进行全身溶栓。
➤ 大血管闭塞可进行血管内血栓切除术治疗。
医脉通编译自:A 70-year-old man with sudden coma.AJNR. April 25, 2019.