
病例分享 | 原发性与继发性皮肤边缘区淋巴瘤如何鉴别?如何治疗?
医脉通编译整理,未经授权请勿转载。
病历摘要
患者,70岁女性,几个月前出现红色至紫罗兰色的丘疹、斑块和结节样皮肤病变,主要涉及下颈部和腹部(图1)。抗生素、抗真菌和过敏药物的局部和/或全身治疗未能获得临床改善,因此进行了皮肤活组织检查。

图 1
皮肤活检HE染色显示:致密的淋巴浸润达真皮,具有中小型淋巴样细胞(图2)。免疫表型分析显示:存在CD20和BCL2阳性以及部分MUM1阳性的B细胞。CD3,CD10,BCL6,细胞周期蛋白D1,CD5,CD23,CD30,末端脱氧核苷酸转移酶,kappa,lamda和CD34均为阴性(图3)。

图 2

图 3
在皮肤活检的石蜡包埋未染色载玻片上分析B淋巴细胞的克隆性,Ki-67增殖指数为20%。通过DNA扩增在282个碱基对处检测到框架II(FR2)区域的强克隆基因重排,并且在142个碱基对处检测到框架III(FR3)区域的强克隆基因重排(图4)。

图 4
根据临床表现和皮肤活检的病理学检查结果,最可能的诊断是什么?
A. 原发性皮肤滤泡中心淋巴瘤
B. 原发性皮肤边缘区淋巴瘤
C. 原发性皮肤大B细胞淋巴瘤
D. 非皮肤边缘区淋巴瘤继发皮肤受累
E. B和D
答案揭晓
正确答案:E
皮肤活检病理学报告为结外边缘区淋巴瘤。患者否认任何可触及的肿块、盗汗、发热
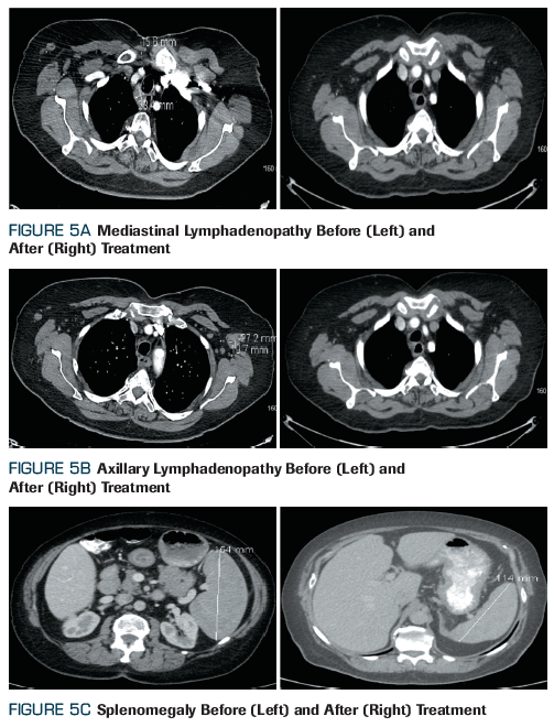
或体重减轻。由于患者超重,体格检查未发现淋巴结肿大或器官肿大。进一步检查胸部、腹部和骨盆的CT扫描显示腋窝、肺门和纵隔淋巴结肿大,以及脾肿大(图5)。单侧骨髓穿刺和活组织检查显示边缘区淋巴瘤受累。患者接受6个周期的利妥昔单抗
、环磷酰胺
、硫酸长春新碱
和泼尼松
(R-CVP)联合化疗,并获得完全缓解。

图 5
如何鉴别原发性与继发性皮肤边缘区淋巴瘤?
皮肤淋巴瘤可以是原发性皮肤边缘区淋巴瘤,也可以是非皮肤边缘区淋巴瘤的继发受累。区分原发性皮肤边缘区淋巴瘤和继发性皮肤边缘区淋巴瘤对于治疗方案的选择和预后的评估至关重要。然而,没有可靠的组织病理学和免疫组化特征能够准确区分这两个疾病。
尽管原发性皮肤边缘区淋巴瘤和继发性皮肤边缘区淋巴瘤极为罕见,并且难以建立可靠的标准来辨别两者之间的差异,但一些病例中报告了两者临床表现的一些差异[2,3]。原发性皮肤边缘区淋巴瘤往往在年轻患者中出现并且好发于躯干和四肢,而继发性皮肤边缘区淋巴瘤只出现在老年患者中,并且往往好发于头颈部。然而,在原发性和继发性皮肤边缘区淋巴瘤患者的临床表现中存在大部分重叠,因此对所有患者进行系统评估至关重要。在进行深入的临床体格检查、影像学检查、骨髓穿刺和活组织检查之前,通常不能区分原发性皮肤边缘区淋巴瘤和继发性皮肤边缘区淋巴瘤。只有在没有皮肤外疾病的证据时,才能确诊原发性皮肤边缘区淋巴瘤。
此处介绍的案例就是这一挑战的例证。虽然患者的年龄较大提示继发性边缘区淋巴瘤,但皮肤病变主要分布在躯干(提示原发性皮肤边缘区淋巴瘤)。皮肤活检的组织病理学和免疫组织化学检查不能鉴别该患者是原发性还是继发性边缘区淋巴瘤。在进行影像学、骨髓穿刺和活组织检查的全面系统检查后,才确定继发性皮肤边缘区淋巴瘤的诊断,然后进行适当的全身治疗。该患者通过全身治疗获得完全缓解,并且至今仍处于完全缓解状态。
如何治疗边缘区淋巴瘤?
边缘区淋巴瘤(MZL)包括3种类型,分别是黏膜相关淋巴组织(MALT)结外MZL、结内MZL和脾MZL。中国临床肿瘤学会(CSCO)淋巴瘤诊疗指南(2019年)对边缘区淋巴瘤的治疗进行了相应的推荐。

参考文献:
1. Mehmet Sitki Copur, Karine Turcotte, et al. Papules and Plaques on the Neck and Abdominal Skin of a 70-Year-Old Woman. Oncology (Williston Park). 33(6):217-20.
2. Gerami P, Wickless SC, Querfeld C, et al. Cutaneous involvement with marginal zone lymphoma. J Am Acad Dermatol. 2010;63:142-5.
3. Bailey EM, Ferry JA, Harris NL, et al. Marginal zone lymphoma (low-grade B-cell lymphoma of mucosa-associated lymphoid tissue type) of skin and subcutaneous tissue: a study of 15 patients. Am J Surg Pathol. 1996;20:1011-23.
4. 中国临床肿瘤学会(CSCO)淋巴瘤诊疗指南(2019年)