
44岁女性因患者急性胸痛放射至左臂来诊,这种原因你想到了吗? | 病例“心”编
抗磷脂综合征(APS)是一种以血管血栓形成和妊娠并发生为特征的自身免疫性疾病,而APS相关性心肌炎
罕见且机制尚不明确。本文分析了一名因急性胸痛
、心脏生物标志物升高且严重贫血
就诊的44岁女性病例。患者心电图
检查示ST段改变,超声心动图
显示左心室功能保留,心脏磁共振成像
(CMR)显示心肌炎症,提示急性心肌炎。抗磷脂抗体
阳性确诊APS。患者接受了多学科联合管理及随访。因APS相关性心肌炎临床表现不典型且与其他心脏疾病表现存在重叠,其诊断存在挑战。下面,通过本病例跟随小编一起了解APS与心肌炎。
病例概述
➤现病史
患者,女性,44岁,因急性胸痛放射至左臂就诊。
患者就诊时,心率为107次/分,血压为119/79 mmHg,呼吸频率为18次/分,室内空气下血氧饱和度为100%,体温为36.7℃。需要注意的是,患者脑钠肽水平升高至7302 pg/mL,高敏肌钙蛋白
水平升高,峰值达到3310 ng/mL。此外,患者存在严重贫血,血红蛋白
水平为5.3 g/dL,且伴有凝血功能障碍,凝血酶原时间(PT)为17s,部分凝血活酶时间
(PTT)为71.1s,国际标准化比值(INR)为1.53。其他实验室检查结果:白细胞计数升高至13.62x10^3 /mL,血小板计数正常为207x10^3 /mL,钠正常为135 mmol/L,钾正常为4.1 mmol/L,肌酐升高至1.08 mg/dL。
➤既往史
患者有长期吸烟史,既往有子宫肌瘤
、流产2次、贫血病史,在妊娠期间曾发生深静脉血栓。
➤鉴别诊断
临床需要与急性冠脉综合征(ACS)、非缺血性心肌病、肺栓塞和胃食管反流病
等疾病相鉴别。
➤辅助检查
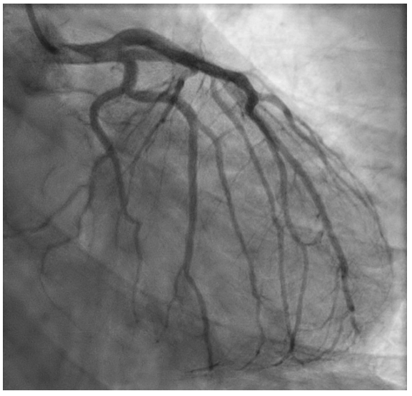
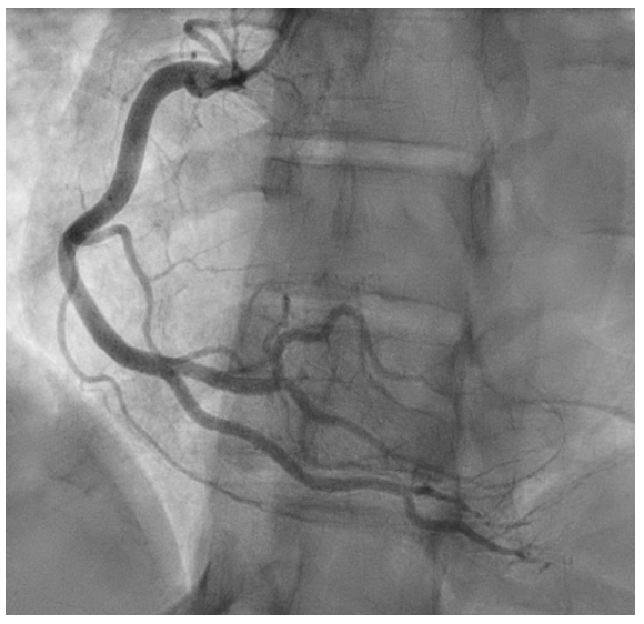
心电图显示:II、III、aVF、V4-V6、I和aVL导联ST段压低,aVR导联ST段抬高伴前间壁q波(图1)。经胸超声心动图显示射血分数保留为55%-60%,无室壁运动异常,中重度二尖瓣反流。左心导管检查显示冠状动脉管腔轻微不规则,而右心导管检查显示充盈压低,心输出量和心脏指数保持正常,右心房压力为0 mmHg,肺毛细血管楔压
为5 mmHg,肺动脉压力为22/7 mmHg,心输出量/心脏指数为4.98/2.83(图2和3)。

图1 心电图检查

图2 冠状动脉造影
右前斜足位(RAO CAU)识图显示左回旋支冠状动脉及左前降支冠状动脉存在轻微管腔不规则。

图3 冠状动脉造影显示右冠状动脉轻微管腔不规则。
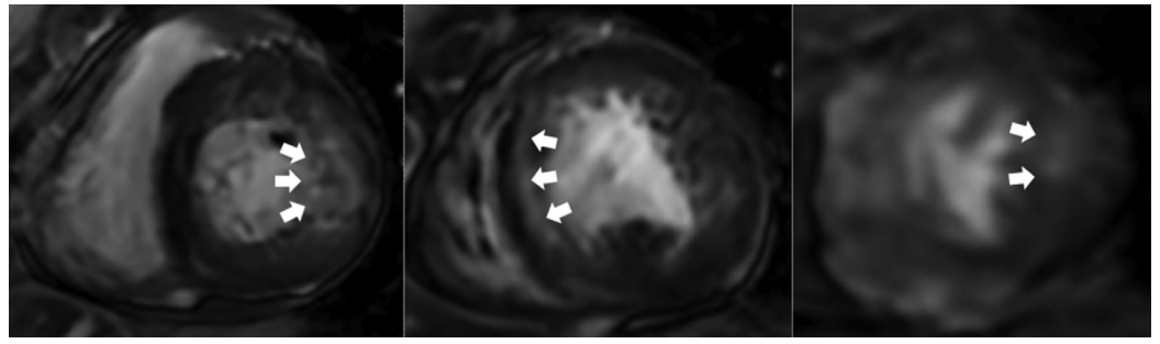
随后的CMR检查显示射血分数为70%-75%,左心室瘢痕大小为4%,并在基底外侧段、室间隔中段及心尖外侧段出现钆延迟强化,提示急性心肌炎(图4)。风湿免疫病和血液学检查发现狼疮抗凝物(LA)、抗心磷脂抗体(ACA)
和抗β2-糖蛋白抗体阳性,从而确诊为抗磷脂综合征(APS)。针对狼疮和其他风湿病的检测包括抗核抗体(ANA)阳性;但抗Sm抗体和抗dsDNA抗体均为阴性,因此排除了狼疮。抗着丝粒抗体
、抗核糖核蛋白抗体、抗Scl-70抗体、抗RNA聚合酶III抗体、抗Ro(SS-A)抗体、抗La(SS-B)抗体以及补体蛋白C
3和C4检测也呈阴性。

图4 CMR显示,在基底部侧壁中段(左图)、室间隔中段(中图)和心尖部侧壁(右图)存在钆延迟强化(白色箭头),提示急性心肌炎。
➤治疗
尽管患者在明确诊断前胸痛已缓解,但担心APS引发栓塞,仍启动抗凝治疗。然而,后由于共识认为患者右侧手指缺血可能是右桡动脉入路心导管检查的并发症,因此后续停止了抗凝治疗。患者未出现终末器官衰竭的迹象,并且临床和实验室检查指标均有所改善,因此未启动血浆置换
治疗。此外,患者左心室功能保持良好且无心功能失代偿征象,未启用类固醇治疗。患者存在未控制的阴道出血及轻度血小板减少症,也未启用阿司匹林
作为血栓一级预防。该患者计划接受腹腔镜
子宫切除术和右侧输卵管切除术以控制出血,术后将讨论是否启用阿司匹林治疗。
➤结局及随访
患者出院后计划接受心内科、风湿免疫科和血液科医生密切随访。由于阴道出血持续存在,患者继续使用甲羟孕酮
,未启用阿司匹林进行一级预防。患者尚未进行12周后复查抗磷脂抗体(aPL)。
讨论
抗磷脂抗体综合征(APS)是一种以抗磷脂抗体(aPL)为特征的自身免疫性疾病,易发生血栓事件和妊娠并发症。APS常见的心脏表现包括心脏瓣膜病变和冠状动脉疾病,但与心肌炎相关的文献报道较少。既往的病例报告记录了APS患者被误诊为心肌炎的实例,提示这两种疾病之间存在潜在联系。其机制尚不清楚,但根据尸检研究,aPL可能对小动脉直接产生血栓形成效应,导致心肌坏死和继发性炎症。CMR可用于确诊APS,其在识别心肌炎症和指导进一步治疗方面发挥着至关重要的作用。
根据2023年欧洲抗风湿病联盟(EULAR)指南,高风险aPL谱需满足以下条件:在间隔至少12周的两次独立检测中,存在狼疮抗凝物,或任意两种aPL持续呈现高滴度。鉴于本病例患者尚未进行第二次实验室检查,因此面只能将其归类为中高危aPL谱。这是由于患者的抗心磷脂抗体和抗β2-糖蛋白抗体滴度均高于第99百分位。现行指南建议,对于有产科APS病史的非妊娠女性,或者对于任何有高危aPL特征的无症状aPL携带者,无论是否存在其他危险因素,在充分权衡风险与获益后,均可考虑使用低剂量阿司匹林(每天75-100 mg)进行一级血栓预防。
结语
APS相关性心肌炎目前仍然知之甚少,且被认为是罕见的。对于出现新发心脏症状或心功能恶化的患者,尤其是在初步评估结果不明确的情况下,临床医师必须高度警惕APS的可能。在诊断过程中,早期使用CMR对于识别心肌炎和指导适当的治疗策略至关重要。及时识别和多学科协作管理对于优化这些复杂临床场景的预后具有重要意义。
目前,记录APS和心肌炎之间关联的病例报告仍然较少。本病例强调了在鉴别诊断心肌炎时考虑APS的重要性,并强调了多学科综合治疗在管理同时患有自身免疫性疾病和心血管疾病患者中的关键作用。这进一步说明了心脏影像学检查(如CMR)在诊断APS这种罕见但可能具有破坏性表现的疾病方面的重要性。未来,有必要开展进一步研究以阐明APS相关性心肌炎的潜在机制和最佳治疗策略。
信源:Alexander C. Sacher, Rafsan Ahmed, Andrew Kung, Jasneel Kahlam. Myocarditis:A Rare Cardiac Manifestation of Antiphospholipid Syndrome. JACC: Case Reports, 2025, 102667, ISSN 2666-0849, https://doi.org/10.1016/j.jaccas.2024.102667.