
未经治疗的类风湿关节炎引起的并发症——RA-ILD
医脉通编译整理,未经授权请勿转载。
病例资料
患者女性,69岁。既往有充血性心力衰竭伴射血分数保留、肝硬化、癫痫
、类风湿关节炎(未经治疗)病史。主因呼吸急促进行性加重于急诊就诊。患者呼吸急促在用力时加重,与疲劳、每日几次的持续数分钟的干性间歇性咳嗽
和腹胀增加相关。患者呼吸困难
与体位
改变无关,不影响睡眠,且否认日间困倦或夜间打鼾,自述症状在过去1个月内逐渐恶化。
入院初步评估发现,患者存在心动过速,氧饱和度87%,随后经鼻导管吸氧。体格检查发现患者腹部饱胀,双下肢水肿
,听诊双肺底部湿罗音。
初始心电图
检查显示窦性心动过速。超声心动图
显示左室射血分数正常,轻度三尖瓣反流,重度肺动脉高压,右室收缩压
估计为66mmHg。
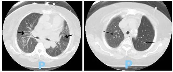
X线检查显示双侧肺部阴影,胸部CT(图1)检查提示间质性肺疾病伴有间质增厚,支气管扩张并形成蜂窝状。

(图1 胸部CT检查
)
经呼吸科专家建议进行风湿病相关检查查找病因,患者抗核抗体(ANA)滴度升高,类风湿因子
升高,环瓜氨酸(CCP)抗体强阳性(表1)。
表1 实验室检查

上述结果提示患者为类风湿关节炎相关性间质性肺病(RA-ILD)。患者着丝粒抗体升高,开始应用强的松6mg/d和支气管扩张剂治疗,待其缺氧症状得到改善后出院。随后接受肺病专科以及风湿病专科医生随访。
分析讨论
类风湿关节炎与包括肺病在内的多种关节外表现相关,间质性肺病是RA的肺部表现之一。RA相关间质性肺病(RA-ILD)以及肺部并发症占RA患者死亡率的10%-20%。RA-ILD不是单一类型的ILD,而是由一系列具有不同临床表现的病理组织类型组成的。最常见的是寻常型间质性肺炎和非特异性间质性肺炎,患者发病年龄一般在50-60岁之间,男性多于女性。未受控制的RA以及吸烟史发展为RA-ILD的主要危险因素。
RA-ILD的症状可从无症状到快速致命性急性间质性肺炎。通常情况下,症状会隐匿地发展,可导致劳累性呼吸困难以及无痰干咳。RA-ILD以活动时呼吸困难为主要症状,呈渐进性加重特点,体征早期双肺底可闻及吸气末细小的干性爆裂音或VeIcro啰音,晚期还可出现杵状指,肺动脉高压和肺心病体征,高分辨率CT(HRCT)检查以弥漫性结节影、磨玻璃样变、肺泡实变、小叶间隔增厚、胸膜下线、网格影伴囊腔形成或蜂窝状改变为主要特点,常伴牵拉性支气管扩张或肺结核
改变,肺功能以限制性通气功能障碍和气体交换障碍为特征。RA-ILD患者肺功能以限制性通气障碍、弥散功能降低为主,常伴低氧血症和Ⅰ型呼吸衰竭。
RA-ILD的管理需要由多学科团队共同完成,需要治疗潜在的RA。轻度患者需要临床监测,而症状性疾病则需要应用糖皮质激素
和/或免疫抑制剂进行治疗。如患者吸烟,则戒烟非常重要,因其为可预防的主要危险因素。在疾病的治疗中,区分RA-ILD和ILD的其他病因也是非常重要的,RA-ILD的治疗依赖于RA的控制。本例患者的特殊表现可能是由于其ILD导致肺动脉高压,然后引起右心衰,也可能导致了肝硬化。患者入院时提示的严重肺动脉高压很可能继发于RA-ILD,胸部CT检查也提示ILD,类风湿因子、抗CCP等类RA相关实验室指标升高提示患者的RA是一种活动性疾病。
本例RA-ILD患者提示,对于出现呼吸急促恶化,尤其是既往患有RA的患者,在鉴别诊断中需要考虑RA-ILD。RA-ILD的预后一般取决于患者的组织病理亚型和肺部的损伤程度,因其为导致RA患者死亡的主要原因之一,因此遵守对该病的管理非常重要。
参考资料:
1.Ruggiero R A, Iqbal Q Z, Zia Z, et al. (October 21, 2020) A Case of Rheumatoid Arthritis-Associated Interstitial Lung Disease - An Unfortunate Complication of Untreated Rheumatoid Arthritis!. Cureus 12(10): e11074. doi:10.7759/cureus.11074.
2.顾雯靓,刘毅,牛晓亚.RA-ILD合并感染病例报告.亚太传统医药.2017.13(15):105-107.