
胆囊原发性肝样腺癌影像学特征分析及文献复习
作者:舒适,黄燕涛,冷媛媛,缪卓利,仲建全,四川省自贡市第一人民医院放射科
肝样腺癌(hepatoid adenocarcinoma,HAC)是发生于肝脏以外组织器官的特殊类型腺癌,可发生于胃肠道、胆囊、肺、子宫等部位,发生于胆囊者罕见,临床上仅数例报道。现就我院诊治的一例胆囊肝样腺癌并结合相关文献,报道如下。
1. 病例资料
患者,男,70岁。无明显诱因出现上腹痛4个小时,并放射至腰背部,无反跳痛及肌紧张,既往无特殊病史。实验室检查中甲胎蛋白:1.88U/m L,癌抗胚原:39.2U/m L,CA125:4330U/m L,CA199:148ng/m L,CA50:90.1ng/m L。
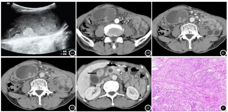
腹部超声示:胆囊增大,壁欠光滑,壁见多个稍强回声,呈“菜花状”,与胆囊壁呈宽基底相连,较大者约2.4cm×1.4cm,其周围弱回声包绕,CDFI:稍强回声及弱回声内未见确切血流信号,考虑实性占位,胆囊Ca待排(图1A)。
腹部CT
扫描示:胆囊形态不规整,体积明显增大,腔内密度不均匀增高,壁不规则增厚,以胆囊体及胆囊底为主,并可见结节影向腔内突出,较大者最大径约1.8cm,增强扫描动脉期呈不均匀强化,CT值约65HU,胆囊腔内及周围见迂曲增粗血管影,门静脉期CT值约75HU,延迟期呈均匀强化,CT值约79HU;胆囊周围见多个肿大淋巴结,较大者约3.2×2.4cm,并不均匀强化;邻近肝内见环形异常强化结节影,最大径约1.5cm;病灶与十二指肠、结肠肝曲分界不清;考虑为胆囊癌
伴淋巴结、肝脏转移(图1B-1E)。
全麻下行“肝部分切除术、胆囊切除术”,术中见:胆囊明显增大,约15cm×8cm×3cm,被大网膜包裹,与十二指肠及横结肠粘连,壁不均匀增厚,其内充满脓液,见菜花样新生物;右肝边缘见一灰白色结节,质硬,边界不清,直径约1.5cm大小。术后病理:光镜下见肝样分化区和腺癌分化区(图1F);免疫组织化学:P-CK(+),CK7(+),CEA(+),CK19(+),Villin(+),Heppar-1(+),Glypican3(+,灶),CK5/6(+,部分),p63(+,部分),Ki67(+,约70%),特殊染色PAS(+)显示细胞内、外粘液;病理诊断:胆囊肝样腺癌。

图1 A-图1F胆囊肝样腺癌;图1 A超声图像示胆囊腔内“菜花状”稍强回声;图1B CT增强扫描动脉期示胆囊壁不均匀增厚并呈结节状向腔内突出(箭头所示),呈不均匀强化;图1C CT增强扫描静脉期示病灶持续强化;图1D CT增强扫描延迟期示增厚胆囊壁及结节呈均匀强化;图1E CT增强扫描示胆囊前份肿大淋巴结(羽箭所示);图1F病理图片示肿瘤内见肝样分化区和腺癌分化区
2. 讨论
胆囊肝样腺癌是发生于肝脏以外组织器官的特殊类型腺癌,好发于胃肠道、肺、子宫等部位,发生于胆囊者较罕见,多见于中老年人群,男女发病率无明显差异。经“万方”、“知网”等数据库检索仅数篇文献报道,其发病机制尚不明确。
胆囊肝样腺癌其肝样分化区多位于组织深部,组织学特点与肝细胞癌
相似,腺癌分化区多位于组织表面,核分裂象多见,其间可见移行区。免疫组化中Heppar-1阳性表达最具诊断价值,CK7、CK19、AFP阳性表达也有助于该病的诊断。
黄爱娜等、张娟等、司友娇等所收集的并加上本病例共15例原发于胆囊的肝样腺癌患者,男:女=1:1,最大者74岁,最小者44岁,平均(59.5±6.5)岁。8例患者以腹痛为主要表现;6例合并胆囊结石
;4例患者因体检发现。所有患者肿瘤标记物均有不同程度升高,其中11例AFP升高,6例CA199升高,2例CA125升高;肿瘤大小均在5cm以下,较小者仅1.5cm×1.0cm×1.0cm。CT/MRI增强扫描:3例中度延迟强化;4 例不均匀强化;1例动脉期明显强化;1例轻度强化;转移:肝脏、淋巴结同时转移3例,淋巴结转移4例,肝脏转移1例,术后1-2年肝等转移2例。
总结本组病例,胆囊肝样腺癌在临床及影像学上以下特点可能提高对本病诊断的准确性,具体包括:(1)好发于中老年人群;(2)以腹痛为主要临床表现,常伴有胆囊结石,多无肝硬化
背景;(3)肿瘤标记物中AFP、CA199多不同程度升高;(4)好发于胆囊体及底部,多呈结节及肿块,中度不均匀强化为主,延迟强化为其特点;(5)易发生淋巴结、肝脏转移。
由于病例较少,术前准确诊断较为困难;临床上需与以下疾病相鉴别:(1)胆囊癌:多见于老年女性,结节型胆囊癌与本病难以鉴别,需要依靠病理检查
来确诊,但前者多发生在底或颈部,并且易直接侵犯邻近肝脏,AFP一般不升高;(2)胆囊腺瘤:好发于胆囊体部,常单发,表面光滑,密度稍高,增强扫描多呈均匀强化;(3)胆囊息肉
,好发于胆囊底部,呈带蒂小结节灶,绝大多数小于1cm,CT值高于胆汁,增强扫描多呈渐进性均匀强化。
综上所述,胆囊肝样腺癌是一种非常罕见且恶性程度高的肿瘤,它易发生肝脏和淋巴结转移,大部分患者可伴有AFP水平升高,确诊仍需依靠病理检查;在影像学诊断胆囊癌时,建议临床常规检测血清AFP水平;根治手术及彻底的周围淋巴结清扫是治疗胆囊肝样腺癌的手术方式,术后同时也应监测AFP水平及影像学随访。
来源:舒适,黄燕涛,冷媛媛等.胆囊原发性肝样腺癌影像学特征分析及文献复习[J].中国CT和MRI杂志,2024,22(03):182-183.