
来势汹汹的下消化道大出血,这一病因实属罕见
医脉通编辑整理,未经授权请勿转载。
病例资料
患者女,21岁,因出现伴随下腹痛的消化道大出血,并意识丧失,而入院急诊科就诊。
患者无非甾体类抗炎药或抗凝剂使用史,实验室检查结果提示缺铁性贫血
(Hb:106g / L)。
凝血功能检查结果未提示异常,体格检查发现患者为贫血面容。
在做实验室检查期间,患者又发生了2次出血,血液为黑色,因此医生进行了紧急结肠镜检查
。
检查过程中可见整个结直肠肠和回肠末端均充满血液,根据颜色可判断,来自盲肠的血最新鲜。医生对肠道进行了灌洗,发现血液来源于阑尾上的一个小孔(图A)。

这例下消化道出血
最可能的原因是什么?
A.溃疡性结肠炎
B.结直肠癌
C.肠结核
D.阑尾异常血管
答案揭晓
正确答案是D,具体为阑尾Dieulafoy病。
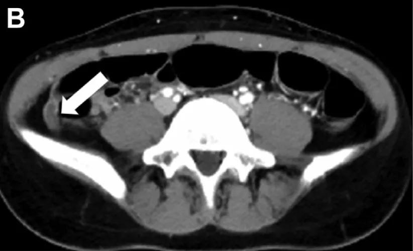
医生推测血液来自阑尾。腹部增强CT扫描(图B)显示阑尾呈高密度改变,其他部位无阳性发现。
医生进行了紧急腹腔镜
手术,并在术中切除了阑尾(图C)。

在阑尾切除术中,医生发现阑尾腔内存在大量血块。
并见一血管样结构突出于阑尾粘膜,宽度大约3mm左右(头和尾的宽度大约一致,无变窄或变宽)(图D)。

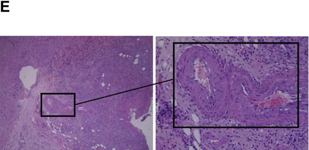
取活组织送检后,医生在显微镜下可见粘膜表面溃疡处存在口径一致,无分支的动脉(图E)。

术后3天,患者诉肉眼下便血消失,并成功出院。患者在2周后的随访中表示出血症状完全消失。
总结与讨论
Dieulafoy病又称恒径动脉畸形,发病部位遍及全消化道,病灶分布多见于胃贲门下方6.0cm 范围的胃壁(包括胃体上部和胃底),以小弯侧为多。
消化道其他部位病变多为个案报告,甚至有发生于消化道以外的报告(均位于气管内)。
肉眼观,Dieulafoy病病灶直径一般在2~5mm,呈局限性黏膜缺损或糜烂改变,或呈孤立性圆锥状息肉样。缺损中央可见直径1~3 mm搏动性动脉突出于黏膜外,其表面可有凝血块或血栓附着。病灶周围界限清楚,无炎性改变,亦无其他可致出血的任何病变。
Dieulafoy病可见于各年龄组,但更常见于患高血压的老年人。
主要表现为反复的消化道大出血,出血量常很大,不易控制,往往可以致命,病死率可高达23%。
具体表现及注意事项有以下几个方面:
(1)起病突然:无明显先兆症状,烟酒、高血压和应激状态可能为其诱因,既往无肝硬化
、消化性溃疡
和家族遗传病史;
(2)表现为突发性致命的消化道大出血:就诊时已有休克者占54.0%,以呕血为主诉者只占33.0%,抢救不及时往往导致死亡,是病死率高的原因;
(3)间歇性和难治性:恒径动脉破裂出血后形成血痂,暂时止血,但随输液、输血
处理后血压升高或激惹,血痂脱落,再度引发大出血,而呈反复发作性特点;
另因病变小而隐匿,多次内镜检查
尚难于发现, 定位诊断较难而呈难治性;
(4)Dieulafoy病需与出血性胃炎、Mallay-weiss撕裂综合征、消化性溃疡出血鉴别:多数上消化道出血经内镜检查可明确诊断,对于难以明确诊断反复发作的大出血应想到此病的可能。
在急性下消化道出血病例中,由阑尾引起的出血较少见。阑尾出血的最常见原因为肠套叠、血管增生和憩室炎。
出现于阑尾的活动性Dieulafoy病对医生的诊断和治疗是一个挑战。迄今为止,在所有的英文文献中,只存在2例阑尾Dieulafoy病的报告。
这两名患者均为男性,且年龄超过50岁。本病例是第1例被诊断为该病的女性患者。
参考文献:
[1]Meng Xue, Wei-hong Weng, Liang-jing Wang. An Unusual Cause of Acute Massive Lower Gastrointestinal Bleeding. Gastroenterology. 2020;158:1550–1551. https://doi.org/10.1053/j.gastro.2019.08.057.
[2]孙威,王强.Dieulafoy 病诊治进展[J].中国实用外科杂志.2010,30(6) :494-497.