
警惕,血清阴性膝关节炎患者出现红色斑疹的原因是什么?|临床实战
医脉通编译整理,未经授权不得转载。
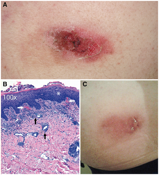
患者,男性,66岁,有血清阴性膝关节炎的长期病史,接受皮下甲氨蝶呤
(MTX)治疗(15mg/周),在左侧腹部出现无症状的红斑斑块,伴有结痂和结垢,且与最后一次注射部位相对应(图1A)。斑块的组织病理学和微生物学研究未见明显异常(图1B)。故医生停止皮下注射MTX,改为口服。1周后,病灶几乎愈合,无瘢痕(图1C)。随访1年后无新的皮肤病变出现。
图1 (A)MTX皮下注射部位不规则的红斑,有结痂和结垢。(B)组织学表现为棘突和角化过度,伴有微小的海绵体增生(白色星号)。真皮浅表可见以淋巴细胞为主的中度血管周围炎性浸润(黑色箭头),很少伴有红细胞外渗(白色箭头)。(C)改为口服MTX1周后,病变状况改善。
皮下注射MTX通常耐受性较好,很少有副作用。先前有一篇关于皮下MTX注射部位出现红斑和鳞状斑块的报道。这种罕见的局部反应的发病机制尚不清楚。医生应该意识到发生这种局部反应的可能性。
医脉通编译整理自:Fustà X, Combalia A, Guañabens N, et al. Uncommon local reaction at the injection site of subcutaneous methotrexate[J]. Rheumatology, 2017, 57(1): 27-27.