
8年中不断变化的“肺大疱”,最终结局出乎你的意料
病例资料
一般情况:患者男,75岁,农民
主诉:咳嗽
、咳痰8年余,胸闷、气促5年,加重1月
现病史:患者于8年余前反复咳嗽、咳痰,多次就诊于当地医院诊断为慢性阻塞性肺疾病
,予抗感染及止咳平喘后好转出院;近5年活动后出现胸闷、气喘、呼吸困难
。1月前上诉症状加重,同时伴有左侧胸痛
,针刺样锐痛为主,未向它处放射,自行服用止痛药后可缓解。今为求进一步诊治,门诊拟“慢阻肺急性加重、胸痛待查”收入住院。
既往史:有高血压病史30年,最高血压190/110mmHg;有吸烟史40年余;否认食物、药物过敏史。
入院专科查体:T 36.3℃ P 112次/分 R 24次/分 BP 156/91mmHg H 160cm W 63.00kg SpO2:94%(未吸氧)神志清楚,双肺呼吸音低,闻及湿性啰音,无胸膜摩擦音,心脏浊音界叩诊无扩大,心律齐,各瓣膜听诊区未闻及病理性杂音,腹部平坦
,腹肌柔软、无肌紧张,肝脏、脾脏肋下未扪及,全腹无压痛、反跳痛,下肢无水肿
。
门诊辅助检查:

图1 当地医院肺部CT报告:考虑感染

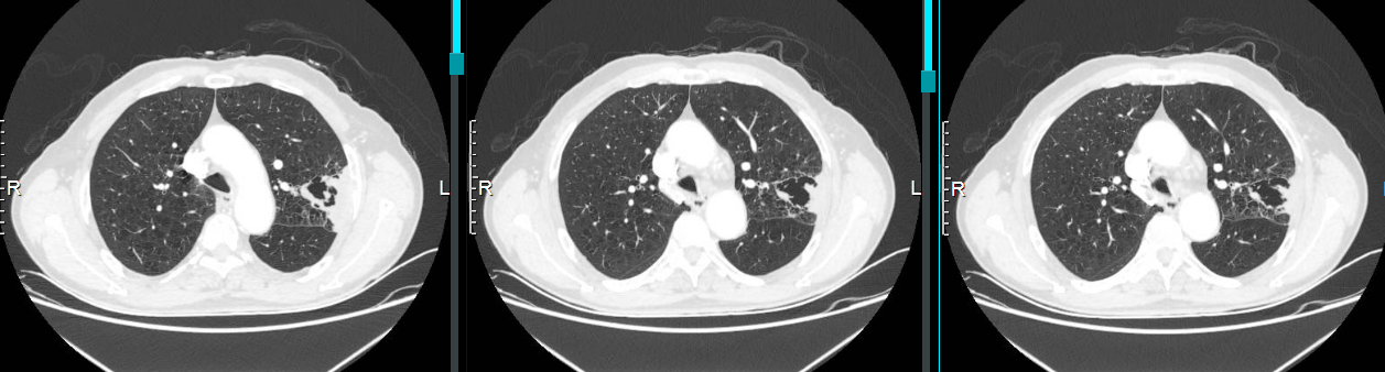
图2 2023.9.25肺部CT
入院诊断:1. 慢性阻塞性肺病伴有急性下呼吸道感染 2. 肺大疱 3. 高血压病3级(极高危) 4. 左上肺空洞原因待查
病情思路分析:
患者近8年反复因慢阻肺急性加重住院,期间多次行肺部CT(如下图)。

从上图可以看出,2015年开始患者持续随访肺部CT,2015年左肺可见“肺大疱”(不明显),2020年开始出现肺大疱样改变,随着随访时间的延长,肺大疱逐渐增大,且肺大疱周围可见肺组织实变影,外院多次行肺部CT考虑感染性空洞,那究竟这个在8年时间不断变化的“肺大疱”究竟是什么?
为明确诊断,下一步CT引导下经皮肺穿刺(患者不能耐受电子支气管镜检查
),病理如下:
病理诊断:免疫组化示:肿瘤细胞TTF-1(-)、P40(+)、P63(+)、CK(+)、Syn(-)、Napsin-A(-)、KI-67(30%+);
(左肺上叶穿刺活检小标本)鳞状细胞癌。

图3 CT引导下经皮肺穿刺组织病理结果
最终诊断:左上肺鳞癌伴骨转移(T4N0M1 IVA期)
知识拓展——囊腔型肺癌
临床定义及特征
大多数肺癌在CT上表现为实性或亚实性结节或者肿块,含囊腔的肺癌很少见。含囊腔的肺癌发病率仅约为3.7%。目前,含囊腔的肺癌定义尚未统一。该类型肺癌命名也未能完全确定,包括但不限于“表现为薄壁囊腔的支气管肺癌”、“肺癌和大泡性疾病”、“起源于肺大疱的肺癌”、“与囊腔相关的肺癌”等。国内多采用囊腔型肺癌这一术语[1]。此类患者相对较少出现临床症状,多于体检筛查时被发现,如出现症状,多以咳嗽、胸痛为主,少见咯血
、气胸
等症状。
组织病理学特征
囊腔型肺癌患者男性居多,囊腔型肺癌的主要组织学类型是腺癌,腺癌的比例高达 80%和88%,其他少见者包括鳞癌、类癌、大细胞癌等。对囊腔型肺癌,只有少数文章报道有基因突变的情况,其中EGFR 突变和 KRAS 突变是最常见的基因突变型。
影像学表现
囊腔型肺癌CT表现形态多变,但总体可以归纳为囊腔改变(如囊腔形态、囊壁厚度改变及囊腔内分隔等)、囊内或囊外异常成分如囊壁结节、囊周亚实性成分等。Mascalchi 等[2] 回顾他们机构 5 年内 24 例病例后,提出了一个四分类系统:Ⅰ型,囊外结节型;Ⅱ型,囊内结节型;Ⅲ型,环形增厚型;Ⅳ型,多发囊腔、结节混合型。在他们的报道中,Ⅲ型(33. 3%)、Ⅳ型(29. 2%)相对多见。
有趣的是,囊腔型肺癌的影像表现并非一成不变,在动态随访过程中, 病灶形态可以呈现不同改变。研究发现,随着肿瘤生长,囊腔可逐渐消失、闭塞,形成实性肿块[3-4],例如本例患者。目前也有研究认为形成的机制在支气管末端形成一个“活瓣”,使得空气易进难出,这可以解释许多囊腔随着时间发展而增大。
总结
对于可疑囊腔或肺大疱,应密切随访,动态观察囊腔的变化,对于肺内发现囊腔形态改变及囊腔出现实性或亚实性成分患者应提高警惕;必要时完善经皮肺穿刺或手术进行早期干预。
参考文献:
[1]李日东,靳激扬.囊腔型肺癌的相关研究进展[J].东南大学学报(医学版),2022,41(6):871-875.DOI:10.3969/j.issn.1671-6264.2022.06.021.
[2]MASCALCHI M,ATTINA D,BERTELLI E,et al. Lung cancer associated with cystic airspaces[J]. J Comput Assist Tomogr,2015,39(1):102-108
[3]ZHANG J,DENG H,WU C C,et al. The mechanism of formation of thin- walled cystic lung cancer [ J]. Medicine ( Baltimore),2019,98(14):e15031.
[4]杨亚茹,何慧,薛松,等. 囊腔型肺癌的 CT 特征动态变化及病理对照分析[ J]. 中国医学影像学杂志,2021,29 (7):682-686