
CT提示钙化灶,MRI却正常,钙水平也正常,究竟什么病?丨读片会
医脉通编译整理,未经授权请勿转载。
导读:CT提示钙化灶,MRI和生化钙水平正常,究竟为何?又该如何诊断治疗?一起学习一下最新一期(1月2日)美国神经放射学杂志(AJNR)的临床推理吧!
病例简介
在3天前的一场橄榄球比赛中,15岁男孩头部受伤2次,随后被送往急诊室。影像学如下:

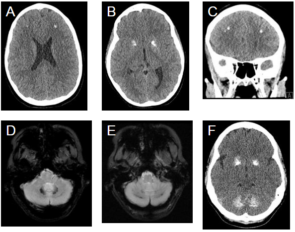
图1 A-C:患者CT图像 D-F:患者母亲MRI和CT。(额叶白质(A和C)和苍白球(B)呈高度衰减病灶,齿状核(D)和小脑半球(E)的T2WI上提示低信号,而基底神经节和齿状核(F)呈高度衰减。)
病例背景
原发性家族性脑钙化(Primary familial brain calcification,PFBC)曾被称为Fahr病,文献中至少提过35种名称。 该病的主要特征是双侧豆状核钙化,也可累及丘脑,尾状核和齿状核。 小脑,脑干,半卵圆心和皮层下白质也可能受累。
在本病例中,患者有癫痫
病史。然而,2年前做过的一次核磁共振成像并提示钙化,CT上看到的钙化。生化检测显示血清钙、甲状旁腺激素、铁和镁水平正常。进一步的病史显示有家族史,患者母亲的颅内表现相似,符合PFBC的临床诊断。
临床表现
PFBC通常是通过影像学偶然发现,只有小部分颅内钙化患者存在临床症状。既往文献报告了三种类型,如下:
➤ 儿童早期发病:特征是智力发育迟缓,运动和发育轻度延迟
➤ 早发(<30岁):神经、精神症状
➤迟发(<50岁):痴呆和运动障碍
诊断要点
CT显示双侧苍白纹齿状钙化有提示作用;
进行性神经功能障碍(通常包括运动和/或神经精神障碍)
发病年龄通常在40-50岁,或早或晚。
生化异无常或无提示代谢、线粒体或其他疾病的临床特征
无缺血性、肿瘤性、感染性、毒性或创伤性原因
家族史与常染色体
显性遗传一致
基因检测:在临床诊断为PFBC的患者中,半数以上的患者存在PDGFB、PDGFRB、slc2a2或XPR1基因中的杂合子致病性变异。
鉴别诊断
➤ 创伤性脑损伤:最常见的挫伤部位是眶额部和颞前部。轴索损伤的部位在皮层下和胼胝体区域。
➤ 钙代谢紊乱:甲状旁腺功能减退、假性甲状旁腺功能减退、假性乙状旁腺功能减退;基底节对称性钙化;但是以上情况血清生化指标异常。
➤ Kenny-Caffey 综合征1型:生长迟缓,长骨皮质增厚,低钙血症
,甲状旁腺功能减退,基底神经节钙化
➤ 感染性病毒性脑炎、细菌和寄生虫感染(如布氏杆菌病、弓形体病):在这些条件下,钙化的分布和外观与PFBC不同。
➤ 线粒体疾病:观察到大脑和基底神经节的矿物质沉积。临床表现多种多样,许多情况涉及多个器官系统。
➤ 早发性症状:如Cockayne综合征、Aicardi Goutieres综合征、免疫缺陷伴基底节钙化、结节性硬化综合征、伴钙化和囊肿的脑视网膜微血管病、泛酸激酶相关性神经退行性疾病(PKAN)、唐氏综合症,这些疾病临床表现与PFBC不同。PKAN与铁沉积有关。
治疗
➤ 针对临床表现的治疗:改善焦虑,抑郁和强迫性强制行为的以及运动障碍(例如震颤)或肌张力障碍的药物治疗; 尿失禁采用抗胆碱药;抗癫痫药
➤对患者进行神经评估和精神病学评估
➤谨慎使用抗精神病药物,因为它们可能会加剧锥体束外症状
医脉通编译自:Sapna R, Juan PC. Case of Week,AJNR. Jan 02,2020