
36岁男性左侧颈部疼痛,这个凶险疾病别忽略!
医脉通编译整理,未经授权请勿转载。
病例资料
患者为36岁男性,无明显病史,因左侧颈部和面部疼痛持续7天就诊。该患者还报告近1周的自觉发热
、寒战、张口困难和厌食。过去20年里患者每天喝两到三瓶59.15ml的啤酒。无其他既往特殊病史。
体格检查
就诊时生命体征:体温为36.1℃,血压为88/55mmHg,心率为77次/分,呼吸频率为22次/分,室内空气中氧饱和度为97%。其左颊、下颌有非凹陷性水肿
和红斑,并有触痛。其余无明显异常。
辅助检查
实验室检查显示白细胞计数10.0×103 / mL,血红蛋白
水平11.6 g/dL,血小板计数12,000/μL,钠水平129 mEq,碳酸氢根水平19 mEq,血尿素氮
水平60 mg / dL,肌酐水平3.12mg/dL,降钙素
原水平156.39 ng/mL,乳酸水平3.42 mmol/L,纤维蛋白原水平772mg/dL。
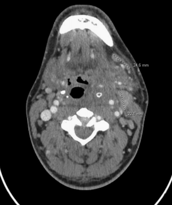
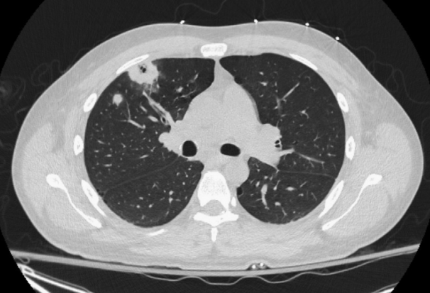
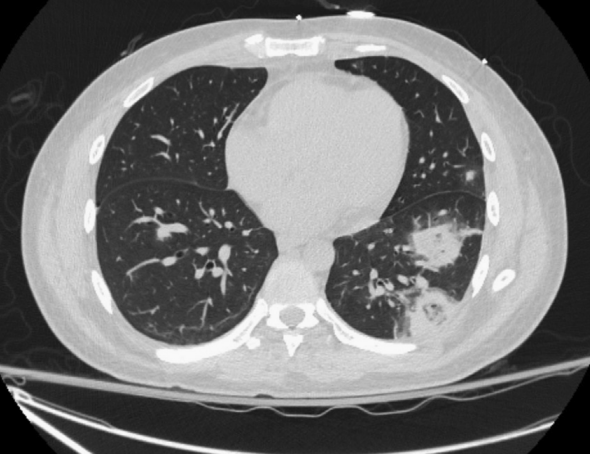
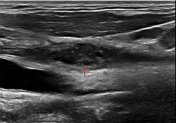
颈部增强CT扫描显示多发龋齿和左侧腭扁桃体肿大,并伴有周围炎性改变(图1)。胸部CT扫描显示双侧多发实性肺结节
和肿块,其中有空洞形成(图2,3)。颈部左侧超声显示如下(图4)。血培养
发现坏死梭杆菌。

图1 颈部CT扫描显示炎性改变延伸至左侧咽旁、咀嚼肌和颈动脉间隙,水肿和脂肪沿左颈部肌筋膜平面延伸,颈阔肌和带状肌不对称增厚。

图2 胸部CT扫描显示右上叶有空洞性病变

图3 胸部CT显示左下叶有两个大的空洞性病变,沿血管分布处于不同的演变阶段

图4 左侧颈部超声显示左侧颈内静脉有不可压缩的凝块(箭头)
诊断是什么?
Lemierre 综合征
病例讨论
Lemierre 综合征(Lemierre syndrome,LS)又称为厌氧性咽后脓毒症
,是一种罕见且可能危及生命的机会性感染综合征,由法国微生物学家Lemierre于1963年首次总结并命名。LS致病菌以厌氧菌为主,以坏死梭杆菌最为常见,约占86%,其他致病菌包括隐秘杆菌、链球菌、葡萄球菌等。
Lemierre综合征患者通常为青少年或青年人,多数患者早期阶段可能出现扁桃体炎、扁桃体周围脓肿等口咽部感染的表现,如发热和咽部疼痛等,也可出现多种非特异性症状,如全身僵硬、寒战、颈部淋巴结肿大、颈部肿胀和疼痛、眼眶疼痛、骨/关节疼痛、四肢无力以及恶心、呕吐等胃肠道症状。感染受累血管可经血行播散至其他器官,最常见的是肺部,引起肺脓肿
的脓毒性肺栓塞,胸腔积液
、脓胸、气胸
。也可累及包括脾脏、关节、心脏、中枢神经系统。
基于以下发现可作出明确的LS诊断,包括口咽部的原发感染;脓毒败血症;颈内静脉感染性栓塞;远处脏器转移性化脓灶;或血培养发现坏死梭杆菌或其他致病菌。但血培养需要时间较长,可能会出现阴性结果,因此即使血培养阴性的患者,如果有口咽感染、颈内静脉脓毒性血栓以及肺部转移性脓肿也要考虑LS的可能。
影像学检查方面,超声检查是易于获取的床边工具,但其缺点是对新形成的血栓不太敏感,回声较弱,若血栓位于锁骨和下颌骨周围较深的组织区域,诊断也存在困难。磁共振成像
可以显示解剖结构以及血栓和/或化脓性栓塞。LS早期胸部CT可无异常表现,随着病情进展,双肺可出现多发空洞、结节状高密度渗出影。胸部CT还可以发现纵隔炎、纵隔脓肿和胸腔积液等病变,对肝、肾和脑等脏器组织的转移性脓肿CT也有重要诊断价值。
关于LS的治疗,主要为抗细菌药物的使用,局部脓肿引流及抗凝治疗。LS首选抗菌药物要覆盖坏死梭杆菌等革兰阴性杆菌,所有坏死梭杆菌菌株对甲硝唑
、替卡西林/克拉维酸
、头孢西丁
和亚胺培南等抗菌药物比较敏感,而对庆大霉素
、喹诺酮类和大环内酯类抗菌药物敏感性差,应避免使用。体外数据和临床证据表明碳青霉烯类、β内酰胺/β内酰胺酶抑制剂联合甲硝唑是治疗LS有效药物。如果在静脉注射的前2~3周内患者反应良好,可以过渡到口服甲硝唑治疗4周。长期应用抗菌药物是LS治疗的关键,治疗周期最长可达14周,平均为42d。如果血培养提示葡萄球菌感染可给予万古霉素
治疗。外科手术可用于重症LS患者,并可防止进一步产生脓毒性栓子。
LS的抗凝治疗存在争议,有研究认为抗凝治疗可能增加LS患者抗菌药物治疗的效果。但是LS合并静脉窦血栓形成的患者,倾向于应用肝素
或低分子肝素进行抗凝治疗,或者如果抗菌药物治疗大约2~3 d后效果不佳通常考虑使用抗凝剂,抗凝治疗约6~12周。
结语
LS是以感染性颈内静脉血栓形成为基础的全身性化脓感染性疾病,临床中较为罕见且无明显特征性临床症状,培养结果早期不易获取,早期诊断较为困难,若早期得不到有效救治,病死率较高,提高对本病的认识尤为重要。
参考文献:
[1] Sah A, Sofia D, Vohra C, Chopra A. A 36-Year-Old Male With Left-Sided Neck Pain and Progressive Dyspnea. Chest. 2024 Jun;165(6):e169-e172.
[2] 邢芫珍,王长远,王晶.Lemierre综合征的诊治进展[J].中国医药,2022,17(09):1435-1437.
[3] 刘宇思,黄凌峰,黄勤淼,等.1例Lemierre’s综合征患者的药物治疗分析与监护[J].中国药房,2024,35(08):997-1000.
[4] 武小杰,谢俊刚.Lemierre综合征1例并文献复习[J].内科急危重症杂志,2021,27(05):428-430.