
患者鳞屑性斑疹伴肌肉进行性无力,诊断为何?
医脉通编译整理,未经授权不得转载。
案例简介
患儿,女性,5岁,因面部、手指背侧、肘部和膝盖出现鳞屑性斑块、角质层肥大和甲周毛细血管扩张而就诊(图1、2)。此外,患儿还出现上下肢对称的疼痛,进行性肌肉无力。随着病情进展,肌肉无力加剧,患儿不能直立行走,而是开始爬行。在发病前,患儿发育正常。患儿母亲诉孕期曾接受氟喹诺酮类药物治疗淋病。没有其他疾病的家族史。

图1鼻部和面颊的皮肤有鳞屑的红斑

图2右手背侧,手指有鳞斑和甲周丘疹
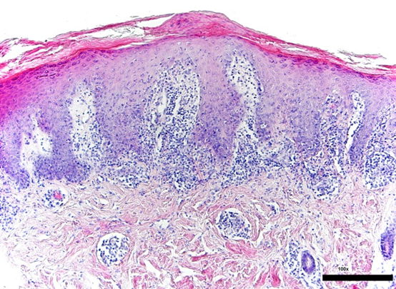
左肘部皮肤进行活检,组织病理学显示典型的银屑病表现(图3)。

图3表皮棘皮病,表皮突起有规则伸长。乳头上表皮变薄,层间颗粒减少或缺失,覆盖角化不全。上皮室显示血管周围淋巴细胞有中等密度的炎性浸润。
根据临床症状、神经系统状况、大腿肌肉超声(显示肌肉具有丰富的回声,与炎症浸润相适应)、实验室测试(肌酸激酶水平升高[7.01μkat/l,正常范围<2/5μkat/l])、乳酸脱水原ASE水平(8.08μkat/l,正常范围<5.2μkat/l),ANA效价为1:2560,)考虑诊断为皮肌炎合并银屑病。
讨论
青少年皮肌炎(JDM)是儿童最常见的肌病,其特征为近端肌肉无力和典型的皮肤表现有关,如微血管扩张、伸肌关节表面Gottron丘疹和眼睛周围的日光性皮疹
。这种疾病的病因尚不清楚。JDM的特征是近端肌无力(100%)、关节痛(55%)、甲状腺肿
(93%)、日光性皮疹(87%)、光敏性(55%)、疲劳(82%)、体重减轻(40%)和腹痛(36%)。在临床上特发性JDM (CAJDM)的肌痛中,关节炎、挛缩、钙质沉着、吞咽困难
、腹痛、疲劳以及血液和血清异常较少发生。然而,CAJDM和典型青少年皮肌炎(JDM)中阳性ANA占很高比例(70% ~ 80%)。
银屑病在儿童时期并不少见,可能与家族史有关。其特征为典型的红斑丘疹和斑块。皮肌炎合并银屑病较少见,其发病可能与免疫功能紊乱有关。目前的治疗方案推荐使用类固醇脉冲疗法,或口服强的松联合其他免疫抑制剂如甲氨蝶呤
。
对于难治性儿童皮肌炎,可使用TNF-α拮抗剂如英夫利西单抗
或依那西普
治疗。
医脉通编译整理自:Markovic A, Schuster V, Simon J C, et al. Erythematous scaling lesions of the face, dorsal fingers, elbows, and knees together with symmetrical muscle weakness in a child[J]. Clinical Case Reports, 2019.