
以精神病性症状为首发的早发型阿尔茨海默病一例
通讯作者:李喆 副教授
单位:1. 四川大学华西医院心理卫生中心
文章来源:Xiao Li, Zhenzhen Xiong, Yaya Liu, Yiwen Yuan, Junfeng Deng, Weiyi Xiang and Zhe Li*. Case report of first-episode psychotic symptoms in a patient with early-onset Alzheimer’s disease [J]. BMC Psychiatry, 2020;20(1):128. Published 2020 Mar 17. doi:10.1186/s12888-020-02537-9
本个案研究得到以下课题资助:
1. 四川省科学技术厅课题(2017SZ0049)
2. 四川省卫生健康委员会课题(19PJ187)
3. 成都医学院研究生教改项目(CYAL-201907)
4. 全国医学专业位研究生教育指导委员会(中国学位与研究生教育会医学专业工作委员会)课题(C-YX20190302–02)
研究背景
阿尔茨海默病
(AD)是一种常见的以进行性认知障碍为特征的神经退行性疾病。据报道,我国65岁及65岁以上人群中AD患病率为3.21%,这对患者及其家庭、照顾者以及整个社会来说都是巨大的负担和挑战。由于阿尔茨海默病是一种慢性疾病,早期诊断和干预对改善预后至关重要。
AD可分为早发型AD(起病年龄在65岁之前)和晚发型AD(起病年龄在65岁及以后)。早发型AD仅占所有AD患者的5.5%,容易被忽视。痴呆的精神行为症状(BPSD)包括躁动/激越、攻击、冷漠、抑郁、精神病、去抑制,可能发生在AD早期甚至是痴呆症状出现之前。出现BPSD时,AD与其他一些精神疾病,如抑郁症或精神分裂症
,尤其是极晚发精神分裂症(VLOSLP) 鉴别困难。VLOSLP通常发生在60岁以后,以妄想和幻觉等精神病性症状为特征,其患病率为0.1-0.5%。VLOSLP患者通常有精神病性症状和轻度认知功能下降,因此极易被误诊为AD。早发型AD患者若仅出现BPSD,而无明显的认知功能下降,易被误诊为VLOSLP。
分拣蛋白相关受体L1(SORL1)是基因编码一种参与Aβ淀粉样前体蛋白加工的蛋白,并参与Aβ肽的分泌过程。先前的文献报道,该基因的突变与AD有关。但以往的研究更倾向于研究AD中更常见的基因突变,如APP、PSEN1和PSEN2基因,SORL1基因突变在AD中的潜在作用被忽视。
我们报告一例合并SORL1基因突变的AD患者,其首发精神病性症状出现在65岁之前,最初被误诊为精神分裂症。据我们所知,这是首例以精神病性症状和锥体外系症状为首发的早发型AD的病例报告。
病例资料
患者为63岁的中国女性,右利手,高中文化,2018年9月到我院住院治疗。从2016年开始,该病人无明显诱因出现精神病性症状,凭空听见有人在议论她,有人要伤害她。有时她会告诉家人,她听到了敲门声。日常活动需要他人的帮助。睡眠质量很差,但未出现意识障碍
。患者当时未接受任何治疗。

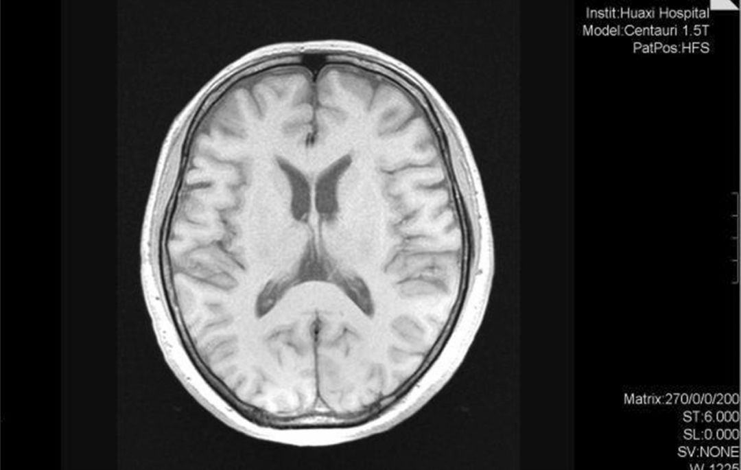
图1 2016年头部MRI未见明显结构异常(Li X, et al. 2020)
上述情况持续了大约1年后,患者被家人带至我中心门诊就诊。头部磁共振检查未发现明显的大脑结构异常(图1)。根据《精神疾病诊断与统计手册》第五版(DSM-5),患者被诊断为精神分裂症。予以奥氮平
5 mg每晚1次,患者服药1个月后幻觉和妄想症状消失,但开始出现行动迟缓,且脖子变得僵硬;同时出现情景性记忆障碍
,总是忘记刚发生的事情,重复问同样的问题,以及外出后找不到回家的路。患者的自理能力,如穿衣和进食,也受到了损害。然而,患者当时并未出现语言障碍,而且能够正常与家人沟通。
予以盐酸苯海索
2 mg每晚1次,治疗疑似奥氮平引起的锥体外系症状,但症状并未改善。2017年7月,奥氮平的剂量减少至2.5 mg每晚1次,但1个月后患者的症状仍未改善。因此,我们认为患者的运动症状并不是由奥氮平引起的,于是停止使用盐酸苯海索。2018年5月,患者的颈部僵硬加重,逐渐蔓延至四肢,并出现了严重的颈部、四肢和姿势僵硬,但未出现震颤。患者渐起走路不稳,运动迟缓,记忆力下降,生活自理能力明显下降,但并未表现出不恰当的社会行为、冷漠或饮食习惯改变,对其家庭成员的感受也能有正常的反应。
患者于2018年9月于我院住院治疗。据患者亲属提供的信息,患者无吸烟或饮酒史,无精神疾病史;既往有胆囊摘除手术病史。患者有良好的家庭成员的支持,未报告任何重大不良生活事件。病人及其亲属否认曾经滥用精神活性药物。患病期间,患者未表现出任何暴力、易激惹和自杀
、自伤
行为。入院时生命体征稳定,体格检查未发现明显异常。血尿
、血糖、肝肾功能、甲状腺功能未见异常,无感染迹象。脑电图
、心电图
和经颅多普勒超声检查结果未见异常。
精神状态检查未引出幻觉或妄想。患者情绪稳定,但有短暂的定向障碍,注意力、计算和语言能力存在缺陷,记忆延迟。患者还表现出视觉空间组织和抽象思维方面的缺陷。自知力缺失。简易精神状态检查(MMSE)得分为16分,蒙特利尔认知评估(MoCA)得分为9分。

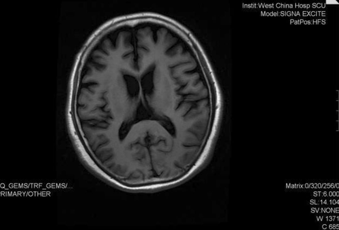
图2 2018年9月头部MRI示轻度额颞叶萎缩(Li X, et al. 2020)
住院期间,患者头部MRI显示轻度额颞叶萎缩(图2)。MMSE得分为16/30(满分30分),表现出短暂的方向感丧失、注意力、计算能力和语言能力方面的缺陷,以及记忆延迟。MoCA得分为9/30(满分30分),结果提示患者在视觉空间组织、注意力、语言能力、时间取向和抽象思维方面存在缺陷。日常生活活动量表(ADL)总分为54分,提示日常生活活动困难。
根据患者2年的服用抗精神病药物和四肢肌张力增高的病史,诊断为迟发性运动障碍;但经过神经内科专家会诊后,根据其运动迟缓和肌张力增高,诊断为帕金森综合征。停用奥氮平,予以美多芭(375 mg/d)、盐酸普拉克索
(0.75 mg/d)、盐酸司来吉兰
(5 mg/d)、盐酸苯海索(3 mg/d)联合治疗。两周后,患者的运动迟缓、僵硬和蹒跚的步态有所改善,但其记忆力未明显改善。患者于2018年10月出院。

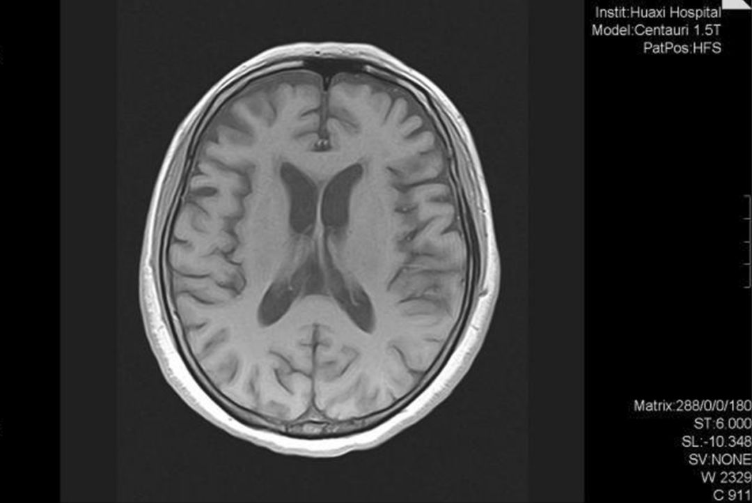
图3 2019年8月头部MRI示双侧额颞叶中度萎缩(Li X, et al. 2020)
出院后2个月随访,我们给患者进行了痴呆相关的基因检测,分析了53个与痴呆相关的基因,唯一检测到的突变为SORL1杂合突变(chr11:121340726, c.296A>G)。认知评估显示MMSE和MoCA得分均为20/30。予以美金刚
(10 mg/d)和盐酸多奈哌齐
(10 mg/d),并停止服用盐酸苯海索,但在2019年7月随访时,患者的认知功能仍没有明显改善。2019年8月随访时,头部核磁共振显示额颞叶萎缩(图3),相比2018年加重,而18F-FDG PET/CT显示双侧额叶和尾状核代谢减退。MoCA得分为23/30,但ADL得分下降至31(表1)。患者无法完成许多日常生活活动。
表1 2019年8月患者ADL得分(Li X, et al. 2020)

1分为正常,2-4分提示存在功能损害
该患者最终被诊断为可能的AD,依据是患者存在早期严重的情景性记忆障碍、内侧颞叶萎缩,并基于PET/CT的脑葡萄糖
低代谢,以及AD相关的基因突变。2019年10月的最后一次随访中,患者表现出记忆力差、反应慢和运动迟缓,但没有出现精神病性症状。

图4 患者病史回顾(Li X, et al. 2020)
讨论
根据既往的文献报道,这是首例存在SORL1基因突变、65岁之前就出现精神病性症状并被误诊为精神分裂症的AD患者。接受抗精神病药物治疗1个月后,患者精神病性症状消失,但开始出现强直、运动迟缓和认知功能受损。患者未表现出精神分裂症患者的典型临床病程特征。结合神经心理检查、头部MRI、18F-FDG PET/CT和基因分析的结果,该患者诊断为早发型AD。
AD是痴呆中最常见的类型。许多AD患者最终会表现出痴呆相关的精神行为症状,包括活动增加、精神病性症状、情感症状和淡漠。一项以中国老年痴呆人群为研究对象的研究发现,半数老年痴呆患者至少有一种精神或行为症状。精神症状常见于痴呆的早期,可出现于疾病的各个阶段,但很少见于早发型AD。痴呆的精神和行为症状会增加患者的医疗费用,降低生活质量,导致长期住院,给护理人员带来巨大的负担。因此,早期发现和治疗这些症状有助于改善AD患者的预后。
本例患者在接受奥氮平治疗后出现肌张力增高、运动迟缓、认知功能下降等症状。与第一代抗精神病药物相比,奥氮平导致这些症状的发生率较低,而且该患者在减少奥氮平剂量以及加用盐酸苯海索后症状并无改善。因此,我们认为该药不是导致患者出现锥体外系症状的病因,推测其锥体外系症状是AD的帕金森样症状;这些症状在许多AD患者中都可以观察到,与日常活动能力下降以及严重的认知障碍 (包括注意力和视觉空间缺陷) 相关。一项纵向研究还发现,帕金森样症状的逐渐恶化与AD患者的认知能力下降密切相关。对这些症状的筛查可能有助于AD的早期发现,而这些症状也可以作为预测认知功能预后的指标。早期AD患者的锥体外系症状也与黑质病变有关,包括α-突触核蛋白聚合、tau蛋白过度磷酸化,和神经元丢失。
我们课题组先前的研究发现了21个与AD密切相关的基因,包括:TGFB1、CTNNB1、APP、IL1B、PSEN1、PTGS2、IL6、VEGFA、SOD1、AKT1、CDK5、TNF、GSK3B、TP53、CCL2、BDNF、NGF、IGF1、SIRT1、AGER和TLR。其他一些研究还发现APP、PSEN1和PSEN2的突变与早发型AD有关。虽然我们分析了53个与痴呆症相关的基因,但该患者只在SORL1基因上出现了突变。SORL1基因是编码一种参与Aβ淀粉样前体蛋白加工的蛋白,并参与Aβ肽的分泌。研究发现,在非痴呆的老年人中,SORL1的突变与年龄相关的认知能力下降有关。在AD中也发现了该基因的突变,甚至可能是早发型AD的危险因素。因此,该患者存在的早期认知能力下降,包括时间定向障碍、注意力、计算能力和语言能力的缺陷,以及显著的情景记忆障碍,可能与该基因的突变有关。
既往研究表明,SORL1基因的突变与AD患者的帕金森样症状有关,如静止震颤、肌张力增高、面部表情减少、步态不稳和运动迟缓等。此外,SORL1的变异也会影响大脑结构。一项针对中国人群的结构MRI研究发现,SORL1变异与老年人右侧颞中极灰质体积减少有关。另一项针对中国人群的脑结构研究发现,携带SORL1等位基因A的个体,其右侧后扣带、左侧枕中、额叶内侧和颞上回脑区脑灰质体积减小。这些研究结果表明,SORL1基因变异对大脑结构存在一定影响。该患者存在额颞叶萎缩,这种脑结构的改变可能与SORL1基因突变有关。因此,SORL1基因突变可能导致认知能力下降、帕金森样运动症状和大脑结构改变。早期筛查SORL1基因突变可能对早发型AD的诊断有所帮助。
本例患者发现了额颞叶萎缩,但诊断上并不考虑额颞叶痴呆
,主要是因为患者未表现出典型的语义变异型原发性进行性失语症
的语言功能受损,也没有表现出额颞叶痴呆行为变异型的相关症状,如早期行为脱抑制、淡漠、缺乏同情心、饮食习惯变化。考虑到这些因素,加之SORL1突变与额颞叶痴呆并无联系,我们倾向于早发型AD的诊断。最近的一项神经影像学研究发现,额叶、颞叶等脑区体积可以预测AD的精神行为症状,其中额叶体积是预测最有力的指标。因此,该患者额颞叶萎缩可能与患者早期出现的精神行为症状有关。
总之,弥散脑结构改变、代谢的变化、认知的缺陷以及帕金森运动症状都可能与SORL1基因突变有关。因此,当患者出现精神病性症状以及SORL1基因突变,且起病较典型精神分裂症更晚时,应考虑早发型AD的可能。该患者最初之所以被误诊为精神分裂症,是因为痴呆的精神行为症状被错误地归为精神分裂症的症状。我们建议,以精神行为症状为首发症状的中老年痴呆患者的诊断应包括详细的认知功能评估、头部MRI和PET/CT,以及痴呆相关基因的检测。
(参考文献:略)