
今日病例 | 精神科不容忽视的排除诊断-抗NMDA受体脑炎:突发精神行为异常不一定是精神疾病
【病例摘要】
患者女,29岁,因疲乏、发热
、语无伦次、心境不稳、针对负性体验及感觉的思维反刍、食欲下降、饮水少、睡眠不规律2周收入急性期精神科病房。此时尚无典型的精神病性症状。
患者11个月前产下二胎,曾被全科医生诊断为产后抑郁。本次起病时,患者正在哺乳,并持续服用舍曲林
50mg/d。
1. 精神科就诊
首次精神检查中,患者存在言语应答延迟,情感受限,烦躁,思维混乱,妄想思维,自知力差。临时诊断为精神病性抑郁,予奥氮平
5mg qd+10mg qn。
入院第2天,患者病情恶化,自感整个人不知所措,如同“坐在世界各地的过山车上”;存在接触性离题,对外界不明显的刺激产生反应,导致持续性的祈祷。短期记忆受损。
入院第3天和第4天,患者病情继续恶化,开始出现幻视及命令性幻听,攻击并咬伤医生,伴言语贫乏及精神运动性迟滞。诊断修改为产后出现的精神病性障碍,肌注第一代抗精神病药珠氯噻醇
100mg,以对抗急性精神病性症状及高度紊乱的行为。
患者肌酸激酶(CK)回报888μ/L(正常30-180),血压90/52mmHg,心率60bpm,体温34.7℃;拒饮拒食。鉴于患者的血容量状况持续恶化,入院第5天转入内科治疗。
2. 内科诊疗
入院第5天内科观察到患者存在持续性呼吸困难
、CK升高及意识水平波动,给出了恶性综合征(NMS)的临时诊断。停用奥氮平。第6天,患者出现波动性的紧张症及反射亢进体征,治疗团队考虑诊断可能是5-羟色胺
综合征(SS)而并非NMS。停用舍曲林,但症状仅有轻微改善。
第8天和第9天,患者仍表现激越,并存在间断性发热、面部麻木及警觉性的波动。此外,患者还出现了一次癫痫
发作。临时诊断为非感染性脑炎,磁共振(MRI)未发现任何脑炎证据及腰椎穿刺禁忌证。
第10天,患者仍存在紧张症表现,如缄默、违拗及显著的精神运动性迟滞,有咬舌及持续凝视空中的表现,对声音及触摸无反应。未发生强直-阵挛发作。给予劳拉西泮
1mg tid,以改善紧张症。
第11天,患者出现高热、心动过速、肌强直,但未观察到阵挛;再次出现癫痫发作,与前次类似,即刻给予劳拉西泮2mg后改善。心电图
未发现任何癫痫或脑病的电生理学证据。腰穿回报葡萄糖
3.6 mmol/L,蛋白质3.6 mmol/L,单纯疱疹病毒(HSV)
-PCR阴性,管紧张素转换酶(ACE)<2.5 mmol/L。
第12天,考虑到患者神经系统症状复杂,且实验室及辅助检查未见显著异常,患者被转入神经科病房。
3. 神经科
综合考虑患者12天内的病情,包括停药后仍然存在的精神状态波动,发热,神经系统症状,以及MRI、脑电图
、腰穿的阴性结果,神经科团队考虑脑炎可能性最大,继发于病毒、边缘叶、副肿瘤或自身免疫方面的病因。鉴于腰穿提示HSV-PCR阴性,ACE<2.5 mmol/L,病毒及副肿瘤病因可能性不大。

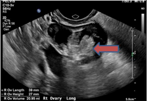
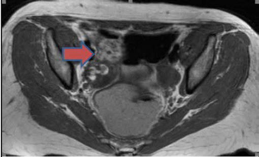
患者血清抗NMDA受体抗体回报阳性。且患者的盆腔超声及MRI提示右侧卵巢肿块,与囊性畸胎瘤表现一致。这些发现确认了抗NMDA受体脑炎的诊断。

图1 盆腔超声发现右侧卵巢肿物,符合囊性畸胎瘤表现

图2 盆腔MRI发现右侧卵巢肿物,符合囊性畸胎瘤表现
第15天,诊断抗NMDA受体脑炎,开始接受静脉免疫球蛋白(IVIG)治疗,疗程10天。患者症状即刻出现显著改观,时间、地点、人物定向力改善,可与他人恰当交流。
【讨论】
该例患者为年轻女性,首发症状类似产后出现的抑郁及精神病性障碍,随后诊疗中怀疑为恶性综合征及5-羟色胺综合征的可能,辗转多个科室后最终确诊为抗N-甲基-D-天冬氨酸(NMDA)受体脑炎。该个案报告于2022年1月发表在J Psychiatr Pract.上.
一、本个案强调了抗NMDA受体脑炎临床相的复杂性
症状:首发表现为前驱期症状,如发热、疲乏、注意力受损、睡眠紊乱及言语延迟;随后出现精神症状,包括激越、思维紊乱、妄想、幻听、幻视等;疾病的继续进展,以及锥体外系症状的出现。
诊断:考虑从产后抑郁到精神病性障碍,再到NMS和SS,最后确诊为抗NMDA受体脑炎。加上肤科、检验科及影像科,共有六个科室直接参与了患者的诊疗。
治疗:患者对IVIG、血浆置换
、畸胎瘤切除、利妥昔单抗
治疗反应良好,符合既往文献的记录。
二、抗NMDA受体脑炎所致精神行为症状的临床特点2
2007年,Dalmau等首次描述了抗NMDA受体脑炎——12名患者存在各种各样的神经及精神症状,脑脊液抗NMDA受体抗体阳性。此后,抗NMDA受体脑炎个案报告的数量超过了500例,并成为仅次于急性脱髓鞘性脑炎的第二常见的自身免疫性脑炎
类型。
抗NMDA受体脑炎常见于45岁以下个体,女性发病率接近男性的4倍。约58%的抗NMDA受体脑炎患者同时或既往罹患肿瘤,通常为卵巢畸胎瘤。抗NMDA受体脑炎的高危因素包括既往罹患自身免疫性疾病及副肿瘤综合征,而临床表现差异很大,与其他精神疾病存在重叠,如继发于精神分裂症
、物质使用、短暂妄想性障碍的精神病性发作。此外,抗NMDA受体脑炎的死亡率较高,部分个案报告中的死亡率达25%。因此,准确识别及及早治疗对于改善患者转归至关重要。
三、哪些临床特征可提示精神科医生早期筛查和识别抗NMDA受体脑炎?
1. 病程特点:抗NMDA受体脑炎精神行为症状多急性或亚急性起病。前驱期症状不典型,所以,临床工作中遇到急性或亚急性起病,有幻觉妄想综合征、紧张症、“流感样”前兆症、神经功能障碍、严重的自主神经功能紊乱等症状的患者,需要筛查抗NMDA受体脑炎。
2. 发病年龄和人群:抗NMDA受体脑炎可见于任何年龄阶段,但主要以青年人群为主,中位年龄在23岁。所以,对于儿童或者青年女性突发的精神行为异常,需要考虑抗NMDA受体脑炎的可能性。
3. 对精神科药物的反应:抗NMDA受体脑炎所致的精神行为症状即使使用了精神科药物,患者的精神行为症状仍会随着脑损伤的进展而逐渐加重,并逐渐出现睡眠紊乱、植物神经功能紊乱、癫痫发作等异常反应。所以,如果在临床上发现,药物疗效欠佳或药物治疗过程中病情突然恶化的急性精神异常患者,需要及时筛查抗NMDA受体脑炎。
四、2022版中国自身免疫性脑炎(AE)诊治专家共识治疗推荐3
AE治疗包括免疫治疗、对癫痫发作和精神症状的症状治疗、支持治疗、康复治疗。合并肿瘤者进行切除肿瘤等抗肿瘤治疗。其中对癫痫症状的控制、精神症状的控制治疗推荐如下:
▲ AE的癫痫发作一般对于抗癫痫药物反应较差。可选用广谱抗癫痫药物,例如苯二氮䓬类、丙戊酸钠
、左乙拉西坦
、拉莫三嗪
和托吡酯
;
▲ 精神症状的控制可以选用药物包括奥氮平、氯硝西泮
、丙戊酸钠、氟哌啶醇
和喹硫平
等药物。
【结语】
该病临床表现以精神行为异常、癫痫发作、认知功能障碍、自主神经功能紊乱等为主。而其中以精神行为异常为首发症状的患者高75%,多选择精神科为首诊科室。然而,该病突出的精神行为症状常常导致临床医生思维局限、先入为主,误诊率极高。
对于抗NMDA受体脑炎精神科医生应提高警惕,实现该病的早期检出及有效管理,以降低患者死亡、收入ICU、复发、出现并发症及海马不可逆损害的风险。
参考文献:
1. Kanniah G, Kumar R, Subramaniam G. Anti-NMDA Receptor Encephalitis: A Challenge in Psychiatric Settings. J Psychiatr Pract. 2022 Jan 6;28(1):78-83. (病例)
2. Zhenyang Li,Research Progress on Mental Behavior Symptoms of Anti-NMDA Receptor Encephalitis.
3. 中国自身免疫性脑炎诊治专家共识. 中华神经科杂志.2022.55(9):931-949.
4M编号:MAT-CN-2315954 V0.2. 审批日期:2023年6月