
没肝病却「胃底静脉曲张破裂出血」?病因令人心生疑惑!
本文为作者授权医脉通发布,未经授权请勿转载。
病例摘要
患者,男,63岁,已婚,汉族。主诉:上腹不适伴黑便3天。
现病史:患者3天前始出现上腹不适,伴解黑便3次,不成形,每次量约150g,无恶心、呕吐,当时自觉头晕、心悸
、多汗、伴黑朦,被家人急送至医院就诊,就诊时再解黑便。查血常规
:白细胞计数24.61x109/L,中性粒细胞百分比94.10%,红细胞计数2.31x1012/L,血红蛋白
67g/L,血小板计数394x109/L。腹部B超示“肝囊肿
,肝回声增粗,脾大
,右肾切除术后”。头颅CT:左侧基底节区少许腔梗灶可能。予禁食、补液、护胃、止血、输血
及对症支持等药物治疗,为进一步诊治收住入院 。
既往史:有“右肾切除史”30年,半年前曾行胃镜发现食管胃底静脉曲张。
个人史及家族史:饮酒史10余年,100~200g/日,已戒半年。
入院查体:BP 91/56mmHg。神志清,精神萎,贫血
貌,浅表淋巴结无肿大,结膜苍白,双肺呼吸音清,未闻及干、湿性啰音及哮鸣音,心界不大,心音清、律齐、各瓣膜听诊区无杂音,腹平坦
,右侧腹部见一长约5cm疤痕,未见肠型、蠕动波,腹壁软,无压痛及反跳痛
,未触及包块,肝未触及,脾肋下1指,肝区无叩痛,Murphy征(-),肠鸣音
正常。其余体格检查大致正常。
入院分析
本例患者为老年男性,黑便3天,入院后须首先鉴别消化道出血
来源:
(1)食管胃底静脉曲张破裂:该患者既往胃镜已发现食管胃底静脉曲张,此次出现黑便,无腹痛,考虑曲张静脉破裂出血可能性大,可行胃镜检查
明确,但该患者腹部B超不支持肝硬化,静脉曲张原因尚待查。
(2)消化性溃疡
:是消化道出血常见病因之一,典型病例表现为周期性和节律性上腹部疼痛,也可有反酸、嗳气、胃灼热、上腹饱胀不适等消化不良症状,诊断依据不足,但老年患者症状可不典型,或可表现为沉默性溃疡,可查胃镜排除无症状型消化性溃疡合并出血。
(3)急性糜烂出血性胃炎:也是引起上消化道出血常见的病因,患者常有服用非甾体抗炎药(NSAIDs)史、严重疾病状态或大量饮酒史。该患者否认服用NSAIDs史及近期饮酒史等,因此暂不考虑该诊断。
(4)消化道肿瘤:常有纳差、厌食、上腹部饱胀不适、体重减轻等非特异性症状,诊断主要依赖X线钡剂造影检查
和胃镜检查加活检。
因此,入院后拟在生命体征平稳状况下行胃镜检查。
入院后诊疗
入院后查胃镜(图1):胃底及胃体见多条静脉曲张团,见血凝块及陈旧性出血,予三明治夹心法注射黏合剂4ml,拔针后喷血,再注射2ml出血停止。

图1 胃镜下检查
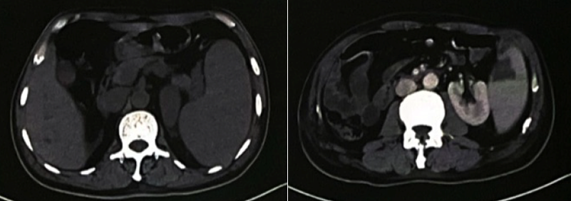
查腹部CT
(图2):脾肿大,局部斑片状低密度影,梗死可能性大;食管胃底静脉曲张(脾静脉明显增宽,胃底部静脉局部增粗扭曲)。


图2 腹部CT

图3 TIPS
术后第9天患者再次解黑便3次,不成形,每次量约200g,当时血常规:白细胞计数1.3x109/L,红细胞计数2.73x1012/L,血红蛋白76g/L,血小板计数423x109/L。复查胃镜:食管未见曲张静脉,胃底见连片状曲张静脉团,一处见黏合剂注射后溃疡形成,表面少量渗血。动脉造影见:腹腔动脉、肠系膜上下动脉、左肾动脉、脾动脉未见活动性出血。10天后患者转至外科行脾切除术+贲门周围血管离断术,术后病理符合慢性淤血性脾肿大。
病情分析:患者有长期饮酒史,但无肝炎病史,肝功能正常,CT未提示肝硬化表现,胃镜见孤立性胃底静脉曲张,考虑区域性门脉高压。患者反复查血常规示白细胞及血小板计数增高,再次追问病史,患者有“血小板增高病史”3年余,外周血涂片
:白细胞总数明显增高,分类分叶核细胞比例增高,淋巴细胞比例降低,阅片可见晚幼粒细胞及分叶核细胞多分叶现象,成熟红细胞大致正常,血小板成簇可见。骨髓常规:粒系、红系增生活跃,巨核系增生减低,血小板成簇可见。基因检测:JAK2V617基因突变(+)。血液科会诊:骨髓增殖性肿瘤
。
诊断:1.上消化道出血:胃底静脉曲张破裂出血;2.区域性门静脉高压;3.骨髓增殖性肿瘤;4.脾功能亢进
。
治疗及随访:口服羟基脲
0.5g,每日三次;口服阿司匹林
100mg,每晚一次。随访未再出血。
分析与讨论
区域性门脉高压(regional portal hypertension,RPH)指各种原因引起脾静脉阻塞、脾静脉血液回流障碍,继发脾胃区静脉压增高导致的一类肝外型门脉高压症,亦称为“左侧门脉高压"“局限性门脉高压”,该病患者占门脉高压症患者的5%。RPH发生率低,但为可治愈的门脉高压症,易造成误诊、漏诊。
RPH临床特点:①兼有原发疾病本身的特点,如胰源性为常见病因,患者常有慢性上腹痛及腰背部疼痛等胰腺疾病的表现;②肝功能正常,无肝硬化;③脾肿大;④胃镜提示孤立性胃底静脉曲张。
RPH的治疗主要在于:①治疗原发病;②脾切除/脾动脉栓塞。
该患者以消化道出血为主要表现,行胃镜检查见胃底及胃体多条静脉曲张成团,见血凝块及陈旧性出血,遂可明确黑便系胃底静脉曲张破裂出血所致。肝硬化是导致食管胃底静脉曲张最主要、最常见的原因,但该患者肝功能正常,B超及腹部CT均无肝硬化表现,静脉曲张原因令人困惑。再次回顾总结这个患者的临床特点,除胃底静脉曲张外,该患者伴有牌大、血小板计数升高,这三者是否是同一疾病的表现呢?这时候我们联想到了区域性门静脉高压的诊断。区域性门脉高压是一种肝外型门静脉高压症
,常为多种原因引起单纯性脾静脉梗阻致门静脉脾胃区压力增高超过正常、它除了可引起脾淤血、肿大外,还可形成孤立性胃底静脉曲张,而门静脉、肠系膜静脉及食道静脉则较少受影响。本病与引起肝内型门静脉高压症的原因无关,故肝功能正常。该症针对病因治疗则临床可治愈。
因此,对该类患者来说,原发病的诊断至关重要。重新复习区域性门脉高压的原因,主要有以下几个方面:①胰源性(80%~90%)。急慢性胰腺炎
、胰腺假性囊肿及脓肿、胰腺肿瘤、胰腺结核、假性动脉瘤等。②脾源性。脾静脉海绵样变、脾动脉瘤、先天性脾动脉狭窄等。③腹膜后源性。腹膜组织的肿瘤、炎症等。④其他。遗传性血小板增多症、骨髓增殖性疾病、淋巴瘤、创伤等。
该患者腹部CT未提示胰腺疾病及腹腔占位等表现,既往“血小板增高病史”3年余,此为寻因切入点,遂进一步行骨髓穿刺检查,最终明确诊断。该患者胃底静脉曲张、脾大、血小板增多系同一疾病所致,骨髓增殖性肿瘤才是导致这个患者消化道出血的罪魁祸首。这个病例提示我们,当患者有食道胃底静脉曲张尤其是孤立性胃静脉曲张,且有出血,脾肿大而无肝病史,肝功能检查
正常时,应该想到区域性门脉高压这个诊断。在临床工作中,我们需加强对区域性门脉高压的认识,为患者寻因治本,争取缩短确诊时间,使诊治过程更加顺利。
参考文献:
[1] Wang S, Qing DX. Zhonghua Gan Zang Bing Za Zhi. 2020;28(6):515-517.
[2] Liu QD, Zhou NX, Zhang WZ, Wang MQ. Diagnosis and management of regional portal hypertension. Chin J Dig Dis. 2005;6(2):87-92.