
病例分享|肺结节的罕见原因:注意病史,别忽视这个重要信息……
医脉通编译整理,未经授权请勿转载。
导读
Caplan综合征,你了解多少?
病例资料
患者为65岁的男性,有严重血清阳性类风湿性关节炎(Rheumatoid arthritis,RA)病史,累计吸烟40包年。该患者曾是一名建筑工人,反复接触石棉和二氧化硅。患者无呼吸道症状,肺部临床评估正常。
影像学检查
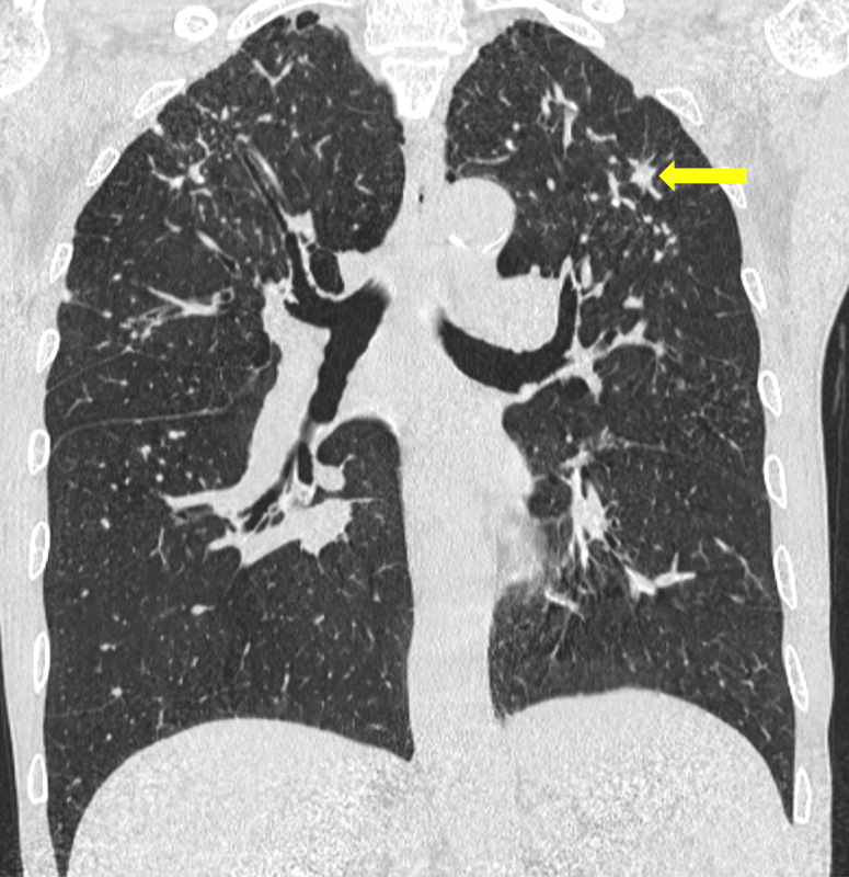
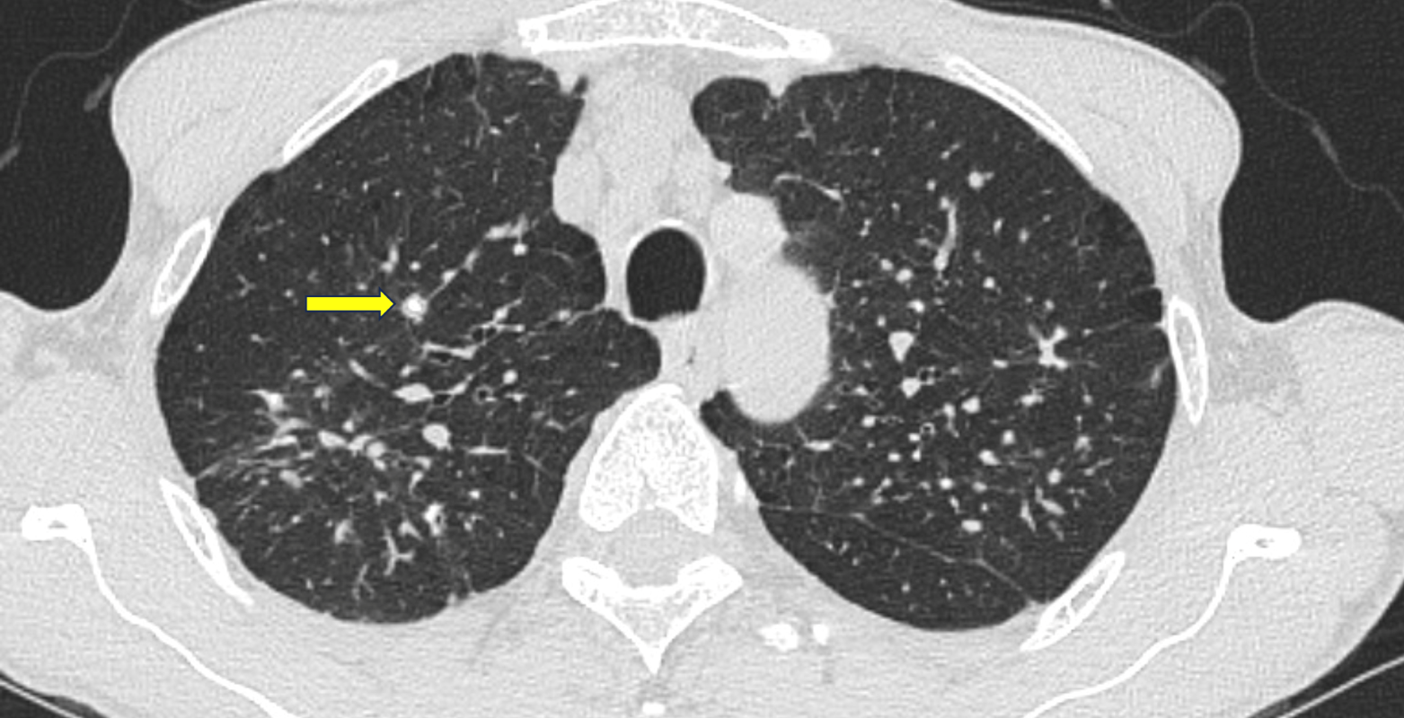
肺部高分辨率计算机断层扫描(HRCT)显示多个边界清晰的肺结节
,肺尖和周围易受累,肺底相对正常(图1和2)。结节的直径从约几毫米到一厘米不等,并显示散在钙化(图3)。在上叶这些结节显示出融合趋势;没有空洞形成。也有轻度肺气肿
以及弥漫性支气管壁增厚。患者最终诊断为Caplan综合征。

图1 冠状CT多平面重建显示许多边界清晰的肺结节,好发于肺尖和周围,大小从几毫米到1厘米不等

图2 冠状CT显示上叶肺结节,有融合趋势(箭头)。

图3 轴位CT显示肺结节伴有散在病灶内钙化(箭头)
病例讨论
1953年CAPLAN在南威尔士煤矿中首先发现了类风湿关节炎(rheumatoidarthritis,RA)与胸片上多发边界清楚的肺结节(直径0.5~5 cm)之间存在关联,后人称为“Caplan综合征”。其也称为类风湿尘肺,表现为血清反应阳性的类风湿性关节炎和吸入无机粉尘颗粒(主要是煤和二氧化硅)暴露史的患者出现肺结节。
Caplan综合征通常表现为咳嗽
和呼吸短促,以及伴有类风湿关节炎症状,如炎症性关节疼痛和晨僵。但其症状通常是非特异性的或有时没有症状,如本例。通常突然发病,随后疾病从完全消退到进一步进展不等。体格检查典型表现为掌指关节压痛、肿胀和类风湿结节。
诊断注意结合患者的临床表现以及职业,有粉尘接触史,特征性X线改变,表现以多发性结节状阴影为主,其病灶可单发或多发,为圆形或椭圆形致密影,边缘较清楚,大小不等,直径为0.5~1.5cm,偶见3~5cm者,常在肺的中外带。结节常多个聚集,也可能融合成更大的结节,有时会形成空洞或钙化。鉴别诊断:类风湿尘肺与硅沉着病所致进行性大块纤维化的鉴别,后者无活动性炎症层及类风湿性动脉内膜炎。与硅沉着病结核的鉴别,前者有活动性炎症层和成纤维细胞栅状层,但在活动性炎症层中查不出结核菌。注意结合临床病史、症状和组织学检查准确诊断。
Caplan综合征的治疗主要从尘肺和RA两方面进行,采取对症和支持治疗控制病情发展,其治疗以RA治疗为主,可应用激素、免疫抑制剂等。
参考文献:
1. Vincent Sneyers, Brecht Van Berkel , et al.Caplan syndrome.eurorad.Case 18574.2024.06.03.
2. 俞建钰,陈祥芳,陈明诚,等.类风湿尘肺2例报告[J].风湿病与关节炎,2020,9(01):31-33.
3. 张蕾,毕文静,刘海英.一例Caplan综合征患者的治疗及护理对策[J].实用临床护理学电子杂志,2018,3(22):197-198.