
病例诊断 | 间断性精神行为异常5个月,加重1周,伴一过性肢体抽搐1日,您的诊断是?
嘉宾介绍

张慧敏
教授
大连医科大学附属第一医院,心身睡眠科主任,主任医师,硕士生导师,心理治疗师。
学会任职 大连市医学会心身医学分会候任主任委员;中国医师协会神经内科分会神经心理及情感障碍学组委员;中国老年医学学会认知障碍分会常务委员;辽宁省医师协会精神医学分会委员;大连市医学会精神医学分会委员;辽宁省生命科学学会精神医学与睡眠障碍
专业委员会副主任委员;北方精神医学会继续教育委员会副主任委员;辽宁省细胞生物学学会老年性痴呆与认知障碍专业委员会常务委员;辽宁省临床心理重点专科骨干成员。
研究方向 (1)神经心理方向:抑郁障碍
,药物成瘾等基于影像的相关脑机制研究。(2)慢性疼痛。
主持课题 2014-2017年辽宁省教育厅科学研究一般项目,五行音乐心理疗法在阿尔茨海默病
中的应用探讨等。
1. 临床资料
一般信息 女,29岁,中专毕业。
主 诉 间断性精神行为异常5个月,加重1周,伴一过性肢体抽搐1日。
现病史 1) 患者于入院5个月前出现精神行为异常,表现为呆滞,诉说看到墙上有影子,无发热
。偶有大哭、乏力、走路困难、肢体无力,不能离开家人,不让家人进入厨房,害怕火,伴轻微烦躁、易怒,就诊于精神专科医院。医院要求收入隔离病房,家属拒绝入院,未接受治疗。
2) 居家1周左右精神状态基本恢复正常。数天后再发,表现为时刻需家人陪伴,害怕,警觉性高,肢体力量可,就诊于另一所精神专科医院,诊断为“抑郁症”。服用曲唑酮
、舍曲林
、喹硫平
等抗抑郁药物
,患者烦躁、易怒好转,哭泣、害怕等症状改善,生活可自理。但交流仍有困难,言语减少。十余天后症状再次加重,情绪激动时尿失禁,逐渐出现双手不自主抖动、嘴咀嚼动作。经中医治疗(具体不详)后手抖减轻,但有言语减少、记忆力减退、生活不能自理。
3) 2020年11月13日收治入院,入院前日在劳累后突发意识丧失、肢体抽搐1次,呼之不应,双眼上视,尿便失禁。
既往史 3年前流产。
个人史 有性生活史,2年前曾检查梅毒阳性,口服药物治疗,具体用药不详。
2. 精神检查
一般查体 皮肤、粘膜、心肺腹等未见明显异常。
神经系统检查
神志清楚,语言欠流利,计算力及近期记忆力下降,双侧瞳孔D=2.5 mm,光敏,未见阿罗瞳孔。四肢肌力、肌张力正常,深浅感觉未见异常。无不自主运动。两侧腱反射对称,双侧指鼻试验
及跟-膝-胫试验未见异常,病理征阴性。颈软,克氏征(-)。
精神科检查 意识清晰,反应迟钝,接触被动,视空间/执行功能严重受损(复制立方体及画钟试验不能完成),时间、地点、定向力下降,有幻视,未查及妄想,易激惹,命名、注意力、抽象能力严重受损,语言重度受损,病理性意志行为增强(如过分依赖母亲、不能离开母亲),活动减少,自知力无。
3. 辅助检查
血常规
示白细胞11.36×109/L(参考值3.5×109~9.5×109/L),中性粒细胞7.59×109/L(参考值1.8×109~ 6.3×109/L),嗜碱性粒细胞0.11×109/L(参考值0~0.06×109/L)。凝血功能、肝功能、肾功能、电解质、维生素B12正常。
梅毒血浆反应素试验(RPR)阳性,RPR滴度1:32。
脑脊液压力
135 mmH2O,外观无色透明,葡萄糖
3.00 mmol/L(参考值2.2~3.9 mmol/L),蛋白定量1.38 g/L(参考值0.12~0.60 g/L),氯123 mmol/L(参考值120~132 mmol/L),总细胞数32×106/L,脑脊液白细胞计数32×106/L(参考值0~15×106/L),淋巴细胞百分比95.9%(参考值94%~100%),中性粒细胞百分比4.1%(参考值0~6%),未查到隐球菌、G-双球菌,脑脊液白蛋白381 mg/dL(参考值0~350 mg/dL),脑脊液IgG 588 mg/L(参考值0~34 mg/L),脑脊液IgA 23.3 mg/L(参考值0~5 mg/L),脑脊液IgM 2.93 mg/L(参考值0~1.3 mg/L)。脑脊液I型单纯疱疹病毒IgG、II型单纯疱疹病毒IgG、弓形虫IgM、巨细胞病毒IgM、风疹病毒IgM均为正常值。脑脊液结核杆菌PCR、脑脊液非结核杆菌PCR为阴性。脑脊液RPR滴度1:4。
行简易智力状态评定量表(mini-mental state examination,MMSE)示13分,提示痴呆。
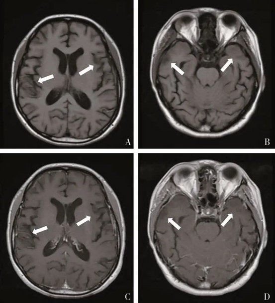
头部MRI示:双侧颞叶白质信号异常,脑萎缩;双侧额叶、侧脑室旁白质区域异常信号灶,考虑脱髓鞘灶;双侧颞叶对称性白质异常信号增强后强化程度低于正常脑白质(图1)。

图1:患者头部MRI A、B示双侧颞叶可见对称性白质异常信号,伴有脑萎缩征象;C、D示双侧颞叶对称性白质异常信号增强后强化程度低于正常脑白质。
进一步追问病史,患者2年前曾检查梅毒阳性,口服药物治疗,具体用药不详。
群投票:如果你是首诊医生,如何诊断?
A. 复发性抑郁障碍,目前为伴有精神病性症状的重度发作
B. 抑郁障碍引起的假性痴呆
C. 麻痹性痴呆
D. 痴呆
F. 双相情感障碍
欢迎各位老师投票选择诊断
也欢迎在群内分享您的诊断思路
最终结果将在本周社群推送公布~
参考文献:刘美辰,张慧敏. 精神行为异常合并癫痫发作的女性青年麻痹性痴呆1例[J]. 中国神经精神疾病杂志,2023,49(1):37-39.
4M编号:MAT-CN-2321233 V0.2. 预计审批日期:2023年7月