结肠梗阻的罕见原因,你能准确诊断吗? | 病例学习

来源:医脉通 2022.01.10
我要投稿

医脉通编译整理,未经授权请勿转载。


导读


本文报道了1例由罕见病因引起的结肠梗阻病例。


病例资料


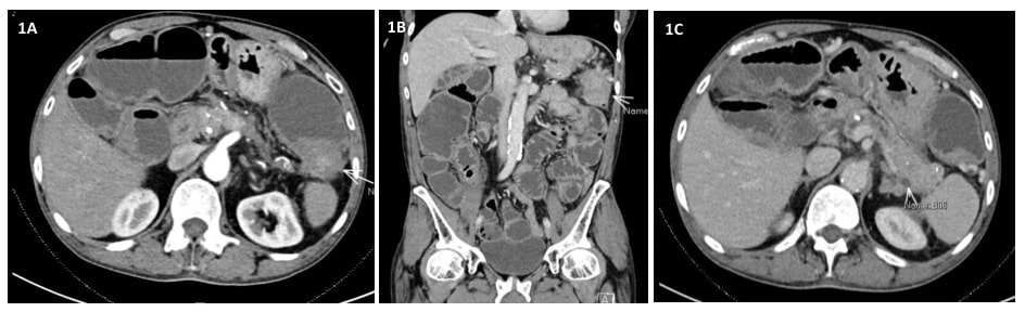
1例老年男性因上腹绞痛1周,伴非胆汁性呕吐和非血性腹泻就诊。患者有高血压、2型糖尿病、慢性酒精中毒伴复发性胰腺炎和长期正色性正常红细胞性贫血病史。显示上腹部压痛,无其他腹膜炎体征。显示白细胞计数正常,为8.17 x 103/µl(正常范围4-11 x 103/µl),肝功能检查正常。脂肪酶为81 U/L(正常范围24-151 U/L),血清癌胚抗原(CEA)为4.9 U/L(正常范围<3 U/L)。图1显示了腹部和骨盆CT扫描的结果。


图片1.png

图1


行软式乙状结肠镜检查加内镜下支架置入术(图2)。


图片2.png

图2


在术后第1天和第2天,重复进行X线检查以评估支架置入情况(图3)。


图片3.png

图3


随后对患者行结肠切除术,组织病理学检查结果如下(图4)。


图片4.png

图4


可能的诊断是什么?


分析诊断


腹部和盆腔CT显示脾曲周围有一段环周狭窄伴壁增厚、肠袢近端扩张和慢性胰腺炎特征(图1A-C)。鉴于CEA升高和贫血,初步判断是由脾曲恶性肿瘤引起的肠梗阻。因此对患者行内镜下支架置入术(图2A-B)。但发生了早期支架移位(图3A-C),这种情况非常罕见。因此,患者在内镜下支架置入术后6天行早期腹腔镜下左半结肠切除术,以切除梗阻病变,防止支架移位造成再梗阻。


术中见结肠与胰腺脾曲处有致密纤维化,与慢性尾部胰腺炎一致。切除标本中无肉眼可见的腔内肿瘤证据(图4A)。切除标本的组织病理学未显示任何恶性肿瘤,但显示深裂性溃疡和结肠周围粘连伴肌肥大,提示慢性炎症(图4B-C)。因此,本病诊断为由慢性胰腺炎引起的脾曲良性狭窄,表现为“假性结肠癌”。


知识拓展:胰腺炎引起的结肠狭窄


胰腺炎引起的结肠狭窄伴大肠梗阻是一种罕见的并发症,全球报道的病例少于30例。最常见的狭窄部位是脾曲,因为胰尾和脾曲之间存在密切的解剖关系,并且是血管分水岭区域。一项纳入296例急性胰腺炎患者的研究显示,有6.1%的患者出现结肠并发症。其他可能累及的部位包括横结肠和降结肠。


对于胰腺炎引起的结肠狭窄,如果术前已明确胰腺炎是结肠狭窄的原因,那么结肠狭窄的择期手术应推迟。如果结肠狭窄的诊断是在胰腺炎术中明确的,应避免切除狭窄肠段,可解除粘连,以防止致密性狭窄的形成,再取活组织检查并行腹腔引流。经过保守性手术后,狭窄未能解除者,再行第二次有计划的择期性手术。


参考文献:

[1] Lim X, Koh FH, Tan WJ. An implicated innocent by-stander - An uncommon cause of colonic obstruction[J]. Gastroenterology. 2021 Dec 24:S0016-5085(21)04162-7. doi: 10.1053/j.gastro.2021.12.266.

[2] 潘华, 范学良, 周俊元. 急性胰腺炎的结肠并发症(文献综述)[J]. 国外医学.外科学分册, 1988(05):269-272.