
病例分享|出现黑色胸腔积液,可能的病因有哪些?
医脉通编译整理,未经授权请勿转载。
病例资料
患者为55岁男性,因刷牙后恶心呕吐伴背部疼痛于急诊科就诊。患者当天未饮酒,意识清醒,腋下温度37.5℃,血压136/77 mmHg,脉率
79次/分,吸空气时脉氧饱和度93%。双肺均可闻及呼吸音,体格检查未见腹部压痛。
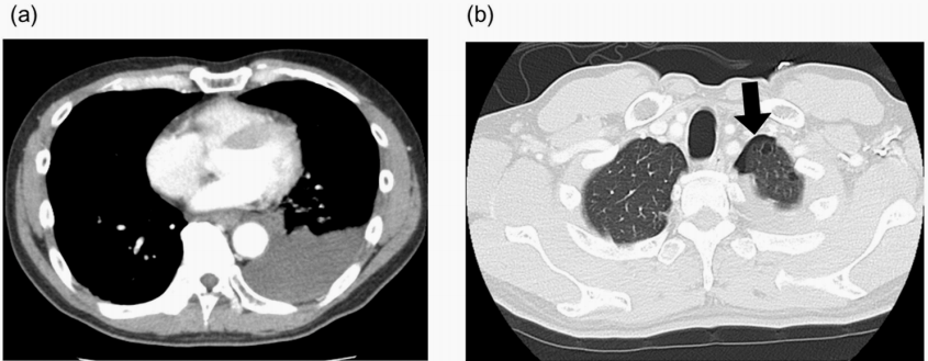
在患者症状发作约1小时后获取的胸部CT图像显示中度胸腔积液
(图1a)和轻度气胸
(图1b)。根据症状,怀疑心肌梗死、急性胰腺炎
、消化性溃疡
穿孔、主动脉瘤
/夹层和食管穿孔。但增强CT仅检测到气胸的轻微进展,无纵隔或皮下气肿。心电图
结果呈非特异性。血液检查
显示白细胞计数升高(14400个/μL)。C反应蛋白、淀粉酶
和脂肪酶水平在正常范围内。鉴于患者因背痛无法休息,因此未行胸腔穿刺。由于出现低热、胸腔积液和背痛,患者因疑似细菌性胸膜炎入院并开始接受抗生素治疗。

图1 初诊时胸部CT显示左侧中度胸腔积液(a)和轻度气胸(b)。
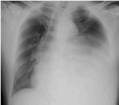
次日行胸腔穿刺术
,发现黑色胸腔积液(图2)。积液呈渗出性,淀粉酶水平升高(表1)。胸腔积液细胞学检查呈阴性。胸片显示左侧气胸和胸腔积液进展,纵膈向右移位(图3)。怀疑为张力性气胸,进行胸腔引流术,引流液中含有食物残渣和黑色胸腔积液,提示食管破裂。进行了鼻胃管插管,并抽取黑色胃液,与胸腔引流液相对应。胃镜检查
显示食物残渣和食管下段穿孔,诊断为Boerhaave综合征(Boerhaave syndrome,BS)即自发性食管破裂
。食管中未发现糜烂或恶性肿瘤。
表1 胸腔积液生化结果


图2 胸腔穿刺发现黑色胸腔积液

图3 次日胸片显示左侧气胸进展,纵隔向右侧移位
当天对患者行紧急手术,在左侧胸腔内观察到带有食物残渣的黑色胸腔积液,食管下段左壁穿孔。食管穿孔采用网膜植入和胸腔灌洗术修复。术后第二天开始肠内营养支持,术后第14天开始经口摄入。抗生素治疗持续到第19天。患者于第29天出院,未出现术后并发症。
病例讨论
BS的特征是食管内压力突然升高导致食管壁全层破裂。尽早诊断BS至关重要,BS临床症状多不典型,因此误诊率高,食管破裂早期症状一般表现为突发胸背部疼痛,且伴有发热
、胸闷、憋喘及呼吸困难
等症状。少数患者报告了典型的Mackler三联征,包括呕吐、下胸痛
和皮下气肿。食管穿孔的典型CT表现包括胸腔积液、气胸、心包气肿、纵隔气肿。食管穿孔后释放的胸腔积液通常呈酸性,含有未消化的食物颗粒。
在此例中,患者突然出现恶心、呕吐,随后出现胸背部疼痛,胸部CT显示左侧气胸和胸腔积液。BS被高度怀疑为鉴别诊断,胸腔穿刺术显示黑色胸腔积液,含食物残渣并伴淀粉酶升高,是诊断的重要线索。
胸腔积液的病因因人而异,常见的诱因有恶性肿瘤、心力衰竭、肺炎、肺结核
、心包疾病、腹部手术和肝硬化。通过痰液、胸水生化、脱落细胞、胸膜活检等方法可以诊断胸腔积液的性质。
本例黑色胸腔积液于临床罕见,需提高认识。根据病因及发生频次将黑色胸腔积液分为以下几类:➢恶性黑色素瘤,见于黑色素瘤胸膜原发或转移;
➢胰源性黑色胸腔积液,见于胰腺假性囊肿或胰腺胸膜瘘;
➢其他肿瘤,见于前列腺癌
、肺腺癌、胃癌
以及肝内胆管癌
等病人;
➢真菌感染,见于曲霉、米根霉等胸腔感染病人;
➢其他原因,见于外伤、吸食可卡因、食管破裂活性炭破入胸腔、纵隔畸胎瘤内容物破裂进入胸腔等。
参考文献:
1. Tanaka T, Ikeuchi R, et al. Boerhaave syndrome presenting black pleural effusion: A case report. Respir Med Case Rep. 2022 Nov 12;40:101781.
2. 胡波,李辉.12例自发性食管破裂诊治体会[J].世界最新医学信息文摘,2019,19(71):223+225.
3. 刘峰辉,刘艳君,罗振宇,等.黑色胸腔积液1例报告并文献复习[J].青岛大学学报(医学版),2022,58(05):777-780.
4. 陈兆杨,杨光煜. 黑色胸腔积液[J]. 国际呼吸杂志,2018,38(22):1743-1746.