
肺炎支原体感染的一种罕见肺外表现 | 病例分享
医脉通编译整理,未经授权请勿转载。
病例资料
患者女性,41岁,既往体健。主因突发性上腹部剧烈疼痛伴恶心、呕吐5小时于急诊就诊。疼痛强度为8/10,向背部放散,同时伴有恶心和两次非血性呕吐。患者自述在就诊前3天曾出现咳嗽
、发热
和轻度呼吸困难
,并服用了对乙酰氨基酚
,但症状并未缓解。既往无吸烟、饮酒和药物滥用史,无旅行以及传染性疾病接触史以及近期创伤史。
入院时患者神志清楚,呈现脱水状态。体温 37.8℃,呼吸频率 21次/min,血压 110/75mmHg,心率 95次/min。腹部触诊显示上腹压痛,未发现器官肿大迹象;听诊心肺未见异常。初步实验室检查结果除血清脂肪酶和淀粉酶
升高(分别为1821IU/L,553IU/L)外,其余未见异常。
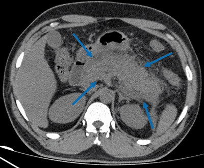
腹部超声检查未发现任何胆管扩张、胆石症或胆囊炎征象。腹部CT
检查显示胰腺肿胀,边界不清,与急性胰腺炎
诊断一致(图1)。随后患者接受静脉补液、镇痛、止吐等支持性治疗措施。

(图1 腹部CT检查)
入院第2天,患者报告呼吸系统症状恶化,胸部听诊出现吸气性爆裂音。胸部X线检查显示片状间质浸润;胸部CT检查
显示双肺弥漫性浸润和实变(图2)。

(图2 胸部CT检查)
血液培养和聚合酶链反应(PCR)结果显示流感、副流感以及冠状病毒均为阴性。HIV、甲型肝炎、乙型肝炎、丙型肝炎以及鹦鹉热衣原体的感染性检查和血清学检测均为阴性。肺炎支原体
血清学检测显示IgM滴度升高(33UA/ml),与近期感染一致。血清冷凝集素滴度阳性。
患者最终诊断为急性胰腺炎和肺炎支原体引起的弥漫性间质性肺炎(DIP)。随后接受克拉霉素
和支持性治疗,每日监测淀粉酶和脂肪酶水平。在接下来的3-4天内,患者的呼吸和腹部症状均有效改善。
分析讨论
急性胰腺炎(AP)是一种炎性症疾病,是胃肠道疾病住院的主要原因,且具有致命性。多数患者的上腹部放射性疼痛会放射至背部,疼痛剧烈通常无法忍受。我国AP的常见病因为胆源性、高甘油三脂血症性(HTG)和酒精性。其他少见病因包括外伤性、药物性、感染性、遗传性、高钙血症
、自身免疫、肿瘤、内镜下逆行胰胆管造影术(ERCP)术后胰腺炎(PEP)等,无法找到病因者可称为特发性AP。感染性的原因比较罕见,可包括单纯疱疹病毒、麻疹病毒、水痘带状疱疹病毒
、腮腺炎病毒、沙门氏菌、支原体和军团菌。由肺炎支原体引起的胰腺炎的表现可由
无症状胰腺炎到急性坏死性胰腺炎。
支原体肺炎
能产生广泛的肺外表现,几乎可以影响到每个器官。肺炎支原体感染引起急性胰腺炎损伤的病理生理学机制尚不明确。目前提出了一些机制,即肺炎支原体可通过血液传播至远处,并在局部感染部位诱导炎症性细胞因子释放,从而引起直接的肺外表现;肺炎支原体和免疫细胞之间的免疫反应导致免疫系统激活,也可能在细胞表面表达糖脂和糖蛋白而触发炎症反应,导致间接胰腺损伤。肺炎支原体感染引起肺外病变的另一个机制可能是血管炎或血栓形成,伴或不伴全身凝血级联激活,进而导致胰腺损伤。
符合以下3项中的2项即可诊断急性胰腺炎:①腹痛符合急性胰腺炎特征。②血清淀粉酶和(或)脂肪酶浓度至少高于正常上限值3倍。③腹部影像学检查结果符合急性胰腺炎影像学改变。本例患者并发急性胰腺炎和肺部感染,强调了肺炎支原体与胰腺炎之间的可能联系,这一证据得到了临床、血清学和影像学检查的支持。此外,患者的间质性肺炎和急性胰腺炎在开始抗生素治疗后迅速好转。尽管罕见,肺炎支原体可引起肺外表现,包括急性胰腺炎。在没有其他病原体的情况下,肺炎支原体应被视为急性胰腺炎感染病因的鉴别诊断。
参考资料:
1.Khan HRA, Singh A,et al. Acute Pancreatitis: An Unusual Extrapulmonary Manifestation of Mycoplasma pneumoniae. Cureus. 2022 May 16;14(5):e25052.
2.中华医学会外科学分会胰腺外科学组. 中国急性胰腺炎诊治指南(2021)[J]. 中国实用外科杂志, 2021,41(07):739-746.
3.杨美思,于少飞.肺炎支原体感染及肺外表现的发病机制[J].内蒙古医学杂志,2021,53(04):446-449.