
全身多部位结外非霍奇金淋巴瘤多模态显像1例
作者:李波良,张俊,戴春雷,盛强,姚圣华,金民山,姜一逸,王逸超,江苏省泰州市人民医院核医学科
患者男,18岁。主因“恶心呕吐1月,头晕头痛
5天”于2017年3月21日就诊我院。患者就诊前1月餐后出现恶心呕吐症状,服药后症状好转,未予重视,5天前患者出现头晕头痛症状,呈持续性,并伴有低热,1月内体重减轻15kg。患者既往身体健康,否认其他疾病史。
体格检查:体温37.7℃,脉搏
82次/min,血压114/76mmHg。皮肤、巩膜无黄染,体表未触及肿大淋巴结,心肺听诊无异常,腹部稍隆起,无肌卫、无压痛。实验室检查结果(括号内为正常值范围):白细胞11.19×109/L(3.5~9.5),血红蛋白
119g/L(130~175);总胆红素230.7umol/L(5.1~26),直接胆红素126.6umol/L(0~6.8),间接胆红素
104.1umol/L(0~18.2),谷丙转氨酶111U/L(9~50),谷草转氨酶118U/L(15~40),碱性磷酸酶1573U/L(45~125),乳酸脱氢酶417U/L(94~250),C反应蛋白44.30mg/L(0~5),尿常规
检查结果正常,AFP、CEA、CAl9-9、CAl25均正常。
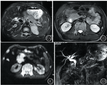
MRI上腹部检查(图1)示:胰腺弥漫性肿大,肝脏、双肾多发异常信号,T2呈稍高信号,DWI呈高信号,未见囊变、坏死;所示脊椎骨、胸廓组成骨DWI呈明显高信号;右中腹部肠管壁增厚,近端未见梗阻;MRCP示肝内外胆管未见明显梗阻。

图1A,1BT2WI示肝脏、胰腺、胃壁、左侧肾上腺病灶呈等高信号;图1CDWI示双侧肋骨、椎体、胰腺、双肾、肝脏病灶呈明显高信号;图1DMRCP示肝内外胆管未见扩张
结论:胰腺、肝脏、胃、双肾、右中腹部肠管、所示脊椎骨、及胸廓组成骨多发广泛异常信号,考虑为全身疾病所致,淋巴瘤不除外,建议进一步行PET-CT检查
。PET-CT(图2)示:盆腔糖代谢异常增高软组织肿块,最大截面约7.3cm×5.7cm,SUVmax=13.6,双肾、左侧肾上腺、胃壁、甲状腺、胰腺、肝脏多发糖代谢摄取异常增高的病变,SUVmax分别为7.9、8.4、5.3、11.2、10.3、10.5;全身骨骼弥漫性糖代谢摄取异常增高,SUVmax=11.2,不伴有明显骨质破坏征象;双侧额颞顶部脑膜增厚伴糖代谢增高,SUVmax=10.2,右侧额颞顶部硬膜下积液;左侧顶部皮下糖代谢异常增高结节,约1.2cm×1.5cm,SUVmax=13.7;右下腹部分肠管增厚伴糖代谢异常增高,近端肠管未见梗阻,SUVmax=11.2;左颈部、前上纵膈、腹膜后糖代谢增高淋巴结,大者约1.0cm×0.9cm,SUVmax=8.0。

图2PET-CT示:双肾、左侧肾上腺、胃壁、甲状腺、胰腺、肝脏多发糖代谢异常增高灶;全身骨骼弥漫性糖代谢异常增高;右下腹部分肠管增厚伴糖代谢异常增高;盆腔巨大糖代谢异常增高软组织肿块;双侧额颞顶部脑膜增厚伴糖代谢增高;腹膜后糖代谢增高淋巴结,左侧顶部皮下糖代谢异常增高结节
结合患者年龄比较小,全身侵犯严重,且全身病灶未见明显坏死,肠管增厚但未出现梗阻症状,考虑淋巴瘤,结外淋巴瘤(ENL)可能大,建议活检。随后患者根据PET-CT检查结果行胃镜检查
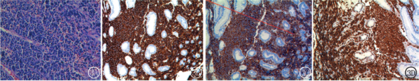
并活检,病理结果(图3)示:NHL(非霍奇金淋巴瘤
),考虑Burkitt淋巴瘤或弥漫大B细胞淋巴瘤
。免疫组化:LCA+、CD20+、CD79a+、CD10+、BCL-6+/-、CD99-、CD2-、CD5-、CD3-、CyclinD1-、TdT-、CD1a-、CKpan-、EMA-、CD56-、S-100-、P53-/+、MP0-、Ki67阳性指数大于95%。

图3病理及免疫组化图(×200)图3AHE染色。图3BCD20+。图3CCD10+。图3DKi67阳性指数大于95%
讨论:结外淋巴瘤(ENL)最早由Issacsson在1983年首次提出,是指发生于淋巴结以外的淋巴组织(如扁桃体、脾脏等)或无淋巴组织的器官(如胃、肾、骨骼等)的淋巴瘤。其病理类型以NHL为主,常见为B细胞型,T细胞型次之,HL极少见。ENL分布广泛,几乎可以发生于全身各个部位,可以同时累及2个或更多的器官。
发病部位以胃肠道最多见,其他好发部位包括头颈部、眼眶、中枢神经系统、肺、皮肤、骨骼、肾等,胰腺、肾上腺、乳腺、甲状腺、性腺等受浸润少见。本病例出现12个组织器官同时受累,且侵犯范围如此之广,实属罕见。由于结外淋巴瘤可以发生于全身各个部位,往往诊断比较困难,经常出现误诊。
尽管如此,我们还是可以找到一些共性的影像学表现。结外淋巴瘤以单一细胞为主堆积,形成软组织团块,团块内细胞密集程度高,富含液体的间质成分少,因而肿瘤密度相对均匀,坏死、囊变少见。CT表现为与肌肉密度相仿的软组织肿块,密度均匀。MRI表现T2WI呈等低或略高信号,DWI多呈高信号表现。
动态增强一般呈轻至中度进行性延迟强化。本文病例受累组织器官多,且侵犯范围大,而病灶未见明显囊变坏死,与淋巴瘤影像表现一致;肿瘤由于呈塑形样生长,质地较软,一般不引起梗阻症状,本文胰头与肠管的病灶未引起胆道及肠管的梗阻征象,是淋巴瘤的特征性表现,同样也是与胰头癌、肠癌的鉴别要点之一;PET-CT是一种将解剖与代谢显像融合的技术,通过一次检查便可以获取全身的功能影像、解剖影像及融合图像等信息。
Even-Sapir等研究结果显示,PET-CT对结外淋巴瘤的敏感性为88%,特异性为100%。PET-CT全身显像
对ENL的辅助诊断、分期、活组织检查的指导等都有重要意义,能够评估全身各组织器官的受累情况,显示病变侵犯程度、形态和分布。Jang等研究显示FDGSUVmax是评估复发/难治性弥漫大B细胞淋巴瘤预后的有力指标。王瑞民等研究显示SUVmax>8.77是影响患者PFS及OS的独立预后不良因素。
本文患者受累组织器官多,糖代谢增高明显,SUVmax达到13.7,且全身骨髓弥漫性受侵,临床分期达到Ⅳ期,是疾病进展的标志,治疗效果一般较差,提示患者预后不好,且病理免疫组化指标Ki67阳性指数大于95%,同样提示预后差。后期随访了解到,患者化疗后病情反复发作数次,出现急性肾衰竭,肠道出血等多发症状,后期第二次PET-CT检查发现双侧小脑半球也受到侵犯。
综上所述,全身多部位ENL临床表现复杂,通过将多种影像技术联合,全方位诊断具有重要意义。
来源:李波良,张俊,戴春雷,盛强,姚圣华,金民山,姜一逸,王逸超.全身多部位结外非霍奇金淋巴瘤多模态显像1例[J].医学影像学杂志,2021,31(01):172-174.