
34岁男子持续咳嗽和呼吸困难,竟是这个纵隔肿瘤在作怪|以影识病
医脉通编译整理,未经授权请勿转载。
病例资料
患者,男,34岁,出现持续四个月咳嗽
和呼吸困难
,并伴血痰和10%(8Kg)体重减轻入院,需行胸部X线和CT扫描。随后,患者因持续呼吸困难和胸痛
、全身不适、发热
(37.9°C)和呕吐而送至急诊科。
影像学
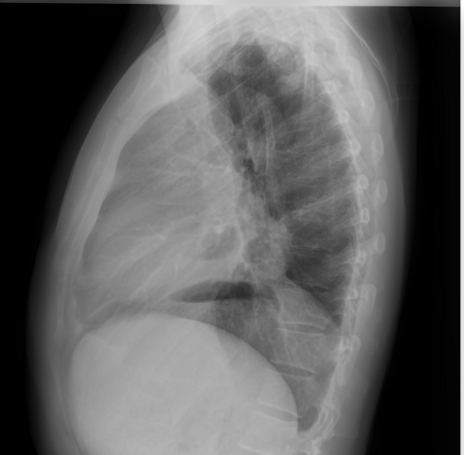
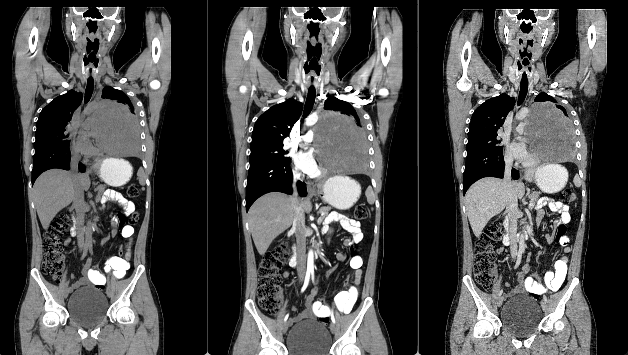
后前位胸片显示左肺周围病变,伴有对侧气管移位和心缘剪影征阴性,同时由于对侧肺代偿性过度充气导致左半膈肌升高。侧面投影显示胸骨后间隙占位,并伴“脊柱征”。增强CT显示先前识别的病变表现不均匀性,主要呈现周边强化,以及中央低密度区域,可能表明有坏死。其位于前纵隔内,不浸润邻近组织,但支气管血管结构向对侧移位。此外,可以观察到右肺动脉受压,同时存在胸腔积液
和左肺基底部肺不张
。最终通过切除活检确诊为纵隔卵黄囊瘤。

图1 后前位胸片显示左侧纵隔有明显病变

图2 侧位片证实肿块位于前纵隔,胸骨后间隙占位

图3 轴位成像显示先前识别的病变表现不均匀性,主要呈现周边强化,以及中央低密度区域,提示坏死;还可见右肺动脉受压

图4 冠状位成像显示肿块没有延伸到形成心脏轮廓的心脏边缘;存在胸腔积液。

图5 矢状面成像表现与侧位片一致。
病例讨论
卵黄囊瘤又称内胚窦瘤,是一种高度恶性的生殖细胞肿瘤(germ cell tumours,GCT),常发生于睾丸和卵巢,发生在性腺外者少见,其中以纵隔常见。纵隔生殖细胞肿瘤根据组织学可以分为精原细胞瘤GCT、非精原细胞GCT、成熟畸胎瘤和未成熟畸胎瘤。而卵黄囊瘤是一种非精原细胞瘤,约占纵隔GCT的15%。
原发性纵隔内卵黄囊瘤患者大多为青年男性,多数患者因肿物过大压迫周围器官,可出现胸闷、胸痛、咳嗽或上腔静脉综合征,同时伴或不伴有发热、乏力等非特异性症状。本例患者也表现为呼吸困难、咳嗽、胸痛和发热。
胸部CT是最常见的影像学检查方式,可见巨大纵隔占位区,增强CT有助于明确肿物与邻近大血管、心包、肺组织间的关系;少数情况下,X线、超声等检查也可发现纵隔区占位,值得引起临床医生的注意。其影像上缺乏特异性表现,但可根据以下几点来提示诊断的可能:该病好发于前纵隔;大多数病灶体积较大,密度欠均匀,可见出血、囊变及坏死等情况;该病恶性程度高,易包绕心脏大血管;增强扫描病灶实性成分均呈不均匀逐渐强化;肿瘤生长速度非常快,易对周围组织侵犯及转移,当其侵犯胸膜或心包时亦可引起胸腔积液及心包积液甚至出现胸痛症状。此外,该病以血清甲胎蛋白(alpha fetoprotein,AFP)浓度升高为特点。
该病还需注意与其他纵隔肿瘤进行鉴别诊断:
➢淋巴瘤:影像学表现为边缘较光整、少见分叶的软组织肿块,周围脂肪间隙尚清晰,常常跨间隙、跨中线生长,周围常见淋巴结影,其内少见钙化,弥漫大B细胞淋巴瘤
易发生囊变、坏死,增强CT呈轻至中等强化,血管显示清晰,可见血管“漂浮”征,AFP一般不升高。
➢侵袭性胸腺瘤
:病变内部密度多数不均匀,常可见斑点状钙化、囊变以及坏死,周围脂肪间隙可部分狭窄或消失,同时可伴有同侧胸膜种植转移及心包、大血管侵犯或转移,增强扫描呈不均匀强化,有时患者可伴有重症肌无力
,AFP一般无明显升高。
➢精原细胞瘤:纵隔精原细胞瘤罕见,好发于年轻男性,好发部位与卵黄囊瘤大致相似;但精原细胞瘤呈典型的“大病灶小坏死”肿块内仅见小片状坏死区。同时精原细胞瘤患者实验室检查中血清β-HCG常有增高,而血清AFP水平基本正常。
结语
纵隔卵黄囊瘤恶性程度高,确诊依赖于影像学表现、AFP升高和组织病理学诊断。治疗多采用化疗联合手术治疗,部分患者术后能获得长期生存。常用化疗方案有:博来霉素
+依托泊苷
+顺铂
、异环磷酰胺
+依托泊苷+顺铂。
参考文献:
[1] A rare case of persistent cough caused by an unusual mediastinal tumour.eurorad.CASE 18342.2023.10.13.
[2] 高雪涵,陈野野,张家齐等.18例原发性纵隔卵黄囊瘤的临床诊治及预后特点[J].中国胸心血管外科临床杂志,2023,30(09):1280-1289.
[3] 陈凯,关玉宝,刘付裕玲等.原发性纵隔卵黄囊瘤的CT表现[J].CT理论与应用研究,2020,29(01):89-94.
[4] 刘霄巍.原发纵隔卵黄囊肿瘤的CT诊断分析[J].罕少疾病杂志,2022,29(04):32-34.
[5] 陈宁,朱振龙.原发性纵隔巨大卵黄囊瘤伴肺转移一例[J].结核与肺部疾病杂志,2023,4(01):85-87.