
病例分享|44 岁男性胸痛6个多月,“元凶”竟是.....
医脉通编译整理,未经授权请勿转载。
病例资料
患者为44岁男性,因深吸气时加剧的下胸椎周围胸痛
,持续6个月入院。患者否认有咳嗽
、呼吸困难
、发烧或体重减轻的症状。患者无吸烟史,其他病史无特殊。
体格检查
入院时生命体征为室内空气下动脉血氧饱和度98%,呼吸频率22次/分,血压130/80mmHg,心率86次/分,体温36.8℃。体格检查无明显异常。
辅助检查
实验室检测(总血细胞计数、肝酶水平、肌酐水平、电解质、C反应蛋白)结果正常。胸片(图1)未见肺实质异常。腹部超声和超声心动图
检查均正常。

图1 胸片未见异常
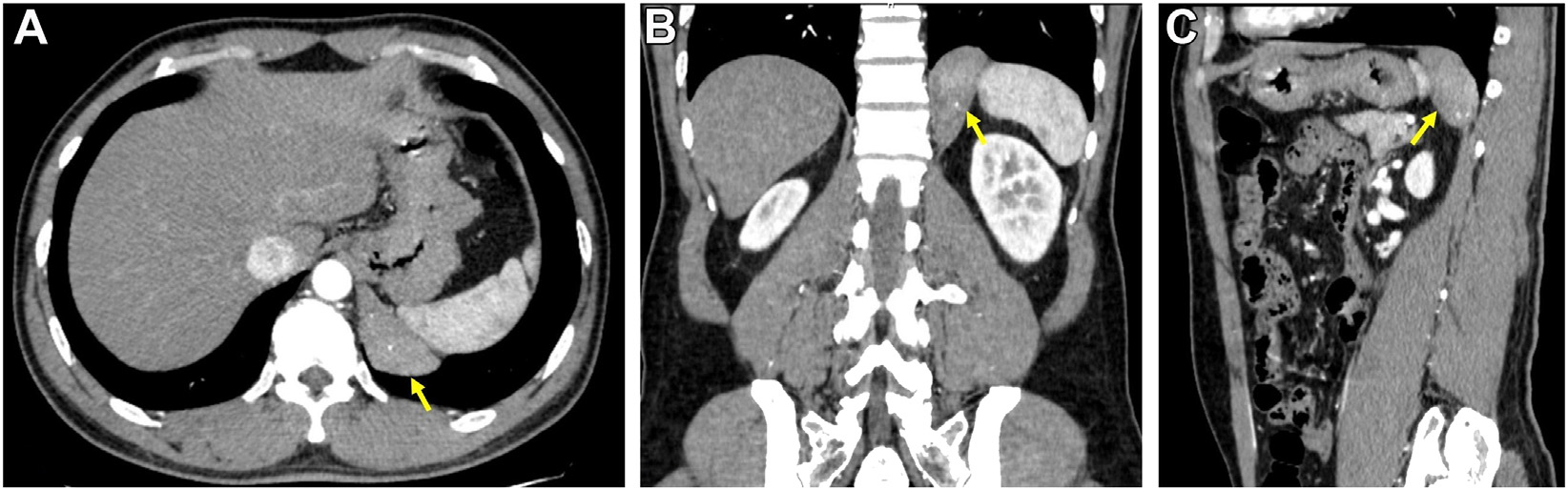
胸腹对比增强CT扫描显示左侧膈脚有一个6×5cm的椭圆形肿块(图2)。边缘清晰,轻度增强。肿块内可见多处结节状钙化。

图2 轴位(A)、冠状位(B)和矢状位(C) CT扫描图像
病人接受了全胸腔镜切除手术以切除肿瘤。从胸腔镜看,肿瘤位于横膈纤维肌层下方,向胸腔内突出;肿块大小为6×5×4cm(图3)。
肿瘤具有炎症性质,与周围组织粘连,容易出血
。肿瘤内含有黄褐色粘液;可见分离的前后层。肿瘤被完整切除,并通过内窥镜穿刺器从胸腔中取出。通过连续缝合线恢复横膈膜;放置胸膜引流管
以监测和排出炎性液体。

图3 胸腔镜检查
显示肿瘤位于横膈纤维肌层下方,突入胸腔(A);肿瘤与邻近结构粘连,容易出血,并含有黄褐色粘液(B);横断面显示实性和囊性区域(C)。
术后,患者病情稳定。显微镜下,肿块包含由纤毛假复层柱状上皮衬里的多房囊肿,囊壁由纤维血管结缔组织和软骨组织形成(图4)。在上皮下区域可见脱落的囊肿上皮和慢性炎症浸润。患者最终诊断为膈内支气管囊肿(Intradiaphragmatic bronchogenic cyst,IBC)。

图4 苏木精-伊红(HE)染色。HE染色显示(A)由纤毛假复层柱状上皮覆盖的多房囊肿(原始放大倍数×100);(B,C)囊壁由纤维血管结缔组织形成,含软骨组织岛(原始放大倍数×100);(D)薄层平滑肌(原始放大倍数×100);(E,F)脱落的囊肿上皮和慢性炎症浸润的上皮下区域;囊腔内含有细胞碎片和巨噬细胞(原始放大倍数×200)。
病例讨论
胸痛的原因可以由胸廓疾病引起,也可来源于胸腔内脏器病变。除此之外,胸廓外的组织器官的病变如腹部病变,甚至精神心理性疾病如焦虑症等也可引起胸痛(表1)。如本例的支气管囊肿为胸痛的少见原因,也不能忽略。
表1 胸痛的分类与常见病因

支气管源性囊肿(Bronchogenic cyst,BC)是起源于原始前肠的胚胎性疾病,由于支气管芽的发育异常,在支气管胚芽发育过程中部分脱落,游走于其他部位器官组织而形成的含囊液性的盲端。BC最常见类型为纵隔型及肺内型,但若与气管支气管树失去连接,它们可能会迁移到异常的位置,形成异位支气管囊肿,如心脏、胃和腹膜后。发生在横膈内的支气管源性囊肿为IBC。IBC罕见,据Mubang等人的文献报道,1955年至2015年间报告了21例IBC,患者平均年龄42.7岁,多数出现在左侧。
大多数BC患者临床表现可出现背痛和咳嗽,这是由于囊肿对邻近结构的压迫或刺激引起。较少见的症状包括胸痛、腹痛、体重减轻、疲劳、打嗝、腰部疼痛、呼吸困难或发热
,也可能无症状。这些病变大多数是在体检或其他疾病检查中偶然发现。
CT及MRI检查能准确显示病灶的部位、形态、边界、密度/信号等特征,增强扫描能为其鉴别诊断提供更多有价值的信息。在CT扫描中,IBC表现为边界清晰的圆形或椭圆形软组织或囊性肿块,有时可有钙化;部分IBC表现为软组织均匀低强化肿块;平均CT值为38.3±13.5HU。磁共振T2WI图像呈明显高信号,T1WI上信号强度可变,因囊肿内容物和蛋白质、黏液物质或出血导致。病理上,由于支气管源性囊肿起源于支气管芽发育异常,因此其壁内层结构应与支气管源性一致,为被覆假复层柱状上皮、软骨、粘液腺、平滑肌和大量弹力纤维、结缔组织等。
BC的治疗方面,考虑潜在恶性肿瘤风险和感染性并发症风险,建议手术切除。对于无症状的患者,可以进行手术以防止症状的发展并排除恶变;但文献报道中也有部分无症状BC病例采用了保守治疗,这部分患者必须进行长期密切随访。
参考文献:
1. Thang ND, Cuong NN, Tra My TT, Hoan L. A 44-Year-Old Man With Chronic Lower Chest Pain. Chest. 2023 Feb;163(2):e69-e72.
2. 周仑,张存泰.老年胸痛的诊断与预后[J].中华临床医师杂志(电子版),2018,12(10):552-558.
3. 秦转丽,吴梦楠,吴文秀,等.支气管源性囊肿常见CT影像征象分析[J].中国医学物理学杂志,2023,40(07):857-861.
4. 张传德,印隆林,孙菊.支气管源性囊肿的CT及MRI表现[J].医学影像学杂志,2022,32(03):433-436.