
以影识病|肺炎型肺腺癌与肺炎,如何区分?
病例资料
患者男,54岁,因发热
、咳嗽
和呼吸急促到我院就诊,并伴全身乏力和体重减轻。患者于外院被诊断为痰检阳性肺结核
,过去2个月以来服用抗结核药物。
PA胸片示双肺大面积融合实变,右中部实变内可见少量透亮区。胸部CT平扫
显示双肺广泛实变,其间有磨玻璃影、间隔增厚及多发小囊性/空洞区。部分实变显示内部低密度区(衰减值范围为15-25 HU)。无胸腔积液
或明显的纵隔淋巴结肿大。
其白细胞总数和炎症标志物均在正常范围内;微生物学检查未发现感染性病原体,支气管肺泡灌洗检查恶性肿瘤阴性。左上叶实变处行CT引导下活检,提示黏液腺癌,呈鳞屑样生长。免疫组化细胞角蛋白7(CK 7)呈阳性,TTF1、CK20、Napsin A、CDX2、突触素呈阴性。

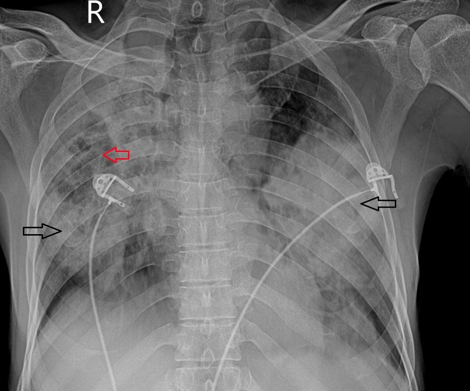
图1 PA胸片示双侧肺实变(黑色箭头),右中部可见多发囊性透亮区(红色箭头)。

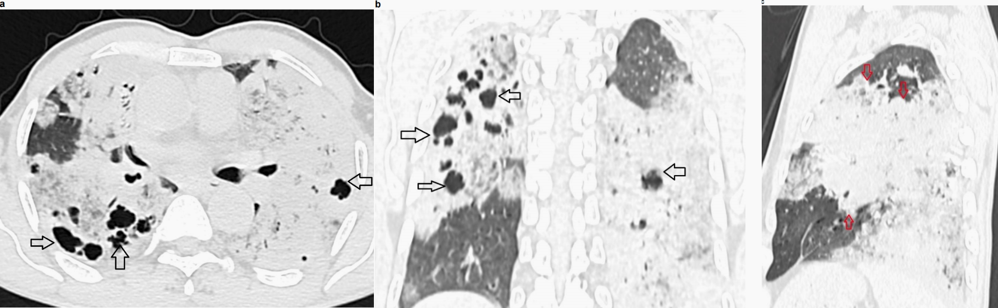
图2 胸部非增强CT,肺窗显示双侧肺广泛实变,伴多发囊性区,提示假性空洞(图2a和2b中的黑色箭头),叶间裂膨隆征(图2c中的红色箭头)。

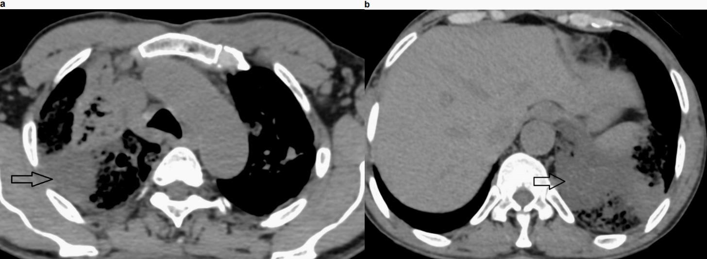
图3 胸部非增强CT,纵隔窗,轴位图像示右上叶(3a)和左肺底(3b)实变区内的低密度区(黑色箭头)。
病例讨论
肺腺癌是常见的肺癌类型,而本例的肺炎型肺癌(pneumonia type carcinoma of lung,PTCL)是一种在临床及影像学表现极其类似肺炎的一种特殊形式肺癌,临床工作中常误诊为肺炎,造成延误诊治。
二者临床表现相似,均可表现为咳嗽和咳痰,但感染性肺炎通常伴有发热和炎症标志物升高,而肺腺癌实验室检查多正常或某些指标轻度增高,如本例未有炎症标志物升高。
肺炎型肺癌CT表现可多种多样, 其影像学表现可为磨玻璃密度影、片结影、实变影、空泡及蜂窝状阴影、混合型阴影。几项研究评估了肺炎型腺癌的CT影像特征。部分有助于与感染性病变相区分的特征包括不规则支气管充气征、叶间裂膨隆、蜂房征或空泡征、实变内低密度区和CT血管造影
征(在增强扫描中可见)。不规则支气管充气征继发于侵润性生长或肿瘤侵及支气管。叶间裂膨隆是由于腺癌癌细胞能分泌黏液,使肺叶体积增大,叶间胸膜膨隆,呈弧形隆起改变。空泡征是由于肿瘤细胞延管壁生长使管腔形成活瓣样阻塞,使肺泡腔过度充气,表现为囊样低密度影。由于肿瘤细胞产生的黏液增加,其实变倾向具有较低的衰减值。
肺炎型肺癌的CT表现容易和这些疾病相混淆:
➢大叶性肺炎
影像学两者容易混淆,极其相似。但大叶性肺炎不会出现多发小结节,增强扫描强化净值明显高于肺腺癌;多大于60HU;呈渐进强化过程,临床各项体征明显,白细胞及中性粒细胞比例明显增高。具有典型的空气支气管征,其支气管壁柔软,无僵硬感,分支自然,支气管径由粗变细,似青树枝样,大叶性肺炎不伴有蜂房窝征或空泡征,常有明显的急性感染病史。
➢隐源性机化性肺炎
常见双侧或单侧气腔实变影。通常呈斑片状分布,50%病例病变沿胸膜下或支气管周围分布,以下肺区更明显;充气支气管像常出现 (无狭窄、截断征像),0%~50%的病例可见小结节影。增强扫描病变强化程度明显,无坏死灶。血管造影征不明显。
➢黏膜相关肺淋巴瘤
肺腺癌充气支气管多有管腔狭窄、中断及扭曲表现;病变发展较淋巴瘤快;临床表现也较淋巴瘤多。淋巴瘤的支气管充气征多为支气管树的主干充气,支气管边缘较光整,无枯树样改变,不伴有蜂房征。
结语
肺炎型肺腺癌的CT表现具有多种多样形态学特征,反映出肿瘤的异质性生物特点。诊断需注意与其他疾病特别是肺炎相鉴别,在慢性不愈的实变病例中,应将其作为影像学鉴别诊断之一。确诊需组织病理学检查。
参考资料
1. A case of diffuse pneumonic-type lung adenocarcinoma.eurorad.org/case/18414.2024.01.03
2. 莫小军,杜飞舟,王鹏等.肺炎型肺腺癌CT影像学表现[J].医学影像学杂志,2021,31(06):967-970+975.
3. 邱小伟,袁杭,司马斌等.18例肺炎型肺腺癌CT诊断分析[J].浙江中西医结合杂志,2019,29(05):412-414+440.