
65岁女性慢性咳嗽7个月久治不愈,原因让人意外|病例探寻
病例资料
患者,女,65岁,因持续进行性干咳7个月于我院就诊。患者咳嗽每分钟发生几次,对日常活动造成了重大影响。患者否认发热
、畏寒、体重减轻、胸痛
、喘息、胃食管反流症状或鼻后滴漏。患者无吸烟史,无哮喘、过敏、鼻窦疾病或皮炎病史;从未服用血管紧张素转换酶抑制剂。患者否认有任何职业或环境暴露史。患者有类风湿性关节炎病史,接受了3年的甲氨蝶呤
治疗。患者此前接受过短效β-激动剂、吸入性皮质类固醇/长效β-激动剂、孟鲁司特
、滴鼻类固醇药剂、质子泵抑制剂、加巴喷丁
和阿奇霉素
治疗,均未缓解;接受可待因
治疗后有轻度缓解。
体格检查
患者无发热;心率70次/分;血压121/73mmHg,室内空气中的血氧饱和度为96%。体格检查显示口咽后部有红斑,无渗出物或分泌物;颈部柔软,无明显肿块;双手有关节炎改变,但无杵状指;胸部听诊及其他检查无明显异常。
辅助检查
全血细胞计数
检查结果正常,嗜酸性粒细胞30cells/μL,放射性变应原吸附试验未显示明显结果,由于患者咳嗽无法进行肺功能检查
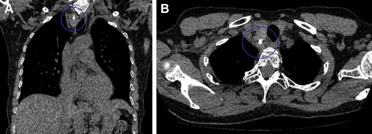
。胸部HRCT显示肺实质正常;右上气管旁有一个2.1×2.3cm的肿块,肿块不均匀,包含多个粗钙化灶(图1A, 1B)。气管稍微向左偏离,未侵及邻近肿块。核医学摄取和扫描证实肿块源于甲状腺。腺体中的总摄取量、促甲状腺激素水平在正常范围内。超声显示甲状腺不均匀,延伸至右侧胸骨后。

图1 A.冠状位胸部CT扫描(纵隔窗)显示右上气管旁2.1×2.3 cm肿块,含粗钙化灶(圆圈)。B.轴位胸部CT扫描(纵隔窗)显示不均匀肿块,气管轻微向左偏移(圆圈)。
问:诊断是什么?
胸骨后结节性甲状腺肿
引起的慢性咳嗽
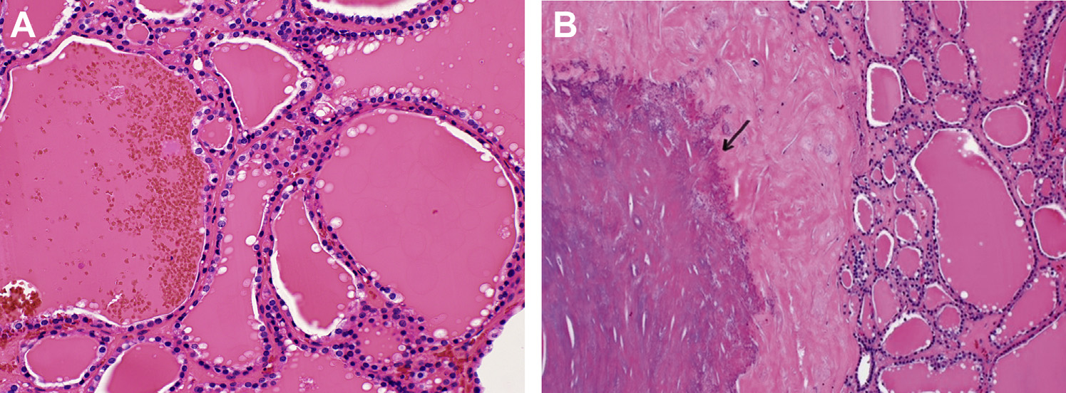
患者在右侧甲状腺切除术前接受了内分泌和耳鼻喉科评估。外科医生发现甲状腺下端不规则向胸骨后延伸,未侵犯周围结构。甲状腺肿块的下半部分直接附着于喉返神经,将其向外侧推。从甲状腺肿处剥离神经并完整保存。肿块组织病理学显示多发性腺瘤样结节伴局灶性玻璃样变和钙化(图2),与影像学所见钙化一致,证实了多结节性甲状腺肿伴钙化的诊断。术后患者咳嗽症状完全消失,无并发症。

图2 A.切除标本的组织病理学确认为甲状腺组织;B.标本的组织病理学显示局灶性玻璃样变(箭头)。
病例讨论
临床上通常将咳嗽为唯一症状或主要症状,时间超过8周,胸部X线检查无明显异常者称为慢性咳嗽。慢性咳嗽的常见病因主要为咳嗽变异性哮喘
、上气道咳嗽综合征、嗜酸性粒细胞性支气管炎、变应性咳嗽、胃食管反流性咳嗽。
慢性咳嗽的评估应包括临床病史、症状、体格检查和辅助检查的综合评估。病史有助于医生从常见病因、“危险信号”和非肺部病因的方向进行鉴别诊断。体格检查不应限于肺部,可包括口腔和鼻腔、咽后部、颈部、皮肤和四肢的评估。鉴别诊断可以细化为病史、体格检查、初始影像和肺功能检查的进一步评估。例如,肺功能检查正常的存在哮喘症状的患者可能需行支气管激发试验
,而存在体重减轻和咯血
的吸烟患者应行胸部CT以进一步评估。疑似间质性肺病的患者需行胸部HRCT检查
,而疑似口咽吞咽困难
的患者可能需要转诊至言语病理学处评估。慢性咳嗽也可能由其他专科疾病导致,医生应考虑到多种可能同时导致咳嗽的病理情况加以鉴别诊断。
甲状腺肿用以描述甲状腺异常生长,是常见的内分泌疾病之一。胸骨后结节性甲状腺肿是指甲状腺肿体积的50%位于胸廓入口以内,多由单纯性甲状腺肿引起,病变往往累及双侧腺叶,但以单侧腺体巨大病变为多。其症状取决于甲状腺肿的原因、部位和大小。常见的内分泌症状由甲状腺功能增强或减弱导致;而呼吸困难
、喘鸣和吞咽困难等症状与附近组织结构的压迫有关。甲状腺肿引起咳嗽症状并不常见,但若甲状腺肿累及喉返神经而引起刺激则会发生。
对此,颈部体格检查评估应包括气管偏移的视诊和甲状腺触诊,以评估其大小并发现是否存在结节。肺功能检查特别是肺活量测定,有助于确定甲状腺肿是否为咳嗽的原因。
手术切除是胸骨后甲状腺肿的首选治疗方法,通常用于缓解症状、防止进一步生长和排除恶性肿瘤的可能。手术选择包括全甲状腺切除术或偏侧甲状腺切除术。二者并发症发生率相似,包括永久性或暂时性声带麻痹、低钙血症
和气管软化症。大多数组织病理学检查显示良性病因。
结语
慢性咳嗽是一种常见症状,本例提示在评估诊断慢性咳嗽患者时,应考虑到各种可能导致咳嗽的病因,包括常见病因,以及肺部和肺外病因的鉴别诊断。
参考文献
1. Khasawneh M, Leon ME, Urbine D. A 65-Year-Old Woman With Intractable Cough. Chest. 2022 Sep;162(3):e123-e126.
2. 王志军.胸骨后结节性甲状腺肿的诊治体会[J].医药论坛杂志,2010,31(20):132-133.