
病例分享|19岁女孩咯血、呼吸急促,最终确诊肺癌,年轻患者的肺癌有何特点?
导语
该病例展示了年轻患者肺癌表现的多个方面,例如症状特点,以及在疾病转移及局部扩散方面的侵袭性等。
病例资料
患者为19岁女性,因感染COVID-19后咳嗽
2个月,并出现呼吸急促和血痰就诊。患者无吸烟史。最初患者接受了社区获得性肺炎
的经验性治疗,因其胸片显示右肺上叶浸润;进一步CT扫描显示右肺门淋巴结肿大和广泛的淋巴结病变。两周后,患者出现严重的左侧下背痛,并发现其左下肺叶完全塌陷,可能是由于左下肺叶支气管的外源性压迫所致。患者因疼痛接受了治疗。两个月后,患者出现进行性呼吸急促和咯血
,并在过去4个月里体重减轻23kg。随后转诊至我院重症监护室(ICU)。
体格检查
在ICU中,患者体温为35℃,心率为101次/分,呼吸频率为27次/分;在25L/min的高流量鼻插管(100%FIO2)下氧饱和度为100%。其左侧呼吸音减弱,其他无明显异常。
辅助检查
入院期间,患者白细胞增多(16.52 K/μL),以中性粒细胞为主(79.4%),血小板增多(420 K/μL)和正细胞正色素性贫血
(血红蛋白
5.5 g/dL,平均红细胞体积81 fL,铁13 μg/dL,总铁结合力131 μg/dL、铁蛋白764 ng/mL)。患者的乳酸脱氢酶(269 IU/L)、天冬氨
酸氨基转移酶(88 U/L),γ-谷氨酰转移酶(280U/L)和碱性磷酸酶(203U/L)也升高。其细菌培养、真菌培养和病毒培养的微生物学检查结果均为阴性。
胸片及CT胸部扫描显示右上肺阴影明显增大,下颈部及胸部广泛淋巴结病变,继发于淋巴结病变的左主干支气管完全闭塞,新发完全性左肺不张
伴中度胸腔积液
(图1、2)。

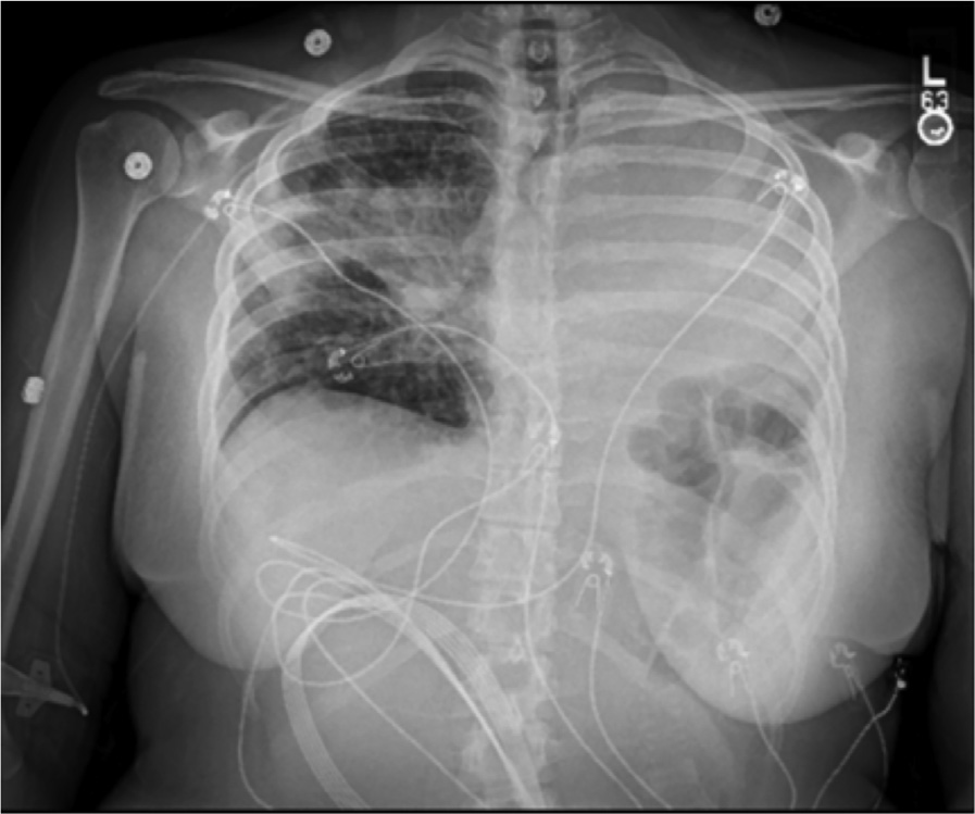
图1 胸片显示右肺门周围及肺上叶病变,左半胸完全浑浊,左半膈抬高。

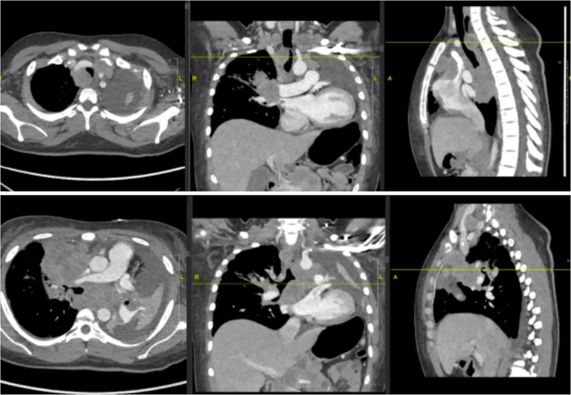
图2 胸部CT扫描显示右上肺阴影,转移性淋巴结病变,左主支气管闭塞,左肺实变/肺不张。
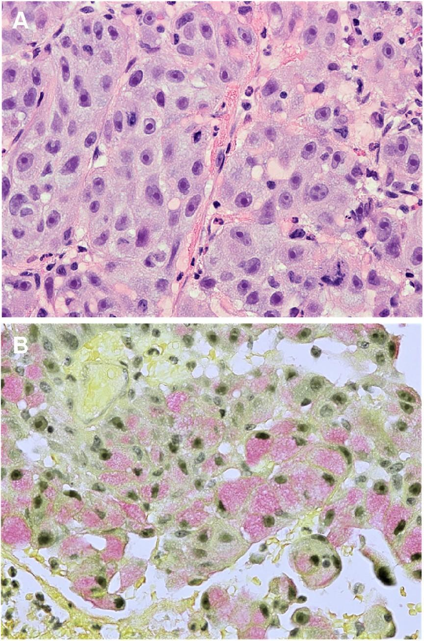
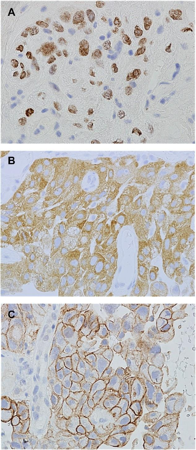
病理显示低分化的实体上皮肿瘤细胞(图3A),黏蛋白胭脂红染色呈阳性(图3B)。免疫组化染色显示转录终止因子-1核染色阳性(图4A),间变性淋巴瘤激酶(ALK)细胞质染色阳性(图4B),程序性死亡配体1 (PD-L1)膜染色阳性(图4C)。荧光原位杂交研究对受体酪氨酸激酶ROS原癌基因1 (ROS1)或RET原癌基因(RET)重排结果为阴性(图5)。确诊为ALK+原发性肺腺癌。

图3 A-B,病理图像显示(A)苏木精-伊红染色玻片显示低分化实体上皮肿瘤,(B)黏蛋白胭脂红染色阳性(粉红色)提示肿瘤是腺癌(两者均为原始放大倍数×400)。

图4 A-C,免疫组织化学染色结果;呈褐色染色阳性:(A)转录终止因子-1核染色阳性,与肺源性腺癌一致;(B) 间变性淋巴瘤激酶胞浆染色阳性;和(C)程序性死亡配体1膜染色阳性(原始放大倍数为400)。

图5 荧光原位杂交未显示受体酪氨酸激酶ROS原癌基因1(ROS1)或RET原癌基因(RET)重排的证据
患者接受支气管镜检查
,进行冷冻治疗清除阻塞病灶,左主支气管金属支架置入,右肺上叶支气管内病变活检和切除术,围手术期进行体外膜肺氧合支持(图6)。因随后并发急性呼吸窘迫综合征
(ARDS),患者在ICU中插管1周。

图6 A-F,支气管镜图像显示(A)肿瘤阻塞右上叶,(B)肿瘤引起右中叶/右下叶压迫,(C)肿瘤清创后的左主支气管,(D)支架置入后的隆突,(E)支架置入后左上叶/左下叶,以及(F)支架末端的左上叶和左下叶。
临床病程
在癌症病理报告返回后,予以患者阿来替尼
和支架及黏液溶解方案治疗,并停用加压剂,拔管后转至普通病房,并于体格检查发现由恶性肿瘤的外在压迫引起的霍纳综合征
和上腔静脉综合征。MRI和CT扫描的进一步分期显示转移至其右侧脑尾状核和右肝后外侧叶(图7、8)。患者开始接受放射治疗,但在接受了两次纵隔肺部肿块的放疗后,决定停止放疗,因化疗后症状迅速改善,仅继续化疗。7月开始使用阿来替尼3个月后,该患者几乎无症状,氟脱氧葡萄糖
PET扫描显示改善,包括肺实变明显减少但仍持续存在的胸腹部淋巴结病变,淋巴结转移和双侧胸腔积液消退。

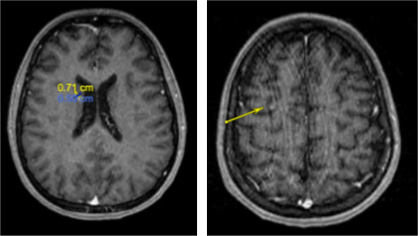
图7 MRI扫描显示右尾状核(左图,7 x 5毫米)和右额叶上部(右图,箭头)出现增强的转移病灶。

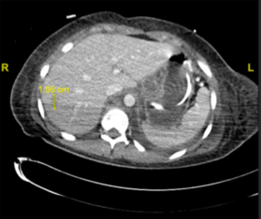
图8 CT扫描显示右肝20 mm模糊低增强病灶,可疑肝转移。
病例讨论
主要症状
几项研究报告了年轻患者肺癌常见临床表现。一项对儿童和青少年人群中腺癌的系统综述发现,最常见的临床症状主要是呼吸性胸痛
(19.4%)、对抗生素治疗无反应(19.4%)和咯血(13.9%)。此外,研究发现的其他常见症状与转移性病变有关,包括头痛
、精神状态改变、腹痛和背痛(25.45%)。
除呼吸道症状外,患者最初表现为咯血,这在成年人群中已被充分证明是肺癌诊断的强预测因子。同样,其他对成年患者的研究指出,食欲下降、体重减轻、声音嘶哑和血小板增多是对癌症具有高阳性预测价值的其他症状。本例患者在病程的不同阶段表现出多种症状,包括体重减轻23公斤、声音嘶哑和血小板增多。
转移和局部扩散
与年长患者相比,年轻的癌症患者更可能出现转移性病变,可能是由于非特异性症状和临床怀疑较低而导致诊断延迟。一项针对40岁非小细胞肺癌患者的研究发现,从初始表现到组织学诊断的中位天数为1-1076天,中位天数为61天。本例患者从初始表现到非正式的组织学诊断大约22天,但其未得到正式诊断,因此直至65天才接受治疗,此时她的疾病已经进展到肝脏和脑转移。儿童和青少年的肝或脑转移少见,一项对35岁以下年轻肺癌的研究发现,常见的转移为胸膜(38.71%)、骨(35.48%)、肺(25.81%)、肝(12.90%)和脑(9.68%)。
遗传学与治疗
成人肺癌指南推荐对确诊的腺癌进行分子检测,以检测EGFR、KRAS、BRAF、ROS-1和ALK的体细胞突变。ALK基因重排导致其持续激活和驱动肿瘤形成,并在其他儿科肿瘤中显示,如神经胶质瘤
、尤因肉瘤和成神经细胞瘤,以及肺腺癌。需要注意的是,ALK阳性肺腺癌患者年龄较小,研究表明TNM分期与ALK阳性肺癌的诊断年龄呈负相关,特别是脑和肝转移的频率增加,如本例所见。ALK阳性肿瘤可用ALK抑制剂(如克唑替尼
)和较新一代药物塞瑞替尼
和阿来替尼等进行靶向治疗。与典型的化疗相比,这些新的靶向生物制剂显示出明显更优的疗效。
结语
鉴于恶性肿瘤的侵袭性,对于年轻患者而言,及早识别疑似肺癌的症状对于减缓或预防疾病进展(如远处转移、霍纳综合征、上腔静脉综合征)至关重要。而分子测序对于指导肿瘤治疗方案的选择具有重要意义。
参考文献
1. Ko MY, Guzner A, Saini I. A 19-Year-Old With Hemoptysis and Shortness of Breath. Chest. 2023 Nov;164(5):e139-e145.
2. 中华医学会肿瘤学分会,中华医学会杂志社. 中华医学会肺癌临床诊疗指南(2023版)[J]. 中华肿瘤杂志,2023,45(7):539-574.