
病例分享|老年女性咯血、呼吸困难伴肺部肿块,原来是出现了这个并发症……
医脉通编译整理,未经授权请勿转载。
病例资料
患者,女,84岁,因呼吸困难
和右肺中叶肿块于介入科进行评估。患者有房颤和需多次乳腺肿块切除、放疗和化疗的复发性双侧乳腺癌
病史;5年吸烟史;曾于2个月前在外院接受右心导管和左心导管检查,结果显示轻微冠状动脉疾病,但肺动脉压力升高(55/24 mm Hg)。这项手术本身并发了咯血
,需住院观察。住院期间胸部X线检查如下(图1);无近期影像学检查进行比较。

图1 胸片显示右肺有较大肿块
门诊就诊时肺科医生对患者进行了支气管镜检查
包括支气管镜肺泡灌洗和支气管镜刷检以排除恶性肿瘤的可能性,结果未确诊。随后转至介入肺脏病专科进一步评估。
体格检查
患者氧饱和度为98%(鼻导管给氧4L/min),血压为135/80mmHg,心率为96次/min。心脏检查示收缩期杂音伴心律不齐。肺部听诊及其他无明显异常。
辅助检查
患者轻度贫血
,血红蛋白
11.4 g/dL;凝血酶原时间(13.2秒)和国际标准化比值(1.2)轻度升高,N-末端脑钠肽前体升高至4,208 pg/mL;C反应蛋白升高至17.4 mg/L;肝肾功能正常。
患者胸部CT扫描如下(图2A)。出院后行正电子发射计算机断层扫描成像(PET)扫描,发现右中叶肿块间歇性增大,摄取值小(标准化摄取值为3.7)(图2B)。经临床评估后,行增强CT,再次显示右侧中叶肿块,肿块明显强化(图3)。

图2 A.CT和B.PETCT扫描显示一个右中叶大肿块,活动极小及双侧胸腔积液

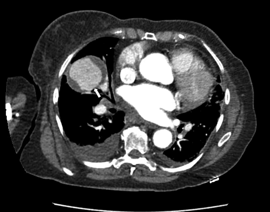
图3 增强CT扫描显示右中叶肿块。右肺病变(箭头)可见造影剂提示假性动脉瘤活动性出血。
诊断是什么?
肺动脉假性动脉瘤(pulmonary artery pseudoaneurysm,PAP)
结合患者临床表现及病史和影像学结果,确诊为PAP。随后患者的抗凝治疗被暂时停止。通过肺动脉造影确定供血分支,并行介入治疗对其进行栓塞。随访其影像学显示栓塞成功与供血血管的闭塞;恢复患者抗凝治疗,其氧饱和度提高,需氧量也减少。
病例讨论
假性动脉瘤并非真正的肿瘤,是由于动脉壁的部分破裂,血液溢至血管外被局部周围组织纤维包裹形成的具有搏动性的囊性或囊实性包块。肺动脉破裂和随后形成的假性动脉瘤是右心导管检查(right heart catheterization,RHC)的一种罕见并发症,于<0.5%的病例中发生,但其死亡率(50%-75%)很高。PAP常见原因包括医源性损伤、感染、血管炎、肿瘤等。
RHC期间并发动脉损伤的危险因素包括年龄> 60岁、女性、存在肺动脉高压、全身抗凝治疗和长期使用类固醇。大多数PAP患者至少有一个风险因素,其中高龄更常见。咯血是肺动脉破裂的常见症状,85%的病例在初始2天内发生。咯血从少量到大量不等,部分患者可能没有症状。由于肺动脉导管(Pulmonary artery catheter, PAC)的程序性放置,胸部成像可能异常,圆形肺部肿块常见于右侧。而PAP临床表现可能延迟出现,对于任何在近期进行RHC后出现肺部病变尤其是存在危险因素的患者,都应考虑PAP的可能。
对于PAP的诊断,数字化X线摄影(DR)、支气管镜检查、肺动脉造影、CT血管造影
(CT angiography,CTA)、多层螺旋CTA(multidetector CTA,MDCTA)、DSA可供选择。肺动脉造影作为既往诊断PAP的金标准,具有侵入性,存在漏诊风险,现已不作为诊断的惟一标准。CTA作为非侵入性的血管造影方法,可用于检查、描述和精确定位PAP,并能提供PAP的大小、数量、位置等信息,对制定治疗方案必不可少。其中,MDCTA可以快速定位和识别大咯血责任血管的来源,可及时给予对症处理,已成为PAP诊断的首选方法。
PAP的治疗策略包括肺叶切除术和肺血管介入治疗,前者因手术风险,且存在不能耐受患者,大多数文献仍建议将肺血管介入治疗作为一线干预措施。对于栓塞材料的选择目前尚未达成共识,主要选择弹簧圈和α-氰基丙希酸正丁酯医用粘合剂,以及血管内塞、覆盖支架和明胶
颗粒。术后建议在3个月内进行重复CTA检查。
参考文献
1. Jarnagin L, Shah A, Sagar AS. An 80-Year-Old Woman With Dyspnea and a Lung Mass. Chest. 2023 Feb;163(2):e79-e82.
2. 陈珊珊,唐晓军,唐小莉等.动脉栓塞介入治疗肺结核
并发肺动脉假性动脉瘤伴大咯血三例并文献复习[J].中国防痨杂志,2021,43(08):832-837.
3. 刘丽萍.彩色多普勒超声对假性动脉瘤的诊断价值[J].中国中西医结合影像学杂志,2019,17(01):96-97.