右冠状动脉多发瘤样扩张伴右冠状动脉瘤-右房瘘一例

来源:放射学实践 2023.02.21
我要投稿

作者:蒋启红,肖波,任勇军,廖琴,刘中百,川北医学院附属医院放射科

 

1.病例资料

 

患者,女,48岁,入院前6年余,患者活动后开始出现心累、气促、感心跳加快、四肢无力,休息可缓解,夜间能平卧。曾于当地镇医院就诊,症状有好转,期间仍有反复,性质同前。入院前半年,患者症状及出现次数较前增多,感心跳快,休息后可缓解,偶有双下肢水肿、偶咳嗽、偶白痰(量少),曾于外院就诊,心电图提示心率快(具体不详),建议手术,患者因自身原因未入院。

 

入院前2天受凉,症状加重,为求进一步诊治,于我院就诊。查体:心前区无隆起,心尖搏动位于第5肋间左锁骨中线外,未触及震颤,心界向左扩大;心率129次/分,律齐,心音正常;胸骨左缘第3、第4肋间、心尖部可闻及收缩期杂音。

 

超声检查:全心增大;右冠状动脉起始段呈瘤样扩张,较宽处约18mm,显示长度约21mm,远端似可见血流汇入右房,血流束宽约6mm,频谱可探及连续性分流血流信号,速度约2m/s;室间隔运动幅度减弱;舒张期二尖瓣口血流频谱:E峰/A峰>1,TDT:e/a>1;三尖瓣可探及反流血流信号达右房顶部,反流面积约为16cm2,反流速度Vp:3.0m/s,PG:37mmHg,据此测肺动脉收缩压:PG:47mmHg,二尖瓣上可探及反流血流信号达左房中部反流,面积约为6cm2;左室收缩功能指标降低。

 

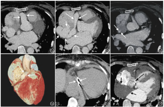
心脏及冠脉血管CT成像检查:全心增大,右冠状动脉起始段扩张增粗(图1a),于右心耳下方发出一支右冠状动脉沿右侧房室沟走行,增粗的右冠状动脉主干沿左、右心房之间走行至右侧房间沟前方、右房侧后方形成大小约4cm×6cm的瘤体(图1b),瘤体部分突出到右房并于顶端见一大小约7mm瘘口(图1c)。

 

左冠脉起自左冠状动脉窦,左冠脉前降支中远段局部走于心肌内,左冠脉前降支远段、对角支及左冠脉支中远段对比剂显影浅淡,管腔显示不清;右心室增大,肺动脉主干增粗,直径约3.7cm,左心房、左心室增大,双肺静脉增粗。初步诊断为扩张型心肌病,全心增大,心房扑动,心力衰竭,心功能Ⅱ-Ⅲ级(NYHA 分级),右侧冠状动脉瘤伴右房瘘,肺动脉高压,二尖瓣中度反流,三尖瓣重度反流。

 

综合考虑后于我院行手术治疗,手术经过:全麻成功后,患者取仰卧位,常规消毒铺巾,取前正中切口纵行锯开胸骨进胸,常规肝素化3mg/kg。行体外循环下冠状动脉瘘修补+冠状动脉探查+三尖瓣瓣环成形+心脏射频消融+左心耳结扎+心包纵隔引流术。

 

术中见:胸廓对称无畸形,胸骨骨质致密,心房扑动,全心增大,升主动脉正常,肺动脉增宽,心包腔少量积液;三尖瓣瓣环重度扩大,注水实验示中度关闭不全;左心耳未见血栓;右冠状动脉起始段扩张增粗,于右心耳处与心耳粘连,粘连下方再发出正常的一支右冠状动脉沿右侧房室沟走行,增粗的右冠状动脉主干沿左、右心房之间走行至右侧房间沟前方右房侧后方形成大小约4cm×6cm 的瘤体,瘤体部分突出到右房并于顶端见一大小约7mm瘘口。

 

经食道超声心动图探查:二尖瓣轻度反流,三尖瓣中-重度反流,右侧冠状动脉明显增粗,并追踪延续至右房侧后方形成冠状动脉巨大瘤体并瘘入右房。术后给予对症支持治疗,患者一般情况好,病情稳定,复查CT、血常规、电解质未见明显异常,心电图示窦性心律,手术愈合良好。出院诊断:①先天性心脏病:右冠-右房瘘,右冠状动脉瘤;②肺动脉高压,二尖瓣轻度反流、三尖瓣中-重度反流、心功能三级。

 1676934996583902.png

图1 患者,女,48岁。a)术前冠脉CTA增强横轴面示全心增大,右冠状动脉起自右冠状动脉窦,右冠状动脉起始段窦明显扩张(箭);b)术前冠脉CTA增强横轴面示增粗的右冠状动脉窦于右心耳下方发出一支右冠状动脉沿右侧房室沟走行(长箭),增粗的右冠状动脉主干沿左、右心房之间走行至右侧房间沟前方、右房侧后方形成大小约4cm×6cm的瘤体(短箭);c)术前冠脉CTA增强横轴面示瘤体部分突出到右房并于顶端见一大小约7mm瘘口(箭);d)术前冠脉CTA三维重建图像示右冠状动脉起始段明显扩张增粗(箭);e)术后冠脉CTA平扫横轴面示右室与右心房之间可见条状高密度影,呈术后改变(箭);f)术后冠脉CTA增强横轴面示原沿右侧房室沟走行的右冠状动脉区见条状高密度影(长箭),原“右冠状动脉瘤”区(右心房后方)可见团片状低密度影,增强扫描未见强化,呈术后改变(短箭)。

 

2.讨论

 

冠状动脉瘘(coronary artery fistulas,CAF)是先天性冠状动脉畸形的一种,是指正常起源的左、右冠状动脉主支或分支与心脏或大血管之间相交通,是由于胚胎期心肌中血管窦状间隙的发育障碍所导致。CAF是冠状动脉的一种相对罕见的解剖异常,其发生率占普通人群的0.002%,占冠状动脉所有异常的14%,占先天性心脏病的0.25%~4.00%。

 

文献报道以右冠状动脉瘘多见(占55%),瘘入部位以右室多见(占45%),右房其次。冠状动脉瘘病程一般进展缓慢,临床症状出现比较晚且缺乏特异性。成年后出现症状者可表现为疲乏、心悸胸痛、活动后心悸气急、阵发性呼吸困难咯血,甚至不同程度心力衰竭。

 

该例患者右冠状动脉两次瘤样扩张,首次为右冠状动脉起始段瘤样扩张,其走行怪异且较长迂曲,沿途在右心房后面第二次形成右冠状动脉瘤样扩张且瘘入右心房(瘘口为其终端),这种特征表现在既往文献中很少报道。对于CAF的影像诊断,大多数CAF患者的胸片正常,通常主要依靠心脏彩超、MSCT、MRI及冠脉造影。

 

虽然冠状动脉血管造影为诊断冠状动脉瘘的金标准,但该方法为有创性检查,且价格昂贵,有可能发生并发症;MSCT冠状动脉血管成像现已成为一项常规检查。CTA 不仅可显示其起源、走行、分布为明确血管变异,对其管腔评价、与周围房室及血管的关系、心肌灌注情况、肌桥范围及深度、心功能状况等亦有良好评价。

 

另外超声可以探测到扩张的冠状动脉和瘘入部位的环形无回声区;CDFI可以探测异常血流的起源、走行及瘘入部位,同时观察冠状动脉内径的变化及有无血栓生成及狭窄,同时由于超声检查的经济及无创性,所以通常作为初筛检查及随访的主要方式。

 

CAF需与心房粘液瘤及主动脉窦瘤破裂相鉴别,心房粘液瘤最常见于左心房(85%),很少见于右心房(10%)或心室(5%),同时术后病理也可以做出鉴别诊断;冠状动脉瘘和主动脉窦瘤破裂引起的持续性杂音是相似的,但主动脉窦瘤破裂发病突然,而冠状动脉瘘发病缓慢,同时超声可显示高度扩张的主动脉窦与心腔之间有分流,升主动脉造影可见升主动脉内血液流入破入之心腔,从而做出鉴别诊断。

 

总之,CAF是发生于心血管系统的罕见病变,其目前的主要治疗方式为介入治疗及手术切除,在排除其他心血管病变的同时应考虑到本病的可能。因此充分认识并掌握其影像学表现,对于提高其诊断及鉴别诊断水平、术前评估及术后随访有重要作用。

 

来源:蒋启红,肖波,任勇军,廖琴,刘中百.右冠状动脉多发瘤样扩张伴右冠状动脉瘤-右房瘘一例[J].放射学实践,2022,37(01):131-133.