常规垂体磁共振成像表现阴性的ACTH腺瘤1例

来源:中国耳鼻咽喉颅底外科杂志 2024.06.19
我要投稿

作者:游未,李青玲,毛弈韬,廖伟华,中南大学湘雅医院

 

内源性库欣综合征是一种内源性糖皮质激素分泌过多,而致使下丘脑-垂体-肾上腺轴负反馈调节失常的一种神经内分泌综合征,其病因大多依赖于垂体促肾上腺皮质激素(adrenocorticotropic hormone,ACTH)的过度分泌,即库欣病。

 

库欣病每年的发病率为(1.2~2)/100万人,女性发病率为男性的3倍。患者临床症状常表现为心性肥胖、满月脸、水牛背等,因其所致的心血管疾病,常有较高的死亡率。ACTH腺瘤作为一种神经内分泌肿瘤,是库欣病最常见的病因,其以横径10mm为界限,分为大腺瘤和微腺瘤,其中微腺瘤占比大于90%。对于直径小于6mm的ACTH微腺瘤,临床上常规垂体磁共振成像有时无法提供确切诊断。本文将对1例术前常规垂体磁共振成像阴性,而高分辨成像可见阳性征象的ACTH腺瘤进行报道,并复习相关文献,从而加深临床医生对常规磁共振成像阴性的ACTH腺瘤的认识。

 

1.临床资料

 

患者,女,53岁,发现面部变圆、肥胖10年,于2021年10月18日于我院就诊。患者自述发现10年前无明显诱因出现面部逐渐变圆,伴腹部肥胖,四肢较前变细小,外院查皮质醇、ACTH升高。高血压10年余,规律口服降压药,最高收缩压150~160mHg。患者自起病来饮食、睡眠可,体重增加20kg,大小便无异常。家人均无相关病史,现已绝经1年,否认疾病相关病史。体格检查:血压161/102mmHg,身高155cm,体重55kg,体质指数22.8kg/cm2。发育正常,营养中等,意识清晰,自动体位,慢性病容,检查合作。上唇可见胡须,面部毛细血管扩张,全身皮肤菲薄,向心性肥胖。

 

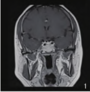
实验室检查:患者术前ACTH明显高于正常值,并处于波动升高状态,最高>440.40pmol/L。另外其催乳素35.96ng/mL,明显高于参考值范围(4.79~23.3ng/mL)。患者行常规磁共振检查显示垂体上缘平坦,垂体柄居中,未见明显异常信号灶及强化灶(图1)。

 1.png

图1患者术前常规磁共振检查垂体未见明显异常

 

后患者行磁共振颅内动脉高分辨血管壁成像平扫+增强显示垂体右前份见一大小约为2mm×2mm×2mm的结节,呈等T1短T2信号灶,增强后可见强化减低,强化程度明显低于垂体实质。垂体上缘平坦,垂体柄居中,视交叉显示清晰(图2)。

 2a.png

2b.png

图2患者术前磁共振冠状位及水平位血管高分辨成像显示,垂体右前T2WI低信号微小结节(A、B);增强后强化减低,强化程度低于垂体实质(C、D)

 

外院甲状腺超声示甲状腺右侧叶稍高回声结节:TI-RADS3类。甲状腺左侧叶多发囊肿:TI-RADS2类。外院肾上腺CT平扫+增强示左肾上腺体部及内肢稍增粗。其余检查未见明显异常。入院诊断:垂体腺瘤。患者于全麻下经神经内镜行颅底肿瘤切除术,切除垂体占位性病变,术后病理显示(鞍区)垂体微腺瘤,符合ACTH腺瘤。

 

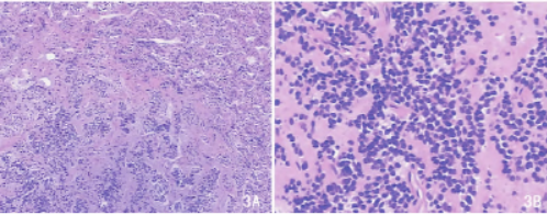
免疫组化结果:ACTH(±)、Syn(+)、CgA(弱+)、Ki67(约2%+)、T-PIT(+)、CAM5.2(+)、双氨银染色(+),见图3。最后诊断:①垂体瘤(鞍区)ACTH腺瘤;②库欣综合征;③高血压病;④高脂血症。患者术后恢复良好,术后测得ACTH2.27pmol/L、催乳素5.61ng/mL,均降至正常值范围。术后6个月随访,患者神志清晰,全身水肿消退,体重下降5kg余,血压降至正常,最高收缩压120mmHg,术后规律复查未见明显复发征象。

 3.png

图3病理检查结果符合垂体ACTH腺瘤3A:HE×100;3B:HE×400注:ACTH(促肾上腺皮质激素)。

 

2.讨论

 

ACTH腺瘤是库欣病的常见病因,ACTH的过度分泌将促使肾上腺过度增生,从而使皮质醇激素分泌增加而致使物质代谢紊乱。研究表明,ACTH腺瘤通常表现为直径小于10mm的垂体微腺瘤,仅4%~10%的库欣病患者表现为垂体大腺瘤。在常规的垂体磁共振成像上,分泌ACTH的垂体微腺瘤常难以获取明显的阳性表征,这就对后续是否手术等治疗方案的选择造成一定困扰。

 

本病例有典型的库欣综合征的临床表现,但在常规的垂体磁共振成像上未见明显阳性征象。后续我们对其行血管高分辨成像,结果显示垂体右前份可见一强化减低的微小结节灶,直径约为2mm,T2加权成像呈低信号,边界清晰,形态规整类似血管断面。另外本院8确诊患者中有7例行常规垂体磁共振成像存在阳性发现,其中有1例表现为垂体大腺瘤,6例表现为直径小于10mm的微小结节,T2WI呈低信号,边界清晰,增强后强化程度减低,其中有1例患者微腺瘤的形态学表现酷似血管断面,T2WI信号与邻近颈内动脉类似呈明显低信号,因此术前首次诊断并未表明此阳性发现。

 

研究表明,术前对分泌ACTH的垂体微腺瘤精准定位,有助于提高术后缓解率和减少不良事件的发生。本文主要是采用高分辨磁共振成像的方法诊断直径小于6mm的垂体微腺瘤。高分辨磁共振成像因其分辨率高、有效抑制血流的特点被广泛用于诊断血管壁病变,其中“分辨率高”这一特征使得高分辨成像可广泛用于其他微小病变的诊断。此前有文献表明高分辨磁共振成像有助于提高垂体微腺瘤的诊断效率,在三维可变翻转角快速自旋回波序列的基础上,高分辨成像可以获取层厚1~1.2mm的微腺瘤。

 

另有研究表明,相较于1.5T磁共振、3.0T磁共振和7.0T磁共振高分辨显像更利于展示垂体的解剖细节,有助于提高微腺瘤的诊断效能,现临床上更多采用3.0T磁共振。虽然高分辨成像对于微腺瘤的诊断已经具备一定的效能,但仍有研究表明即便采用高分辨成像并结合其他精准诊断序列,有部分微腺瘤在影像学上仍不可见。

 

除高分辨成像外,现仍有一些针对库欣病的术前诊断方式,如激素测试,因其敏感性和特异性的不同,使诊断无法达到100%的准确性。因此大量学者对术前ACTH腺瘤的精准诊断展开研究,例如三维可变翻转角快速自旋回波序列因其扫描层厚薄、空间分辨率高、具有多种对比等特点,被视为检测库欣病相关的ACTH腺瘤较为敏感的序列。

 

对于三维梯度回波序列成像阴性的微腺瘤,有学者将FLAIR引入增强后的三维梯度回波,证实三维梯度回波表现阴性的微腺瘤,在FLAIR上均可显示清晰的强化灶。对于激素测试已证实ACTH依赖的库欣综合征而常规磁共振显像阴性的患者,部分医生会采取岩下窦采样的方法证实垂体病变小于6mm的腺瘤。对于常规垂体磁共振成像阳性的ACTH腺瘤患者,临床上常采用经蝶窦选择性肿瘤切除术,对于常规磁共振成像未见明显阳性发现的库欣病患者,临床上对于是否手术存在争议。

 

随着对库欣病治疗方式研究的持续进展,隐匿性的库欣病患者的药物治疗方式也越来越多样,包括类固醇生成抑制剂、肿瘤靶向治疗药物、糖皮质激素受体拮抗剂及抑制ACTH分泌的药物等。

 

综上所述,库欣病作为一种较为罕见的神经内分泌疾病,其大多数与分泌ACTH的垂体腺瘤相关,仅0.1%~0.2%源于垂体腺癌。为了更好地缓解库欣病患者的临床症状和提高患者预后,ACTH依赖的垂体腺瘤的早期诊断便显得格外重要。

 

回顾本病例,对比术前常规垂体磁共振成像与血管高分辨成像,二者存在显像差异的原因可能是扫描层厚的不同,前者扫描层厚为3mm,后者为0.6mm。因此对于直径小于3mm的ACTH微腺瘤,血管高分辨成像在阳性显像方面更具优势。在今后的临床诊断中,对于常规垂体磁共振显像阴性的库欣病患者,高分辨血管成像对ACTH微腺瘤的诊断具有一定的意义。

 

来源:游未,李青玲,毛弈韬等.常规垂体磁共振成像表现阴性的ACTH腺瘤1例[J].中国耳鼻咽喉颅底外科杂志,2023,29(03):33-36.