
甲功正常的甲状腺眼病诊断困难?皮肤活检助一臂之力|病例分享
医脉通编译整理,未经授权请勿转载。
甲状腺眼病是一种复杂的眼眶炎症性疾病,可能会导致视力
受损,容貌改变。在患有甲状腺眼病的个体中,有85%的人伴有甲亢的生化证据,例如Graves病;有10%的人表现出甲状腺功能低下,例如桥本甲状腺炎
;而有5%的甲状腺眼病患者甲功是正常的。对于甲功正常的甲状腺眼病患者,目前尚无明确的诊断标准,因此容易漏诊,贻误治疗。
在本篇文章中,作者对5例甲功正常但经活检证实为皮肤黏蛋白增多症的甲状腺眼病患者病例进行了回顾,评估了皮肤活检对于此类疾病的诊断价值。
病例介绍
病例一:一名正在接受高血压和糖尿病治疗的55岁韩国男子到皮肤科就诊,伴有3个月的持续左眼睑发热
和肿胀史。体格检查发现左上眼睑有一个局部的、界限不清的红斑斑块,伴有肿胀。进行眼睑部的皮肤活检,组织病理学分析显示胶原束间有无定形物质沉积,真皮上部伴有血管周围淋巴细胞浸润。
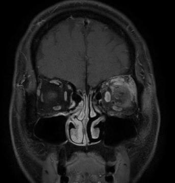
进行Alcian蓝和促甲状腺激素染色,发现黏蛋白沉积,促甲状腺激素呈阴性。组织病理学表现提示眼部黏蛋白增多症。根据临床和组织学表现,诊断为甲状腺眼病,甲状腺功能检测显示亚临床甲亢,眼部磁共振成像
显示左侧眼外肌和组织增厚。

图1 眼部磁共振成像结果
病例二:患者为61岁的韩国男性,伴有3个月的持续左眼睑肿胀史。在左上眼睑处发现一块界限不清的红肿斑块。皮肤活检显示胶原纤维束间伴有无定形物质沉积,真皮上部存在血管周围淋巴细胞浸润。Alcian蓝和促甲状腺激素染色结果均为阳性。行甲状腺功能和自身抗体检测,实验室检查未发现甲状腺自身抗体,甲状腺功能检查
结果正常,诊断为甲状腺功能正常眼病。
病例三:患者为59岁韩国男性,伴有3个月眼睑及面部持续肿胀的病史(图2),被诊断为过敏性接触性皮炎,使用泼尼松龙
和抗组胺药治疗1个月,未出现好转。1个月后,对左上眼睑进行皮肤活检,组织病理学分析显示胶原束间有无定形物质沉积,真皮上部伴有血管周淋巴细胞浸润(图3,A和B)。
Alcian蓝(图3,C)和促甲状腺激素染色结果均为阳性。根据临床和组织学表现,考虑甲状腺眼病。进行甲状腺功能和自身抗体检测,实验室检查未发现甲状腺自身抗体,甲状腺功能检查结果正常。患者被诊断为甲状腺功能正常眼病。

图2 双侧上眼睑存在局部界限不清的肿胀,左上眼睑肿胀较明显

图3 组织病理学检测结果
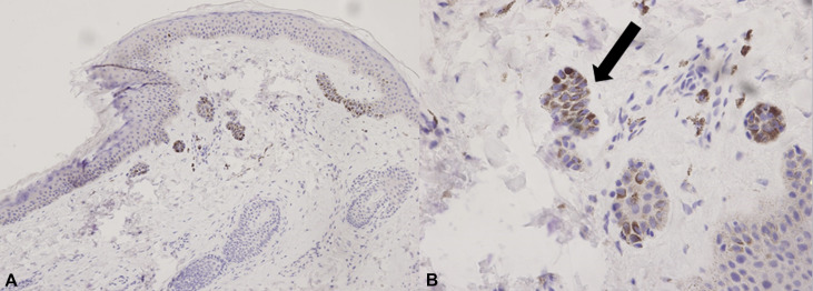
病例四:患者为63岁的韩国男性,伴有5年持续性眼睑肿胀且轻度瘙痒感病史。除双侧眼睑肿胀外,未发现皮肤损伤。对左上眼睑进行皮肤活检。组织病理学分析显示胶原束间无定形物质沉积,真皮上部伴有血管周围淋巴细胞浸润。Alcian蓝和促甲状腺激素染色结果均为阳性,其中促甲状腺激素染色显示出强阳性结果(图4,a和B)。根据临床和组织学表现,考虑甲状腺眼病并进行甲状腺自身抗体检测。实验室检查未发现甲状腺自身抗体,甲状腺功能检查结果正常,诊断为甲状腺功能正常眼病。

图4 组织病理学检测结果
病例五:患者为78岁韩国女性,伴有2个月的双侧眼睑持续肿胀史,没有皮肤损伤,之前被诊断为过敏性接触性皮炎,使用泼尼松龙和抗组胺药治疗6个月,未出现好转。之后进行甲状腺功能和自身抗体检测,甲状腺过氧化物酶抗体呈阳性,甲状腺功能检测结果正常,最终被诊断为甲状腺功能正常眼病。
病例分析
5名患者的临床特征见表1。其中4名患者接受了Alcian蓝和促甲状腺激素染色的眼睑皮肤活检。所有5名患者均出现眼睑肿胀,其中1名伴有瘙痒。病例1患者伴有眼球突出
、眶周肿胀和眼球运动受限,接受了眼部磁共振成像,证实眼外肌肉和软组织肿胀。上眼睑组织病理学检查显示,所有患者均伴有真皮胶原纤维间的黏蛋白沉积以及淋巴细胞浸润,但不影响表皮。病例4患者经促甲状腺激素染色活检显示促甲状腺激素受体的过度表达。5名患者中有4名甲状腺功能检查结果为正常,另外1名为亚临床甲亢。此外,病例5患者伴有TPO阳性,甲状腺功能正常。
表1 病例的临床特征汇总

讨论
甲状腺眼病是一种复杂的眼眶炎症,可表现出从眼睑肿胀到视力受损等多种症状,由眶后炎症引起,其中已知促甲状腺激素受体抗体
和胰岛素
样生长因子-1抗体对于疾病的发展起到了重要作用,其中促甲状腺激素受体抗体刺激脂肪生成,胰岛素样生长因子-1抗体通过激活T细胞引起组织肿胀。
甲状腺眼病的诊断依据主要包括3点——甲功异常,甲状腺自身抗体呈阳性以及至少表现出2种眼部症状。如果患者甲功正常,甲状腺自身抗体呈阴性,诊断就面临更多挑战,容易出现漏诊。
有越来越多的报告描述了甲功正常状态下以及甲状腺自身抗体呈阴性的甲状腺眼病,因此又被称为甲功正常的甲状腺眼病。但由于缺乏诊断标准,医生只能根据临床眼科检查
所显示的眼部症状(眼球运动困难、眼睑退缩和影像学异常)来予以判断,但这些症状大多没有特异性,并且并不严重。多项研究表明,甲功正常眼病患者多以单侧受累(79.2%)、下眼外肌受累(25.0%)和轻度软组织炎症为特征,此外,肿胀和眼睑退缩是最常见的症状。
我们报告了5例眼部肿胀和瘙痒的患者,对其中4例进行了皮肤活检,发现这4名患者均伴有皮肤黏蛋白增多症。
在组织病理学上,甲状腺皮肤病(包括甲状腺眼病)可表现为皮肤黏液增多症,因此,经活检证实的皮肤黏液增多症可能有助于甲功正常眼病的诊断(其他黏液沉积疾病,如皮肤狼疮黏蛋白病和环状肉芽肿等应予以排除)。除了皮肤黏液增多症外,先前的一份报告还描述了促甲状腺激素受体在甲状腺相关皮肤病中出现过度表达,与本文病例4患者相似。
由于缺乏明确的诊断标准,并且症状不明确,导致诊断困难,有可能造成治疗延误,患者可能会进一步发展为严重眼部症状,如眼球突出、眼部肌肉和软组织结构改变。一旦出现严重症状,甲状腺眼病的治疗将更加困难,并有可能导致其他并发症。因此,对于甲功正常眼病的早期发现,对于预后的改善具有重要意义,而经活检证实的皮肤黏液增多症和促甲状腺激素受体的过度表达可能是有价值的诊断线索。
本文小结
如果患者出现了长期的眼部症状(如眼睑肿胀和瘙痒),并且常规治疗效果不佳,有必要考虑甲状腺眼病的可能性,推荐进行皮肤活检、甲状腺功能和自身抗体检测。在排除其他可能的原因后,经活检证实的皮肤黏蛋白增多症增加了甲功正常眼病的可能。对于此类疾病的早期诊断,可以延缓眼病进展,降低永久性并发症的风险,从而提高患者的生活质量。
医脉通编译整理自:Ki-Hun Kim,Sang-Myung Park,Woo-Young Sim,et al.Review of thyroid eye disease in euthyroid state with periocular mucinosis[J].JAAD Case Rep.2020,6(4):329-333.