
44岁女性出现发热、咳嗽,这例大叶性肺炎的病因不简单!|病例分享
医脉通编译整理,未经授权请勿转载。
导语
人偏肺病毒感染是人体感染人偏肺病毒(human metapneumovirus, hMPV)后引起的一种急性呼吸道传染病。hMPV 感染大多表现为轻度自限性疾病,部分患者因出现毛细支气管炎
、肺炎、慢性阻塞性肺疾病
(COPD)急性加重和支气管哮喘急性发作
等并发症需要住院治疗。在hMPV肺炎中,其胸部CT常见表现为支气管壁增厚和支气管周围磨玻璃影,但hMPV合并大叶性肺炎罕见报道。近期,Int J Infect Dis.报告一例hMPV引起的大叶性肺炎的病例。
病例资料
患者为44岁女性,在就诊前5天出现发热
和咳嗽
,于诊所医生开了口服阿奇霉素,未改善,在就诊前4天因恶心和腹泻
停药。
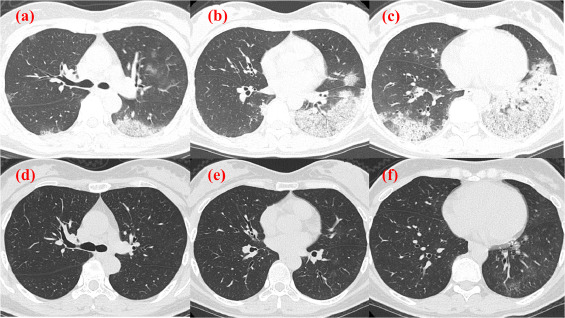
患者因严重的食欲不振和恶心入院。来我院就诊时患者体温38.5℃;血压,121/60 mmHg;呼吸频率,20次/分;室内空气下氧饱和度(SpO2)为95%;胸部听诊可闻及粗湿啰音 。HRCT显示右肺上叶弥漫性磨玻璃影(ground-glass opacity,GGO),左舌叶和双侧肺下叶实变,伴有左舌叶和双侧下叶实变伴支气管充气征(图1a-c)。

图1 a–f入院时(a–c)和出院后18天(d–f)的计算机断层扫描。
a, c.左肺下叶大叶性肺炎伴支气管周围GGOs,右下叶和左舌叶实变。
b.大叶性肺炎伴左肺下叶支气管充气征。
d, e.GGO和实变均消失。
f.左肺下叶大叶性肺炎消失,但支气管周围ggo仍存在。
实验室检查
C反应蛋白16.76 mg/dL,降钙素
原0.06 ng/mL。血液检查
:白细胞计数,2000/μL;天冬氨酸氨基转移酶,34 U/L;丙氨酸
氨基转移酶,14 U/L;碱性磷酸酶,59 U/L;乳酸脱氢酶,444 U/L;血尿素氮
,6 mg/dL;肌酐,0.54 mg/dL;钠,135 mmol/L;钾,3.4 mmol/L;肌酸激酶,97 U/L。
入院时,初步怀疑为肺炎支原体
引起的肺炎,并开始静脉注射拉舒沙星(lascufloxacin,LSFX)。但支原体颗粒凝集(PA)试验结果为阴性,军团菌尿抗原检测和军团菌环介导等温扩增(LAMP)试验结果均为阴性。在患者住院第2日,通过多重聚合酶链反应(PCR)从鼻咽拭子中检测出人偏肺病毒(Human metapneumovirus,hMPV)。此外,多重PCR检测腺病毒、冠状病毒、鼻病毒、流感病毒、副流感病毒、呼吸道合胞病毒、支原体、衣原体、鲍特菌均为阴性。肺炎链球菌
尿抗原检测也呈阴性。痰培养
仅检出口腔菌群,血培养
和肺炎支原体的PA检测结果为阴性。患者HIV抗体阴性,无补体缺乏或免疫球蛋白低下,且无家族免疫缺陷史。
而患者的4岁女儿在7天前出现发热,并被诊断为hMPV感染。本例诊断患者为hMPV引起的肺炎,并停用LSFX。停用抗生素后,腹泻和咳嗽等症状逐渐改善,入院时明显的轻度血小板减少症也逐渐改善,因此患者在住院第6天出院回家。出院后症状持续改善。出院后第18天的HRCT显示少量残余的中央混浊,但有消退趋势(图1d–f)。
病例讨论
本报告描述了一例由hMPV引起的大叶性肺炎。此前罕有hMPV引起的大叶性肺炎的病例报道。关于hMPV肺炎的影像学表现,Lawrence等人报道了在68-77%的hMPV肺炎病例中,出现支气管壁增厚(bronchial wall thickening,BWT)、树芽征、支气管周围实变和GGO。Karimata等人也报道了hMPV引起的下呼吸道感染中常见的影像学表现为BWT和小叶结节,而实变仅见于13%的病例,并未发现大叶性肺炎的病例。由于纤毛上皮细胞是hMPV感染的靶细胞,hMPV感染可合理地被认为导致细支气管炎,从而引起BWT、支气管周围实变和GGO。同样的报告发现,hMPV感染导致纤毛脱落,细胞间水肿
,中性粒细胞浸润上皮和黏膜下层,上皮结构破坏,肺泡内充满巨噬细胞。hMPV感染后的细菌性肺炎可能会因细支气管和肺泡的结构性破坏而复杂化,如流感感染后所见。在该病例中,怀疑并发细菌性肺炎,但痰培养仅显示口腔菌群。多重PCR未检出其他呼吸道病毒。停用抗菌药物后病情自发好转,诊断为hMPV感染引起的大叶性肺炎,无细菌合并感染。
部分研究报告认为肺部疾病和免疫抑制状态是hMPV感染需要住院治疗的危险因素。在本病例中,未发现有免疫抑制或肺部疾病的病史。一项回顾性研究发现,大多数严重hMPV感染患者经历了免疫缺陷或慢性呼吸衰竭
,但没有免疫缺陷史的年轻患者也可能发展出现病情危重和急性呼吸窘迫综合征
。
在该病例中,根据入院时的影像学检查结果进行鉴别诊断时,考虑了肺炎支原体、鹦鹉热衣原体和军团菌引起的肺炎。军团菌尿抗原检测和LAMP检测结果均为阴性,且患者无养殖禽类或其他鸟类暴露史。此外,虽然LSFX静脉给药仅1日,但患者在未接受抗菌治疗的情况下就取得了临床改善,因此认为军团菌肺炎和鹦鹉热的可能性不大。肺炎支原体肺炎在影像学上通常无支气管充气征,表现为BWT,无外周优势。在本病例中,支气管黏膜很少出现增厚,肺炎支原体PA检测结果为阴性。多重PCR检测可以在早期发现肺炎患者体内的致病微生物,可以促进诊断,有助于考虑停止不必要的抗菌治疗或增加针对致病微生物的治疗。
结语
总之,本例提示hMPV常引起支气管肺炎,但也能引起大叶性肺炎。使用多重PCR鉴定致病微生物有助于确定治疗方向。
参考文献:
1. Kawataki M, Ito A, Koyama T, Ishida T. Lobar pneumonia due to human metapneumovirus: a case report. Int J Infect Dis. 2024 Jul 3:107162.
2. 国家卫生健康委员会,国家中医药管理局. 人偏肺病毒感染诊疗方案(2023年版)[J]. 传染病信息,2023,36(4):289-290.