
罕见病例:由别嘌醇诱发的眼部不良反应 | 病例分享
医脉通编译整理,未经授权请勿转载。
别嘌醇是痛风治疗的常用药,易感人群因使用别嘌醇而导致过敏的病例时有报告,但由别嘌醇引起的眼部症状的病例较为少见。Int J Rheum Dis杂志刊登了一例伴有痛风和代谢综合征的年轻女性因使用别嘌醇,导致结晶性黄斑病变的病例,提醒内分泌医生对于别嘌醇此类罕见不良反应的关注,小编将文章进行了整理与大家分享。
病例分享
患者,33岁,女性,怀孕24周,因3年来反复出现的多关节(包括大关节和小关节)痛风性疼痛转院至我中心就诊。痛风每次发作均伴有皮肤肿胀和充血,发病起因多与高嘌呤饮食的摄入有关,之前在未经特殊治疗的前提下,疼痛往往自行消失。但随着怀孕的进展,痛风发作越来越频繁。此外,患者在3年前被确诊为糖尿病">2型糖尿病,并一直接受药物治疗,伴有糖尿病家族史。
检查结果:患者体型肥胖(BMI为35.2kg/m^2),血压正常,无皮疹或痛风史沉积,关节检查显示不对称,出现手、膝盖、脚踝等多关节压痛和肿胀,有双膝关节积液迹象,未出现关节畸形。C反应蛋白11.6mg/L(↑),血沉86mm/h,空腹血糖7.6mmol/L,总胆固醇6.20mmol/L(↑),甘油三酯4.04mmol/L(↑),低密度脂蛋白胆固醇0.9mmol/L(↑),全血细胞计数、肾功能、肝功能、甲状腺功能正常。类风湿因子、抗环瓜氨酸肽抗体、抗核抗体均为阴性,超声显示无肾结石迹象,血尿酸(SUA)为575umol/L(↑),显微镜检查显示左膝有尿酸钠结晶,证实痛风性关节炎的诊断。
患者足月分娩,产后痛风持续发作。产后给予别嘌醇治疗(每晚服用150mg),随后剂量增加至每晚300mg,耐受性良好,SUA呈下降趋势。因伴有共病,同时使用的其他药物包括二甲双胍(1500mg,每晚使用),维生素C(500mg,每日1次),非诺贝特(145mg,每日1次),格列齐特缓释片(90mg,每日1次)。随着治疗的进行,SUA水平降低至360umol/L,未出现痛风复发。
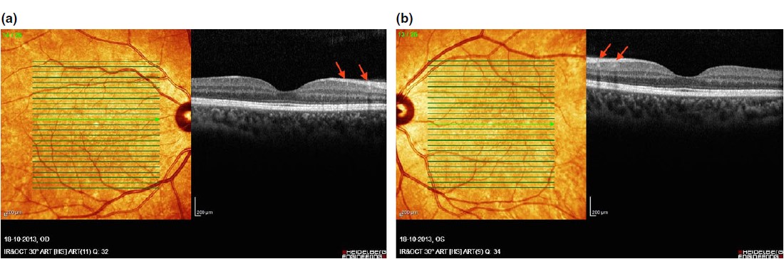
但在使用别嘌醇治疗6个月后,患者逐渐出现视力模糊,眼科医生对其进行评估,检测结果见图1、图2,提示黄斑中心凹周围高反射晶体沉积,诊断为晶体性黄斑病变。考虑到对SUA的控制,并没有建议患者停药,而是降低了别嘌醇的使用剂量,目前患者视力保持稳定,没有出现黄斑区晶体沉积恶化。

图1 眼底照相机提示黄斑中心凹周围沉积(a:右眼,b:左眼)

图2 光学相干断层扫描提示高反射晶体且伴有阴影(a:右眼,b:左眼)
讨论
晶体性黄斑病变是指在中央凹周围的浅层视网膜上沉积了可折射晶体。通常累及双眼,影响眼底后极部,视力通常不受影响。但是,随着凹下或中央凹周围囊肿的形成,视力可能会降低。导致晶体性黄斑病变的原因有很多,例如全身性疾病(如草酸病)、原发性眼部疾病、栓塞性疾病(如胆固醇栓塞)以及某些药物等。有大量研究报道,他莫西芬、顺铂、氨甲酰、氨基糖苷类、氨基嘌呤类药物在全身给药时,可能会出现眼部或视觉相关不良反应。
我们对病人进行了光学相干断层扫描,结果显示黄斑区出现高反射的视网膜内晶体,与晶体性黄斑病变相一致。除别嘌醇外,患病未接触过可能导致晶体性黄斑病变相关的其他药物。随后,考虑到对SUA的控制,并没有建议患者停药,而是降低了别嘌醇的使用剂量,患者视力保持稳定,没有出现黄斑晶体沉积恶化。
小结
本文报告了一例由别嘌醇诱发晶体性黄斑病变的罕见病例,产生机制尚不十分明确。提醒如痛风患者在使用此类药物之后出现眼部异常,内分泌科医生应予以留意,尽早转诊至眼科医生十分必要,及时干预可以阻止病情的恶化。
医脉通编译整理自:Cheah CK, Vijaya Singham N, Gun SC.A case report on allopurinol induced crystalline maculopathy[J].Int J Rheum Dis. 2017,20(12): 2253-2255.DOI: 10.1111/1756-185X.12827