
73岁女性持续头痛、意识混乱和视野障碍,原因为何?| 病例探究
在神经科,头痛、意识混乱和视野障碍虽然是常见的症状,但其背后可能隐藏着多种复杂的病因。近期,Neurology子刊报道了一名73岁女性病例,揭示了这些症状背后的罪魁祸首。
病例简介
患者73岁,女性,因持续3周新发头痛、间歇性意识混乱和左侧视野物体识别困难就诊。丈夫描述她的症状包括短暂行为停滞、凝视远方、咂嘴和无目的地摸索,每次发作后会出现几分钟的定向障碍。但患者对此发作毫无意识。其头痛表现为全头痛、搏动性且持续存在。患者常撞到左侧的物体,如家具和门框,导致多次摔倒。
患者既往有高血压和甲状腺功能减退症病史,但病情控制良好,无头痛、偏头痛
、癫痫
或其他神经系统疾病史。但家族史提示,患者母亲和兄弟患有晚发性阿尔茨海默病
(AD)。在系统询问中,丈夫表示,他注意到她在过去一年中短期记忆力有所下降,但以为正常衰老。患者能够独立完成所有日常活动。
初次检查时,患者生命体征正常,但思维明显迟缓,回答问题需近30秒的反应时间。左侧同向性偏盲明显,左侧上下肢反射活跃,提示锥体束受累,但四肢肌力正常。未发现其他局灶性神经功能缺损。。
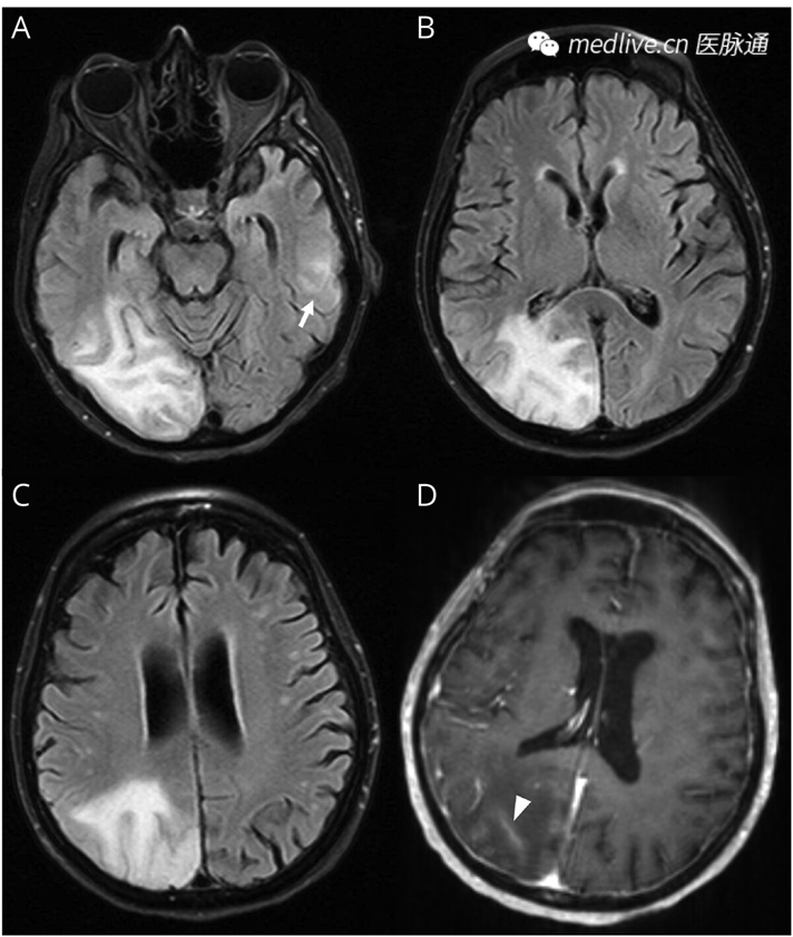
辅助检查
脑部MRI:右侧颞枕区有较大的T2高信号,并伴有软脑膜强化。弥散加权成像(DWI)和磁敏感加权成像(SWI)未见急性梗死或颅内出血(图1)。

图1 脑部MRI
轴位FLAIR MRI显示,右侧颞枕区皮质下白质内存在一个融合性T2高信号病灶,并延伸至皮质-皮质下交界处(A–C)。左侧颞叶内可见一个较小的T2高信号区域(A,箭头)。轴位T1加权增强MRI显示,病灶周围存在血管源性水肿
及软脑膜强化(D,箭头)。DWI和SWI未检测到异常。
实验室检查:血常规
和代谢指标正常。血清炎症标志物(包括抗核抗体、类风湿因子
、抗中性粒细胞胞浆抗体、血沉和C反应蛋白)正常。人类免疫缺陷病毒
(HIV)检测阴性。脑脊液检查显示白细胞正常,蛋白轻度升高(71mg/dL),葡萄糖
正常。脑脊液中病毒(水痘
-带状疱疹
病毒、单纯疱疹病毒、人疱疹病毒6型和结核杆菌)以及其他相关脑脊液检测均为阴性。
诊断与治疗
患者接受软脑膜活检,组织病理学显示脑膜动脉壁存在β淀粉样蛋白(Aβ)沉积伴跨壁血管破坏性炎症,符合ABRA的诊断(图2)。

图2 神经病理学
予以静脉注射甲泼尼龙
1000mg,每日一次,连续5天。同时开始使用左乙拉西坦
治疗局灶性非运动性发作性意识障碍
。出院后,患者被处方泼尼松
60mg,每日一次,逐渐减量至6个月,同时使用吗替麦考酚酯
1000mg,每日两次。
3个月后患者认知和反应迟钝显著改善,未再发作癫痫。左侧同向偏盲未改善。患者出现左侧视野的视觉释放性幻觉,表现为连续的彩色和光线流。复查脑部MRI显示T2加权成像右侧颞枕高信号病变改善,软脑膜强化消失。
讨论
脑淀粉样血管病
(CAA)是一种以不可溶性Aβ沉积于脑皮层和软脑膜小动脉及毛细血管中为特征的疾病,多累及后皮质区域。CAA的发病机制尚不完全明确,可能与年龄相关的脑血管周围引流障碍有关。CAA在老年人群中的患病率高达23%,在阿尔茨海默病患者中为47.5%,且随年龄增长而增加。
而炎症性CAA(iCAA)是一种由CAA引发的脑血管炎症反应,包括CAA相关炎症(CAA-RI)和ABRA两种病理亚型。iCAA的临床和影像学表现与ABRA有显著重叠,有研究表明:病理亚型对临床表现、影像学和预后无显著影响。
诊断方面,MRI是最敏感的诊断工具,98%的iCAA患者MRI异常。因为iCAA需要CAA的存在,所以CAA的MRI证据是最重要的神经影像学标准。近90%的iCAA患者影像学表现与CAA一致。83%的病例在T2加权MRI显示脑白质高信号,常累及皮层下区域,通常不对称,并可能伴有血管源性水肿和脑沟消失有关。63%-70%的病例出现软脑膜强化,有助于区分iCAA和非炎性CAA,似然比为9.5。近85%的患者至少存在一种脑脊液异常,即细胞增多或蛋白升高,并在影像学缓解后恢复正常。
软脑膜或MRI灰白色交界处的活检是诊断iCAA的金标准。但2011年提出并于2016年验证的诊断标准允许使用典型临床和放射学特征组合来诊断可能的iCAA,敏感性为82%,特异性为97%,可以避免侵入性活检(表1)。表1 iCAA诊断标准iCAA对免疫治疗反应良好。早期使用免疫抑制治疗可显著改善94%和86%患者的临床和影像学结果。常用的免疫抑制治疗包括皮质类固醇、环磷酰胺
、吗替麦考酚酯、甲氨蝶呤
和硫唑嘌呤
。临床医生可以在临床和影像学稳定2-3年后考虑停止免疫治疗。

结论
本文介绍了一例 ABRA 病例,ABRA是iCAA的一个亚型,其特征为Aβ在脑动脉中沉积引发跨壁血管破坏性炎症反应。这种临床综合征的特征是,60岁以上患有潜在CAA 的患者表现为急性或亚急性认知下降、头痛、局灶性神经功能障碍和/或癫痫发作。MRI是最重要的诊断工具,但如本病例,少数患者可能会在没有CAA的MRI证据情况下发生 iCAA。虽然软脑膜活检是诊断金标准,但结合典型临床和影像学特征可避免侵入性活检。iCAA对免疫抑制治疗反应良好,凸显了及时诊断和治疗的重要性。
参考文献:Rohm Z, Goldman MD, Riley C, et al.. A 73-Year-Old Woman With Confusion, Visual Field Disturbances, and Edematous White Matter Lesions. Neurol Neuroimmunol Neuroinflamm 2024;11:e200300.