
颅内蛛网膜囊肿致典型三叉神经痛1例
作者:张施远,遂宁市中心医院神经外科
1.病例资料
49岁女性,因反复出现阵发性右面部疼痛5个月入院。主要为鼻唇沟到下颌角区域尖锐的放电样疼痛。常在吃饭或者刷牙时出现,数分钟后可以自行缓解。疼痛发作频率从开始时的每日数次发展到每日数十次,并且口服卡马西平片
的剂量已经达到0.6g/d,症状仍不能明显缓解。入院体格检查未见神经系统阳性体征。
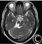
入院后头颅MRI平扫+磁共振断层血管成像检查,显示右侧三叉神经根部有一个囊性病灶,明显侵蚀脑干,T1像呈低信号,T2像呈高信号,无明显增强(图1)。


图1蛛网膜囊肿致典型三叉神经痛
MRI表现。A.冠状位T1像增强示病灶位于右侧桥小脑角区,呈低信号,无明显强化;B、C.轴位T2像示囊肿呈脑脊液信号,位于三叉神经根部,明显压迫桥脑上部和中脑
初步诊断考虑为继发性三叉神经痛;桥小脑角区蛛网膜囊肿?完善手术准备后行开颅手术治疗。显微镜下探查右侧桥小脑角区确定病灶性质为蛛网膜囊肿,囊肿明显压迫三叉神经根部,切除大部分囊壁后,仔细探查三叉神经根部出入脑干区(root entry zone,REZ)未发现明细的责任血管。术后面部疼痛完全缓解,随访1年,无复发。
2.讨论
尽管三叉神经根部REZ的血管压迫是三叉神经痛最常见的原因,但多发性硬化
、颅后窝肿瘤、颅后窝囊肿、动脉硬化、外伤等也可导致三叉神经痛。蛛网膜囊肿大多数位于侧裂区、枕大池区、鞍上区等,桥小脑角区少见。大部分蛛网膜囊肿长期稳定,但是部分囊肿可能会增大,原因可能有:囊内壁细胞分泌脑脊液活跃;囊肿液蛋白质浓度较高,导致囊壁内外侧出现渗透梯度;囊肿通过单向活瓣的机制与蛛网膜下腔相通,吸引囊外的脑脊液进入囊内。
大多数囊肿是偶然发现的并且没有症状,少部分囊肿可能会导致颅内压增高
或压迫周围神经而引起症状,但蛛网膜囊肿压迫三叉神经根部而引起典型三叉神经痛少见。本文病例术前MRI未发现三叉神经根部有明确的责任血管,因此考虑桥小脑角区囊肿压迫所致;术中探查也发现三叉神经根部单纯受囊肿的压迫,并且出现明显的压痕,三叉神经REZ未发现可疑的责任血管。
蛛网膜囊肿的外科处理方法不一,目前较为常见的方式为单纯囊肿开窗术、脑室造瘘术、囊肿-腹腔分流术、囊肿开窗术+分流术等。应根据囊肿的部位、大小以及是否合并其他症状而采取个体化处理方式。本文病例因囊肿位置较深,并且较小,因此我们仅行囊肿开窗术,术后面部疼痛症状即刻消失,并且随访1年无复发。
来源:张施远.颅内蛛网膜囊肿致典型三叉神经痛1例[J].中国临床神经外科杂志,2021,26(03):221.