
谁是导致肝硬化的真正凶手? | 病例实战
作者:王琦 邵鸣 肖玉珍 山西省永济市肝胆胃病专科医院
本文为作者授权医脉通发布,未经授权请勿转载。
病例资料
患者,宋某,女,42岁,山西籍人,主因“查出肝硬化20年,乏力、纳差、腹胀10天”2021年3月6日就诊于我院。
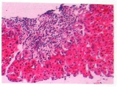
现病史:患者于20年前(2001年3月份)因肝功能异常查出肝硬化腹水,在我院住院治疗半月好转出院。2004年因肝硬化脾脏肿大、脾功能亢进,在我院行脾脏切除加门奇静脉断流手术后,病情有所好转。病毒性肝炎甲、乙、丙、丁、戊型标志物均阴性,建议其做肝穿刺活检,以明确病因,患者拒绝。2008年2月11日查胃镜:①食道静脉中度曲张、红色征(+),②门脉高压性胃病,在我院内镜下行食管静脉套扎治疗。自身免疫性肝病抗体结果:ANA弱阳性 斑点型,SMA、AMA、AMA-M2、LKM、LKM-1、LC-1、抗Ro-52、抗3E(BPO)、抗Sp100、抗PML、抗gp210、ASMA、抗肝抗原、SLA/LP:均为阴性。在彩超引导下行肝脏穿刺活检术,病理标本送中日友好医院病理科。病理结果回报:肝穿组织内汇管区扩大,部分纤维化相连成纤维隔,分隔肝实质。汇管区内轻-中度慢性炎细胞浸润,多数汇管区炎灶内或小动脉旁纤维化区缺小胆管,易见散在或灶状聚集的D-PAS+的吞噬细胞。汇管区周围肝细胞明显胆盐淤积,可见Mallory小体(提示有慢性胆汁淤积)。肝小叶内散在少数小坏死灶,Kupffer细胞增生活跃,并可见D-PAS(+)吞噬细胞呈灶状聚集。病理诊断:(肝穿)肝内胆管缺乏综合征,肝纤维化,III期。与病理科会诊,诊断为:自身免疫性胆管炎。肝穿图如下:

网状纤维染色,放大100倍

HE染色,放大200倍
20年来肝硬化病因一直未明,肝功生化主要指标波动范围:TBil 20.2~79.0umol/L,ALT 53.6~138U/L,AST 87~169U/L,ALP 360~610U/L,GGT 140.2~393U/L,Alb 18.0~35.8g/L。2009年至今,因肝功能异常、反复腹水、胸水在我院多次住院治疗,给予保肝、退黄、排放腹水、排放胸水、输注白蛋白、血浆、熊去氧胆酸胶囊、钙剂、托伐普坦、利尿等治疗。10天前觉乏力、纳差、腹胀,症状逐渐加重,无皮肤瘙痒、腹痛,大、小便正常。来我院就诊,门诊以“①肝硬化失代偿期②肝损害原因待查?”2021年3月10日收入我科。
既往史:否认伤寒、结核等传染病史。无外伤史,2004年有输血史,多次输注血浆、白蛋白。否认药物过敏史及中毒史。
个人史:16岁初潮,经期5-7天,周期28-30天,37岁绝经。20岁妊娠,自然流产1次。
婚育史:适龄结婚,无生育史。
家族史:其母亲50岁体检发现胆囊结石,55岁行腹腔镜胆囊摘除术。
体格检查:生命体征平稳,神志清,肝病面容。巩膜轻度黄染,黄斑瘤(+),K-F环(-)。蜘蛛痣(+)、肝掌(+)。全身浅表淋巴结未触及肿大。甲状腺无肿大。肺(-)。心率:90次/分,心律齐,各瓣膜听诊区未闻及杂音,未闻及心包摩擦音。腹部膨隆,可见腹壁静脉重度曲张,左侧腹部可见一长13cm的陈旧性手术瘢痕。腹软,无压痛、反跳痛及腹肌紧张。肝脏肋下未触及,肝区叩击痛(+)。波动感(+),移动性浊音(+)。双下肢无色素沉着、静脉曲张。双下肢水肿(+)。生理反射存在,病理反射未引出。

眼部黄斑瘤

腹壁静脉重度曲张
辅助检查:TBil 37.2umol/L,DBil 17.5umol/L,IBil 19.7umol/L,ALT 105U/L,AST 180U/L,ALP 501U/L,GGT 258U/L,ChE 2100.0U/L,TP 58.5g/L,Alb 31.0g/L,BS 4.52mmol/L。TBA 45.4umol/L。血脂8项:TC:5.90mmol/L,余正常。血常规:WBC:6.5×109/L,RBC:4.30×1012/L,Hb:125.0g/L, PLT:123.00×109/L。甲、乙、丙、丁、戊、庚型肝炎标志物均阴性,抗HIV(-)、RPR(-)、EB病毒(-)、巨细胞病毒(-)。肾功能、电解质均正常。CK、CK-MB:正常。凝血系列:PT:16.20Sec,余正常。血清铜、铜蓝蛋白、血清铁、铁蛋白、转铁蛋白饱和度:正常。自身免疫性肝病抗体:AMA-M2、LKM、LKM-1、LC-1、抗Ro-52、抗3E(BPO)、抗Sp100、抗PML、抗gp210、抗肝抗原SLA:均为阴性。抗核抗体:核颗粒型(1:80),抗线粒体抗体:阴性;抗平滑肌抗体:阴性。免疫球蛋白三项:IgA:5.70g/L,IgG:21.70g/L,IgM:1.24g/L;IgG4:0.117g/L。甲状腺功能:正常。AFP:15.0IU/ml;CEA:4.50ng/ml;CA-125:30.0U/ml;CA-199:35.0U/ml;肝纤维系列:HA:130.0ng/ml,CG:16.0ug/ml,余正常。尿11项:胆红素:+1,余正常。粪常规、潜血:正常。心电图、胸片:正常。腹部彩超:①肝硬化脾脏切除术后、大量腹水。②胆囊结石、继发性胆囊改变。MRCP结果:肝硬化、腹水、门脉高压;胆囊结石、胆囊炎;腹壁皮下静脉曲张。
初步诊断:①肝硬化失代偿期 ②低蛋白血症 ③腹腔积液 ④门脉高压性胃病 ⑤胆囊结石 ⑥肝损害原因待查?
临床上引起肝功能异常的原因很多,在我国最常见的还是以病毒性肝炎、酒精、药物、肥胖等为主,此患者病毒性肝炎(甲~庚型肝炎阴性)已排除。病毒性肝炎导致的肝硬化不考虑,酒精、药物、化学毒物导致的肝硬化不考虑,肝豆状核变性、血色病导致的肝硬化不考虑,心源性肝硬化不考虑,肝功能异常、肝硬化,是否另有原因?患者22岁就已经是肝硬化了,再来看肝功能,我们发现微细胆管酶(ALP、GGT)明显增高,自身免疫性肝病相关抗体阴性,是AMA阴性的PBC吗?在疾病的不同阶段,自身免疫性肝病相关抗体也是会变化的。完善基因检测,进一步明确导致肝硬化的原因。
基因检测结论:检测到可以解释患者表型的疑似致病变异。
在本例患者的测序数据中,检测到ABCB4基因的杂合变异,ABCB4基因的致病变异可导致进行性家族性肝内胆汁淤积症3型(PFIC3)、妊娠期肝内胆汁淤积症3型和胆囊疾病1型,胆囊疾病可呈常染色体显性或隐性遗传,主要临床表现为慢性胆汁淤积,肝内淤泥,胆固醇结石症,胆囊炎等,通常于40岁之前发病,怀孕期间或口服避孕药可导致疾病症状加重,该病对熊去氧胆酸的治疗表现出良好的反应。本例患者的临床表现与上述疾病较为符合。现通过对患者父母相应序列进行Sanger测序验证,检测到母亲携带相同的杂合变异。
最终诊断:①进行性家族性肝内胆汁淤积症3型(PFIC3) ②低蛋白血症 ③腹腔积液 ④门脉高压性胃病 ⑤胆囊结石
治疗:给予保肝、退黄、抗感染、排放腹水、输注白蛋白、熊去氧胆酸胶囊、钙剂、托伐普坦、利尿等支持对症治疗,症状好转出院。
讨论
进行性家族性肝内胆汁淤积症(progressive familial intrahepatic cholestasis,PFIC)是一组罕见的异质性常染色体隐性遗传病,涉及胆汁酸形成及分泌各个环节,依据其基因突变类型不同分为PFIC 1-6型,随着基因诊断技术的发展,更多新的突变基因被鉴定出来,如 ABCC12、VPS33B等,使诊断和治疗更加精准化。PFIC临床以进行性的黄疸和瘙痒、不同程度生长发育障碍、脂溶性维生素缺乏为特点,除PFIC3外,其他各型PFIC血清γ-谷氨酰转肽酶水平正常或大致正常,此点为临床诊断该病重要线索,但各型PFIC在发病年龄、病情轻重、肝外症状、预后等方面各有特点,随着病情的进展,最终发展为肝纤维化、肝硬化和肝功能衰竭。治疗包括营养、药物、非移植性手术治疗及肝移植[1]。
PFIC3是由ABCB4基因突变导致,该基因位于染色体7q21上,ABCB4基因编码多耐药糖蛋白(MRD3),几乎全部表达在肝细胞胆管侧细胞膜上,其功能是向胆汁中转运卵磷脂[2]。国内邓梅等[3]通过外显子组捕获测序及Sanger测序验证并报告了ABCB4基因的C.1006-2A>G及c.3580C>T(P.R1194X)2个新突变,扩展了ABCB4基因突变谱。PFIC3型患者发病早晚不一,从1个月-20.5岁不等,以婴幼儿发病多见。婴儿多以黄疸、瘙痒、白陶土便为首发症状,且常在儿童期就进展为肝硬化,须接受肝移植;而年龄相对较大的儿童常以肝脾肿大、胃肠道出血等肝硬化及门脉高压表现为首发症状,多经药物治疗后病情得到改善[4]。
随访:患者目前口服熊去氧胆酸胶囊(UDCA)250mg,3次/日,托伐普坦片15mg/日,呋塞米片40mg/日,螺内酯片100mg/日,碳酸钙D3片1片/日。2021年4月份之后出现肝性脑病10余次,给予抗昏迷、对症等治疗,病情好转。2022年12月25日患者因肝性脑病亡故。
展望:基因诊断是PFIC诊断金标准,但仍有大约50%的患者没有获得确切的基因诊断。随着基因诊断技术的发展,越来越多的新的突变基因被鉴定出来。
临床上对于不明原因的肝硬化,应及时行肝穿刺活检术、基因检查,以明确病因,利于疾病诊断及治疗。早诊断、早治疗对于控制病情、改善症状、控制并发症极其重要。
参考文献:
[1] 许玲芬,孙梅.进行性家族性肝内胆汁淤积症.中国小儿急救医学,2020,27(7):490.
[2] van der Woerd WL,Houwen RH,van de Graaf SF,er al.Cur-rent and future therapies for inherited cholestatic liver diseases[J].Word J Gastroenterol,2017,23(5):763-775.
[3] 邓梅,郭丽,宋元宗.一例进行性家族性肝内胆汁淤积症3型患儿的临床及遗传学分析[J].中华医学遗传学杂志,2018,35(5):686-690.
[4] 许玲芬,孙梅.进行性家族性肝内胆汁淤积症.中国小儿急救医学,2020,27(7):492.