
以影识病|56岁女性慢性咳嗽和吞咽困难,CT检查发现……
医脉通编译整理,未经授权请勿转载。
病例资料
患者,女,56岁,因慢性咳嗽
、吞咽困难
和胃灼热于我院就诊。行食管造影
检查以排除胃食管反流病
。
造影显示食管在靠近胸廓入口上三分之一处,左侧有透明椭圆形区域,周围有薄壁包绕,提示为含气囊肿。尽管食管偏斜,但该病变未引起明显食管狭窄或造影剂进展延迟。
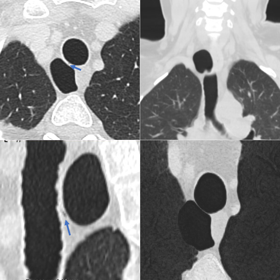
对该病变进行CT检查显示在胸廓入口处有一右后气管旁气囊。可见与气管腔相通,诊断为气管憩室。

图1 X线片显示气管右后外侧、胸廓入口水平处的薄壁气囊。食管造影检查显示气管憩室偏斜。

图2 CT图像(肺窗和MinIp)显示右后外侧气管旁含气囊肿,壁薄。注意囊肿与气管连通(箭头),诊断为气管憩室。
病例讨论
气管憩室(tracheal diverticulum,TD)是一种累及气管及主支气管的良性病变,主要表现为气管与支气管腔外的囊性突出,多数为单发,少数多发。可分为先天性和获得性两类,前者多数较小,组织学上具有气管类似的解剖结构,包括气管壁、平滑肌及柱状上皮;后者多数较大,且憩室开口也较大,常出现在胸廓入口气管的右后侧,可能是该部位解剖缺陷所致,其腔壁主要由气管上皮构成,而不包含平滑肌和软骨。如本例的慢性咳嗽或阻塞性肺疾病增加气管内压力,使其更容易形成TD。
TD相对常见,患者通常无临床症状,多因胸部其他疾病或体检时行CT检查时偶然发现。部分患者可能会出现慢性咳嗽、呼吸困难
、喘鸣或气管支气管炎反复发作,有时还可能出现消化道症状。
CT对诊断TD至关重要,可评估其定位、大小和壁厚。TD通常表现为气管旁的含气囊腔,与气管腔相通或不相通,常见的位置在T1和T3椎体之间的胸廓入口附近。支气管镜检查
也有助于TD诊断,但具有侵入性且可能无法发现憩室内壁开口较小的病例。根据发生部位、表现,气管憩室诊断一般不难,需注意与食管憩室、气管囊肿、纵隔气肿等鉴别,多层螺旋CT检查
有助于鉴别诊断。
鉴别诊断
➢气管囊肿:气管周围的囊状水样低密度影,几乎不与气管相通;气管囊肿合并感染或出血
可呈高密度影,而气管憩室多为气体密度影,多与气管相通。
➢食管憩室:为食管局部向外膨出的囊性结构,或大或小,呈宽基底或窄基底,有的可见气液平面形成,通常囊袋内可见钡剂或食物存留。
➢纵隔气肿:纵隔间隙内条状、片状气体密度影,多不形成囊腔,多有外伤史,部分可见颈部及皮下气肿,部分可伴有气胸
。
对于无症状的TD患者通常不需要治疗,对于有症状的患者可给予抗炎、体位引流
等保守治疗;个别压迫症状严重者或合并反复支气管炎症发作者可考虑手术治疗。
参考文献:
[1] Traqueal Diverticulum: An unusual presentation of an underecognized condition.eurorad.CASE 18415. 2024.04.01.
[2] 方翠,张源,杨四清等.MSCT及MRI检查在气管憩室应用中的临床价值[J].医学影像学杂志,2023,33(03):439-443.
[3] 徐彦东,张凤翔,张浩亮等.MSCT对气管憩室的诊断价值[J].医学影像学杂志,2022,32(02):246-249.